病因
人類食生或不熟的豬或其他動物肉而感染。骨骼肌中的包囊在12時可存活57天,在腐肉中可存活2~3個月。不充分的燻烤或涮食都不足以殺死包囊幼蟲。此外,在動物間通過糞便傳播受到一定的關注,人群間此種傳播亦並非不可能,尤其感染後4小時內排出的糞便感染力最強。
臨床表現
潛伏期2~45天,多為10~15天,潛伏期長短與病情輕重呈負相關。臨床症狀輕重則與感染蟲量呈正相關。
1.早期
相當於成蟲在小腸階段。可表現有噁心、嘔吐、腹痛、腹瀉等,通常輕而暫短。
2.急性期
幼蟲移行時期。病多急起。主要表現有發熱、水腫、皮疹、肌痛等。發熱多伴畏寒、以弛張熱或不規則熱為常見,多在38~40℃之間,持續2周,重者最長可達8周。發熱同時,約80%患者出現水腫,主要發生在眼瞼、顏面、眼結合膜,重者可有下肢或全身水腫。進展迅速為其特點。多持續1周左右。皮疹多與發熱同時出現,好發於背、胸、四肢等部位。疹形可為斑丘疹、猩紅熱樣疹或出血疹等。全身肌肉疼痛甚劇。多與發熱同時或繼發熱、水腫之後出現,伴壓痛與顯著乏力。
皮膚呈腫脹硬結感。重症患者常感咀嚼、吞咽、呼吸、眼球活動時疼痛。此外,累及咽喉可有吞咽困難和喑啞;累及心肌可出現心音低鈍、心律失常、奔馬律和心功能不全等;累及中樞神經系統常表現為頭痛、腦膜刺激征,甚而抽搐、昏迷、癱瘓等;肺部病變可導致咳嗽和肺部囉音;眼部症狀常失明、視力模糊和復視等。
3.恢復期
隨著肌肉中包囊形成,急性炎症消退,全身性症狀如發熱、水腫和肌痛逐漸減輕。患者顯著消瘦,乏力,肌痛和硬結仍可持續數月。最終因包囊壁鈣化及幼蟲死亡而症狀完全消失。嚴重病例呈惡病質狀態,因虛脫、毒血症或心肌炎而死亡。
檢查
1.血象
在疾病活動期有中等度貧血和白細胞數增高,總數在(10~20)×10 /L,嗜酸性粒細胞顯著增高,以發病3~4周為最高;可達80%~90%,持續至半年以上;重度感染、免疫功能低下或伴有細菌感染者可以不增高。
2.病原學檢查
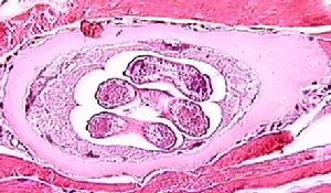
應取標本檢查包囊或胃蛋白酶消化處理後離心,取沉渣以亞甲藍染色鏡檢,找幼蟲或將殘肉餵動物(大鼠),2~3天后檢查其腸內幼蟲,如獲旋毛蟲幼蟲即可確診。如已發病10天后,可做肌肉活檢,常取三角肌或腓腸肌活檢,陽性率較高。
在腹瀉早期,可在大便中找到幼蟲,在移行期偶可在離心的血液、乳汁、心包液和腦脊液中查見幼蟲。
3.免疫學檢查
(1)皮內試驗用旋毛蟲幼蟲浸出液抗原(1:2000~1:10000)取0.1ml,皮內注射後15~20分鐘,皮丘>1cm,紅暈直徑>2cm;而對照用01%硫柳汞0.1ml,在另一側前臂皮內注射為陰性反應時即判定皮試為陽性。此法有較高靈敏性與特異性,方法簡單,很快獲結果。
(2)血清學檢查用旋毛蟲可溶性抗原檢測患者血清的特異性抗體有助於診斷。可用玻片凝集法、乳膠凝集試驗、補體結合試驗、對流免疫電泳、間接免疫螢光抗體試驗和酶聯免疫吸附試驗等,檢測患者血清抗體以後,兩者的敏感性與特異性較好。如恢復期血清抗體較急性期增加4倍以上更有診斷意義。
(3)其他肌肉活檢找到旋毛幼蟲,尿常規檢查可有蛋白尿及顆粒或蠟樣管型和紅細胞。在病程3~4周時,球蛋白增高,而白蛋白降低,甚至比例倒置,免疫球蛋白IgE顯著升高。
可相應作X線、B超、心電圖等檢查。
診斷
依進食未熟肉食的流行病學史及典型的臨床表現,不難疑及本病,再結合病原學檢查或免疫學檢查結果,確定診斷並無困難。
鑑別診斷
本病應與食物中毒、腸炎、傷寒、鉤端螺旋體病、血管神經性水腫及皮肌炎等鑑別。
治療
1.一般治療
症狀明顯者應臥床休息,給予充分營養和水分,肌痛顯著可予鎮痛劑。有顯著異性蛋白反應或心肌中樞神經系統受累的嚴重患者,可給予腎上腺皮質激素,最好與殺蟲藥同用。
2.病原治療
根據病原對症治療。也可採用苯咪唑類藥物,其療效較好,副作用相對較輕。

