病原學
山羊泰勒蟲疾病史
患病羊臨床症狀
病羊體溫升高到40-42℃,心跳加快,節律不齊,呼吸促迫。精神沉鬱,食慾減少或消失,羔羊不時發出吟叫。反芻及胃腸蠕動減少或停止。肢體僵硬,以羔羊最為明顯,舉步十分的艱難,有的羔羊發病2d後,就四肢癱軟,臥地不起。體表淋巴結腫大,肢體極度消瘦,眼結膜蒼白,輕度的黃染,血液稀薄,有的病羊排惡臭的稀糞。病理剖檢
屍體極度消瘦,血液稀薄,凝固不良,皮下脂肪有點狀出血。全身淋巴結呈不同程度的腫大,尤以肩前、腸系膜、肝、肺等處較為顯著,切面多汁、充血、出血,肝、脾及膽囊腫大。有的病例真胃黏膜上有潰瘍。實驗室診斷
根據以下幾個方面進行綜合分析,發現病原體後方可確診
流行病學方面發病季節為8-9月份,本病例雖無蜱的叮咬,但該羊群疫苗注射時沒能一畜一針,造成人為的傳播。
臨床檢查體溫升高40-42℃,呈稽留熱,體表淋巴結腫大,有貧血、黃疸等症狀。
死亡剖檢有全身貧血,淋巴結腫大及真胃黏膜潰瘍等。
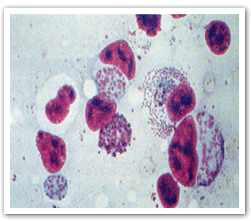
病原檢查採用直接塗片染色檢蟲法檢查病原體。血片塗制:取經過處理的載玻片,從經過消毒處理的病羊耳尖靜脈針刺後,取第一滴血液滴在載玻片晾乾,每隻羊做3片;血片染色:採用姬姆薩氏染色法,用無水甲醇2-3滴滴於血膜上使其固定2-3min,而後置於稀釋的姬氏染色液(將原液充分振盪後,用緩衝液或中性蒸餾水稀釋10-20倍)中染色30-60min。最後用緩衝液或中性蒸餾水沖洗後晾乾,在油鏡下檢查,見到圓形、梨形等形態的病原體。
疾病治療
貝尼爾(強化血蟲淨):肌肉注射,注射劑量每千克體重5mg,用蒸餾水配成1%溶液,每天1次,連續注射3d。
對體質特別消瘦的,可以結合輸液治療,加強飼養管理,提高動物機體的抵抗力。
經過用藥治療3d以後,死亡停止,再經過一段時間的調養,大部分的羊都已恢復健康。
疾病預防
在發病季節用三氮脒預防,按3mg/kg體重,預防期20d。
用泰勒蟲病裂殖體膠凍細胞苗對羊進行預防注射,接種20d產生免疫力,免疫期為1年。
從蜱活動季節前1個月開始定期用1%~2%敵百蟲溶液噴灑羊體,每15d1次,5月下旬蜱活動旺盛季節前,按蜱動態每10d噴灑1次,6~7月每3~7d噴灑1次,8~9月每10~15d噴灑1次。發病季節應避免到山地和次生林地放牧,可轉移到平原放牧或舍飼。
凡引進動物要作血液寄生蟲檢查,發現患病動物應及時隔離治療,同群動物進行藥物預防。

