病因
病因不清。多發性毛囊瘤屬常染色體顯性遺傳,有家族史,而單發性毛囊瘤則無。
臨床表現
好發於頭面部。皮損部丘疹長有毛髮和排出皮脂樣物是毛囊瘤特徵。臨床症狀表現為顏面或頭部發生略高出皮面的丘疹,頂圓結節,中央凹陷,結節表現為正常膚色或淡紅色,直徑一般在4mm左右。有小束纖細未成熟的毛髮從結節中央小孔穿出,其中含有黑色或白色毛髮,可排出皮脂樣物,具有高度診斷價值。通常為單發。
檢查
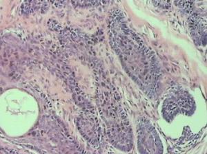
主要依靠組織病理檢查。組織學上,腫瘤位於真皮內,由邊界清楚的結締組織包囊。可見單個囊狀結構,其中充滿角質,有時可見毛乾。偶爾可見2到3個囊狀結構聚集在一起。囊壁為角化的復層扁平上皮,與表皮相連。可見許多束條狀增生的上皮組織自囊腫中央向外呈放射狀排列,有的形成不成熟的毛囊。增生的上皮組織內尚可見到皮脂及小角質囊腫。
概述
毛囊瘤(trichofolliculoma)是一種較高度分化的良性 器官樣錯構瘤,有向毛囊分化趨勢。分化程度介於基癌與毛痣之間。少見。大多發生於成年男性。好發於面部,特別是鼻側,偶見於頭皮或頸部。
病理生理
組織象示此瘤位於真皮內,邊界清楚,與周圍正常結締組織之間可見裂隙,中央為擴大成囊樣、扭曲的毛囊,與表皮相連,並突向皮面增長。囊內含有角質和小片雙摺光性毛乾。自囊壁分出很多排列成放射狀的"繼發性毛囊",其大多為高度分化的毛囊下部結構,均能產生毛乾。高度分化處常可見毛乳頭、外毛根鞘,其至內毛根鞘,有時並見小團皮脂腺細胞;分化較低處,可見角質囊腫。"繼發性毛囊"之間由上皮索將其相互連線。因上皮索系向外毛根鞘分化,故邊緣處細胞排列成柵狀,中央細胞因含糖原而空泡化。間質內成纖維細胞多見,皮脂腺毛囊瘤是毛囊瘤的一種異形,多見於鼻部,不同於上述者。"繼發性毛囊"中尚可見皮脂腺導管和很多高分化的皮脂腺小葉。
一般病理改變:
毛囊瘤a 腫瘤位於真皮,對稱、界清。
b 病變中央為擴大而扭曲的原發性毛囊,與表皮相連。
c 原發性毛囊內有角質及多數毛乾。
d 繼發性毛囊發育成熟,可見到內毛根鞘、外毛根鞘、纖維性毛根鞘、毛乳頭和毛球。
e 繼發性毛囊間由上皮索連線,上皮索及繼發毛囊周圍由纖維間質包繞。
f 瘤細胞呈明顯異質性;峽部角質化成份,具有胞漿淡染和周圍細胞呈柵欄狀排列的外毛根鞘細胞及緻密的多角形或基底樣毛母質細胞。
症狀體徵
大多發生於男性,多見於18~49歲之間,發生於面部,特別是鼻兩側,偶見於頭皮及頸部,生長緩慢,腫物平均直徑達4mm。通常為單發,呈健皮色或淡紅色,圓頂狀,中央凹陷,可排出皮脂樣物質,其中含有少數黑色或白色毛髮,有一定的診斷價值。雖然臨床上這種腫物有其特點,即在結節中央毛囊開口處有許多細毛,但一般臨床上不能確診。通常無自覺症狀。
鑑別診斷
臨床上需與基底細胞癌,傳染性軟疣或汗管瘤等鑑別。
組織學上與毛髮上皮瘤及基底細胞癌鑑別。本病具有中央充以角質的毛囊囊腫,囊腫周圍有不同分化程度的毛的結構。基底細胞瘤雖也可含有角質囊腫,但無發育不全的毛囊,可鑑別。
臨床特點
a 成年男性多見。
b 好發於面部,特別是鼻部,其次為頭頸部。
c 損害常單發,為一高出皮面之膚色丘疹或結節,直徑4mm左右,中央有臍凹,從中有成簇毳毛穿過。
治療
雷射,電灼或手術切除。目前手術全部切除是較為滿意的治療方法。

