病因
慢性阻塞性肺氣腫紙菸含有多種有害成分,如焦油、尼古丁和一氧化碳等。吸菸者黏液腺岩藻糖及神經氨酸含量增多,可抑制支氣管黏膜纖毛活動,反射性引起支氣管痙攣,減弱肺泡巨噬細胞的作用。吸菸者並發肺氣腫或慢支和死於呼吸衰竭或肺心病者遠較不吸菸者為多。
2.大氣污染
氣候和經濟條件相似的情況下,大氣污染嚴重地區的肺氣腫發病率比污染較輕地區為高。
3.感染
呼吸道病毒和細菌感染與肺氣腫的發生有一定關係。反覆感染可引起支氣管黏膜充血、水腫,腺體增生、肥大,分泌功能亢進,管壁增厚狹窄,引起氣道阻塞。肺部感染時蛋白酶活性增高與肺氣腫形成也可能有關。
4.蛋白酶-抗蛋白酶平衡失調
體內的一些蛋白水解酶對肺組織有消化作用,而抗蛋白酶對於彈力蛋白酶等多種蛋白酶有抑制作用。蛋白酶和抗蛋白酶的平衡是維持肺組織正常結構免於破壞的重要因素。消化肺組織的蛋白酶有兩種來源,外源性來自細菌和黴菌等病原體,內源性來自中性粒細胞和肺泡巨噬細胞。吸菸使彈性蛋白酶活性增加,並使抗蛋白酶失活。
臨床表現
1.症狀
有肺氣腫病理變化的患者主要症狀是呼吸困難,輕者僅在體力勞動時發生,隨著肺氣腫程度加重,呼吸困難逐漸加重,甚至休息時也出現呼吸困難。當合併呼吸道感染時,症狀加重,並可出現缺氧、酸中毒等。
2.體徵
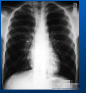
本病早期體徵多無異常,嚴重肺氣腫者胸廓前後徑增加,外觀呈桶狀,肋間隙飽滿。叩診胸廓迴響增加,心濁音界縮小或消失,肝濁音界下降。呼吸音和語音均減弱,呼氣延長,有時兩肺底可聞及乾濕囉音。心音低遠。本病由於肺臟過度充氣,殘氣量增加,X線檢查肺透明度增加,但在早期這一X線徵象不夠敏感。重度肺氣腫時胸廓飽滿,肋骨走行變平,肋間隙增寬。側位片胸廓前後徑增大,胸骨後間隙過寬。膈肌位置下移,膈穹隆變為扁平。兩肺透明度增高,肺野外帶血管紋理纖細、稀疏。心影呈垂直狹長。透視下可見胸廓和膈肌活動度減弱。也有表現為肺紋理增多的,肺透明度增高不明顯,肺門部肺動脈增寬,心臟常擴大。
檢查
1.肺功能檢查
診斷肺氣腫的標準是殘氣量超過肺總量的35%,最大通氣量低於預計值的80%,肺總量超過預計值的100%,1秒用力呼吸量低於肺活量的60%。
2.血液檢查
部分患者可出現紅細胞計數增多,特別當血氧分壓(PaO2)<7.3kPa(55mmHg)時為明顯。白細胞計數多正常,合併呼吸道感染時可增高。
3.血氣分析
由於換氣功能障礙可出現低氧血症,則PaO2降低。雖通氣負荷增大,但早期通過代償,使動脈血二氧化碳分壓(PaCO2)仍維持在正常範圍內。當病情進一步發展,可伴發CO2瀦留,則PaCO2升高,引起呼吸性酸中毒。
3.X線檢查
胸廓擴張飽滿,肺容積增大,肋間隙增寬,肋骨平舉。側位胸片見胸廓前後徑增寬,心前間隙增大。橫膈低位,膈穹隆變平。肺野透光度增大,有時可見局限性透光度增高的局限性肺氣腫或肺大皰。肺野外帶肺血管紋理纖細、稀疏、變直;而內帶紋理可增粗、紊亂。心臟常呈垂直位,心影狹長。透視下可見胸廓和膈肌活動度減弱。
診斷
肺氣腫的診斷,尤其是早期診斷較不易,應結合病史、體徵、胸部X線檢查及肺功能檢查綜合判斷。凡有逐漸加重的氣急史,肺功能測驗示殘氣及殘氣/肺總量增加,第一秒用力呼氣量/用力肺活量減低,最大通氣量降低,氣體分布不勻,彌散功能減低;經支氣管擴張劑治療,肺功能無明顯改善,診斷即可成立。
鑑別診斷
慢性支氣管炎、支氣管哮喘與慢性阻塞性肺疾病均可出現肺氣腫的病理表現。但三者既有聯繫,又有區別,不可等同。慢性支氣管炎在並發肺氣腫前病變主要限於支氣管,可有阻塞性通氣障礙,但程度較輕,彌散功能一般正常。支氣管哮喘發作期表現為阻塞性通氣障礙和肺過度充氣,氣體分布可嚴重不勻。但上述變化可逆性較大,對吸入支氣管擴張劑反應較好。彌散功能障礙也不明顯。而且支氣管哮喘氣道反應性明顯增高,肺功能晝夜波動也大,為其特點。慢性阻塞性肺疾病多表現為逐漸加重的活動性呼吸困難,在充分舒張氣管後進行肺通氣功能檢查FEV1/FVC小於預計值70%,並需排除其他引起氣管阻塞的疾病。
治療
肺氣腫是多種疾病均可表現出來的病理改變,需要針對原發疾病進行治療。
1.改善患者一般狀況
提高機體抵抗力,防止感冒和下呼吸道感染至關重要,可採取耐寒鍛鍊、肌注核酪或卡介苗素等。肺氣腫患者由於呼吸負荷加重,呼吸功能增加,能量消耗增高。但飲食攝入由於氣急、缺氧、右心衰竭或使用藥物等原因不能相應增加甚至反而減低,因此常合併營養不良。故應重視營養素的攝入,改善營養狀況。全身運動如步行、踏車、活動平板、廣播操、太極拳等不僅增加肌肉活動度,而且也鍛鍊呼吸循環功能。
2.呼吸訓練
保證呼吸道通暢、提高呼吸肌功能、促進排痰和痰液引流、改善肺和支氣管組織的血液代謝、加強氣體交換效率。
3.呼吸肌鍛鍊
經呼吸肌鍛鍊,患者膈肌活動度增加,低氧狀態改善,耐力提高,肺功能顯著改善。
4.家庭氧療
經過抗感染、祛痰和支氣管解痙劑治療,緩解期動脈血氧分壓仍低於7.33kPa(55mmHg)者應進行家庭氧療。對於那些繼發性紅細胞增多症或頑固性右心衰竭的肺氣腫患者可適當放寬氧療指征。氧療可以改善患者症狀,提高工作效率,增加活動強度,擴大活動範圍。為防止高濃度吸氧對通氣的抑制作用,應採用低流量吸氧。
5.其他
其他非創傷性機械通氣的開展為肺氣腫患者

