流行病學
小腸脂肪瘤小腸脂肪瘤占胃腸脂肪瘤的一半以上,占小腸良性腫瘤的10%~20%國內鄭裕隆等統計2881例小腸良性腫瘤,其中脂肪瘤289例占10%,次於腺瘤、平滑肌瘤、血管瘤而位居第四;國外脂肪瘤多於血管瘤位於第三位,占全部小腸良性腫瘤的14.3%。小腸脂肪瘤患病年齡多大於40歲(約80%),以男性多見。
病因
小腸脂肪瘤主要來自腸壁的黏膜下層,一般不會長的很大,外觀上與身體其他部位的脂肪瘤一樣,由成熟的脂肪組織構成。
發病機制
小腸脂肪瘤——圖11.好發部位 小腸脂肪瘤以迴腸最為多見中國好發部位順序依次為迴腸(50%~60%)、空腸(23.8%)十二指腸(13.2%);國外為迴腸、十二指腸、空腸近屈氏韌帶的近端空腸,近回盲部的末端迴腸是小腸脂肪瘤的好發部位。
2.病理學 小腸脂肪瘤主要來自腸壁的黏膜下層,向腸腔內突出,如息肉樣或蕈傘狀部分可有蒂,體積較小;亦可發生於漿膜下,突出於腸壁外,體積可達很大。腫瘤可以單發或多發,多發者如息肉病樣分布於全小腸息肉間僅相距數公分。脂肪瘤的生長方式呈四種形態:單發的限局性腫物、多發而又分散的腫物融合在一起的多發性脂肪結節、脂肪組織在黏膜下層浸潤而不形成腫瘤樣結節。小腸脂肪瘤由成熟的脂肪組織構成,外觀呈球形,為黃色、柔軟的限局性腫物,有一層完整的很薄的結締組織外膜腫瘤表面可有糜爛壞死或淺潰瘍形成。切開的剖面可出現隆起,組織分葉大小不規則,呈淺黃色,有油脂樣光澤(圖1)。
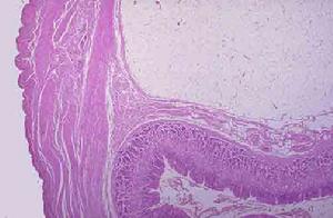
鏡下結構與正常的脂肪組織難以區分主要區別在於有無包膜,活檢只憑一塊組織很難作出正確的診斷,必須參考大體標本的觀察。腫瘤成分以大小一致的成熟的脂肪細胞為主,有時有像黃色瘤樣的瘤細胞,以及或多或少不規則分布的結締組織間質。腫瘤附近腸壁可有不同程度充血與炎細胞浸潤(圖2)。
3.病理分型 根據小腸脂肪瘤的發病部位及生長方式可分為四型:
(1)腔內型:此型脂肪瘤向黏膜面呈限局性生長,並突入腸腔內,部分可有蒂。此型最多見占90%以上。因較易引起腸腔阻塞、腸套疊、出血等併發症而易發現,體積相對較小。
(2)腔外型:凡向腔外生長者均屬此型。多見於自漿膜下發生的脂肪瘤,較少見有人統計占3.2%。較小的漿膜下外生性脂肪瘤易引起腸扭轉、疼痛、阻塞等症狀。
(3)腸壁間型:腫瘤不向腸腔內外突出,而僅於腸壁內者,約占5.5%。此型脂肪瘤往往較小,圓形或橢圓形,較少引起症狀呈環形生長的腸壁間型脂肪瘤易引起腸腔狹窄、阻塞。
(4)混合型:以上三種情況的不同組合。此型脂肪瘤的症狀因不同情況的混合而有不同的表現。
臨床表現
小腸脂肪瘤——圖2一般無明顯症狀,有的病人可終生無症狀,只是在作腹部其他手術或屍檢時才發現。在有臨床表現的病例中,因腫瘤的病理類型的不同而有不同表現一般表現為腹痛、消化道出血、慢性腸梗阻、腹塊等,50%是以腸套疊而就診。回盲瓣黏膜下層的脂肪瘤又名回盲瓣脂肪過多症(lipomatosis),在X線檢查時不易與盲腸癌區別亦容易發生腸套疊。
1.腹痛 多為間歇性發作,呈隱痛或鈍痛,腹部不適,可反覆發作腹痛可位於上腹部、臍周或下腹部,當有不全梗阻時可出現臍周陣發劇痛,伴有噁心嘔吐、腹脹等症狀。
2.消化道出血 較常見,主要因腫瘤表面有壞死、潰瘍形成所致。出血呈間歇性,主要表現為便血,出血量一般不大多僅為大便潛血試驗陽性,少數可為柏油樣便、暗紅色稀便,常伴有貧血症狀在空腸上段短時間內大量出血也可有嘔血。曾有報導一例48歲男性病人二天內突然嘔血600ml,急診開腹探查病理診斷為空腸多發性脂肪瘤。在臨床上小腸多發性脂肪瘤並發大量消化道出血很少見
3.腸套疊 由於腫瘤多向腸腔內生長而使腸道不全梗阻,刺激腸管發生強烈收縮、痙攣、腸壁蠕動節律紊亂,而使腫瘤所在腸管發生套疊,腫瘤常在套疊腸管之中或頂端。在腹部可觸及套疊腫塊並出現阻塞症狀。套疊類型可有回-回型空-空型、回-結型、回-回-結型。
4.腹部腫塊 向腔外生長者有時腫塊長的較大,可觸及腹部腫塊,並有壓痛,腫塊活動度大。並發腸套疊時亦可觸及套疊腫塊。
5.腸扭轉 向漿膜面生長者由於重力作用可發生腸扭轉而引起絞窄性腸梗阻。或因腸腔阻塞腸套疊而引起腸絞窄壞死,腸壁穿孔,出現腹膜炎表現。
併發症:
1.消化道出血 出血呈間歇性,主要表現為便血,出血量一般不大,多僅為大便潛血試驗陽性,少數可為柏油樣便、暗紅色稀便,常伴有貧血。
2.腸套疊 由於腫瘤多向腸腔內生長而使腸道不全梗阻,刺激腸管發生強烈收縮、痙攣、腸壁蠕動節律紊亂,而使腫瘤所在腸管發生套疊。
腸套疊、腸扭轉、腸壁穿孔是小腸脂肪瘤易發生的併發症,亦是就診的主要原因
診斷
小腸脂肪瘤早期多無症狀,後期可因腸梗阻、出血等併發症而出現症狀,但缺乏特異性,診斷頗為困難,需要X線、CT、組織病理學等檢查協助診斷。
1.臨床表現
2.實驗室及其他輔助檢查。
3.剖腹探查 對疑有腸道腫瘤或觸診捫及腫塊而各項檢查未發現病灶者,可行剖腹探查以明確診斷,去除病灶。
鑑別診斷
小腸脂肪瘤1.十二指腸潰瘍 亦可出現腹痛消化道出血、噁心、嘔吐腹脹等症狀,除以上表現外還可引起幽門梗阻症狀,需與十二指腸腫瘤鑑別。藉助X線檢查、動脈造影、十二指腸鏡檢加組織學檢查當可區別必要時需手術探查以明確診斷。
2.腸結核 腸結核可有腹痛、腹瀉或便秘、腫塊等表現,有時易被誤認為腫瘤,但腸結核多伴有發熱盜汗等結核毒血症的表現,且常伴有腸外結核。胃腸X線鋇劑檢查顯示回盲部有激惹、充盈缺損或狹窄等徵象,纖維結腸鏡檢查病變部位有潰瘍、僵硬、狹窄等表現,活檢可發現典型結核病變——乾酪樣肉芽腫抗結核治療常有效,均可與小腸腫瘤鑑別。
檢查
小腸脂肪瘤檢查實驗室檢查:
1.血常規檢查 腫瘤反覆出血時,可有小細胞性貧血表現。
2.大便潛血試驗 可為陽性。
3.組織病理學檢查 肉眼見呈鮮黃色圓形,有包膜凸向黏膜面,直徑多在數厘米以內,呈息肉狀,無蒂或有蒂,切面分葉狀,黃色、有油膩光澤鏡檢見,腫瘤由分化成熟的脂肪細胞構成,內有不規則分布的結締組織間質
其它輔助檢查:
1.氣鋇雙重造影 消化道氣鋇雙重造影可見腸腔內圓形或卵圓形腫塊為分葉狀或光滑,境界清楚透光度較高。其形態可因局部加壓而變化,亦可有深在潰瘍。並可提示腸梗阻、腸套疊等徵象(圖3)。
2.內鏡檢查 往往表現為有蒂或無蒂黏膜下隆起性病變,表面光滑或有淺表潰瘍。因小腸脂肪瘤是黏膜下病變內鏡活檢常為陰性。
3.B超檢查 正常小腸聲像圖因不同節段腸管內所含內容物的不同,通常為含有氣體,黏液和液體的混合型表現。充盈狀態的腸壁厚度約為3.0mm,一般不大於5.0mm。疑有腸壁增厚或發現腫塊者,需飲水500ml左右繼續檢查,每隔10~15min重複一次小腸脂肪瘤可在B超下呈現三種聲像圖特徵:腔內腫塊型、壁內型及腔外腫塊型。
4.CT檢查 可判斷腫瘤部位、大小等。CT影像特徵:腫瘤呈均質脂肪密度影,邊界清晰注射造影后影像不增強(圖4)。腸套疊時呈不均質軟組織塊影,呈靶形或臘腸形。
5.MRI檢查 信號特徵是Tl加權圖像脂肪成分為高信號,T2加權圖像亦為高信號,隨回波時間延長,信號強度逐漸下降。
6.選擇性腸系膜動脈造影 有助於明確病變部位及病變性質,特別是在活動性出血期。只須每分鐘有0.5ml的出血量即可呈現陽性結果。
7.剖腹探查 對疑有腸道腫瘤或觸診捫及腫塊而各項檢查未發現病灶者,可行剖腹探查以明確診斷,去除病灶。
相關檢查:潛血(尿)
治療
診斷為小腸脂肪瘤者應行手術治療。較小的可作腫物切除或楔形切除,較大的、多發者或腸套疊而影響腸管血運時做腸切除、腸吻合術
預後
一般腫瘤小,無明顯的臨床症狀,也無惡變潛在傾向,通常不需處理;小腸脂肪瘤極少發生惡變手術治療後預後良好。
