疾病原因
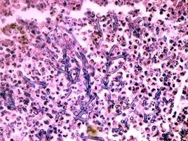
多數情況下曲菌是一種條件致病菌,只在機體抵抗力降低的基礎上致病。曲菌可在身體許多部位引起病變,如皮膚、耳、鼻腔、眼眶、心、腦、腎、呼吸道、消化道等,而以肺部病變為最常見。曲菌在組織內可引起化膿,形成小膿腫。有時不化膿而發生組織壞死及出血,周圍有多數中性粒細胞和單核細胞浸潤。在小膿腫和壞死灶內有大量菌絲。曲菌並常侵入血管引起血栓形成,造成血管阻塞,可使組織缺血、壞死。慢性病灶有纖維組織增生,其中有大量淋巴細胞和單核細胞浸潤,並雜有多數巨噬細胞和異物巨細胞。病灶內有大量菌絲。曲菌菌絲粗細均勻,直徑約2~7μm,有隔,分支狀,常成約45°的銳角分支,HE染色呈藍紫色,PAS染色更為清晰,也可用鍍銀法顯示。在陳舊的纖維肉芽腫性病灶內,曲菌菌絲可變形,粗細不勻,部分可膨大呈球狀或小囊狀。
症狀體徵
注意肺部有無哮鳴音和濕囉音以及與革蘭陰性菌敗血症相似的體徵,如弛張熱、血壓下降、繼發肺炎和敗血症表現,相繼出現胃腸道、腎、肝、心、脾和中樞神經系統等臟器受累體徵。
疾病病因
注意有無長期套用廣譜抗生素、糖皮質激素及抗腫瘤藥物,有無內分泌紊亂或原發病因治療而引起正常免疫應答低下情況,有無嚴重燒傷、心臟手術或慢性病(如肝病、腎病、糖尿病、血液病等)。
臨床特點
這些患者經過多項醫療器械進行診斷後均確診患有變應性支氣管肺曲菌病, 例如:胸部CT、肺功能檢查、支氣管鏡檢查等。通過對患者進行各項指標檢查後, 這些患者的臨床症狀呈現出不同程度的咳嗽, 也有患者伴有不同程度的氣促、胸痛及咯血等。另外, 這些患者臨床症狀呈現出以下幾點:哮喘;周圍血中嗜酸粒細胞增加;Asp變應原速發性皮試陽性;血清總Ig E濃度升高;肺部浸潤陰影;抗Asp變應原的特異性Ig E和Ig G抗體效價升高等。此外, 根據患者中央型支氣管擴張情況而該疾病劃分為以下兩種類型, 即ABPA-CB與ABPA-S。
診斷檢查
白細胞計數及分類;反覆做真菌直接塗片和培養。支氣管刷液或支氣管肺泡洗液可提高陽性率。血液分離曲菌很少陽性。尿、便、腹水、腦脊液等分離曲菌部分陽性。疑有肺曲菌病時作胸部X線檢查。
影像表現
腐蝕性肺麴黴菌病特徵為肺部一個或多個空洞伴血清麴黴抗體陽性。患者通常具有肺部基礎疾患, 如空洞型肺結核、組織胞漿菌病、纖維囊性結節病、大泡型肺氣腫或囊性肺部疾病。病理改變為非特異性肉芽腫, 亦可侵入肺部空洞病灶、支氣管囊腫或支氣管擴張部位, 菌絲在其內繁殖形成團塊, 成為特徵性的曲菌球。典型影像表現為:空洞內曲菌球, 曲菌球可隨體位移動, 周圍可見典型“空氣新月征” 。本組病例中曲菌球2例, 可見典型“空氣新月征”。
變態反應性支氣管肺麴黴菌病為一種過敏性肺病, 與麴黴引起的氣道炎性破壞有關。診斷該病的7項主要標準:陣發性支氣管哮喘;外周血嗜酸粒細胞增多;麴黴抗原劃痕試驗即刻陽性反應;有麴黴抗原沉澱抗體;血清Ig E水平升高;肺部滲出病史 (遊走性或固定滲出) ;中央型支氣管擴張。影像表現:遊走性肺浸潤, 肺內有條狀、柱狀和小斑片緻密影, 呈Y型、U型, 中心性支氣管擴張, 呈指套征、牙膏征。栓子咳出後, 表現為中心性支氣管擴張 (病變局限於2/3肺野內) 。本組病例中支氣管擴張1例, 位於肺門附近, 可見擴張支氣管內栓子呈Y型、U型。
治療方案
1.嚴格掌握糖皮質激素及廣譜抗生素的套用。
2.積極治療原發病,加強支持療法,提高機體免疫力。
3.病原治療
(1)對隱球菌腦膜炎患者:①用二性黴素B加5-氟胞嘧啶聯合治療具有協同作用。二性黴素B lmg/(kg·d)靜滴、5-氟胞嘧啶50~150mg/(kg·d)分3次口服或靜滴共6周。治療前、治療中每2周複查BUN及血象以確定用藥的適當時間間隔。治療前測腎功及血象,對腎功損害及骨髓抑制的患者應慎用(二性黴素B首次靜脈滴注劑量為0.1mg/(kZ·d),以後每日增加0.05~0.10mg/kg直至1.0mg/kg,但每日劑量不超過50mg/d,藥物溶解於5%葡萄糖液,最佳濃度為0.1mg/m1)。二性黴素B也可與利福平聯合套用,亦有協同作用。②咪康唑(雙氯苯咪唑)常用於不能耐受二性黴素B或治療反應不佳的深部真菌患者。對念珠菌、曲菌、隱球菌、組織胞漿菌或環孢子菌等全身感染有效。劑量:0.6g~1.2g/d分3次靜滴,鞘內注射成人20mg每3~7d一次。③氟康唑有廣譜抗真菌作用,口服吸收良好,能透過血腦屏障,200mg每日1~2次。④球紅黴素口服400~2000U/(kg·d),靜滴40~100U/(kg·d)開始;漸增至600~800U/(kg·d),成人總量不超過300萬~400萬U。
(2)肺部隱球菌病輕型患者可不用抗真菌藥物,如無條件隨訪可口服酮康唑200mg~400mg/d。
4、護理
(1)按傳染病一般護理常規護理。高熱時按高熱護理常規護理。
(2)及時留送痰、血、尿、糞便、腦脊髓液、膿液等,進行常規檢查及培養。
(3)3.密切觀察病情,特別注意咳嗽、咯血、呼吸、神志改變等,如有變化應及時與醫師聯繫。
(4)及時做好隔離、空氣消毒、口腔衛生、皮膚護理等。
5、出院標準
臨床症狀與體徵消失,精神、食慾恢復,血、腦脊液等常規檢查正常,培養陰性。
安全提示
1、在疑有曲菌感染的環境工作時,應作好防護工作,如戴防護口罩以免吸入大量病菌。在真菌實驗室進行煙曲菌、黃曲菌、黑曲菌等菌的操作時,更要注意防止將這些病菌吸入肺部。
2、加強防護措施,如在粉塵多的地方工作時需戴上口罩,及時處理眼和皮膚的外傷,儘量消除或減少各種誘發因素的影響,積極治療慢性病。

