病因
椎管內腫瘤切除術腫瘤位於髓內和硬脊膜外者較成人常見,腫瘤位於髓內者約占1/4 硬脊膜外者占1/5。各種腫瘤有其特有的好發部位,如上皮樣囊腫和皮樣囊腫多發生在腰骶段;而神經膠質瘤則胸腰段和胸段多見;肉瘤及神經節細胞瘤多見於硬脊膜外;腸源性囊腫以頸段硬膜下髓外、脊髓腹側多見,可與髓內皮樣囊腫並發。
發病機制:
小兒椎管內腫瘤椎管內腫瘤可壓迫脊髓、神經根,引起各種神經功能障礙,壓迫血管、造成脊髓水腫、變性及壞死,引起不同程度的脊髓壓迫綜合徵。
流行病學:
北京天壇醫院1955~1990年共收治小兒椎管內腫瘤224例,與同期小兒顱內腫瘤之比為1∶8.9 其中腫瘤病理類型分別為:胚胎殘餘組織腫瘤占46%;神經纖維瘤占13.8%;神經膠質瘤占11.6%;腸源性囊腫占6.3%;脂肪瘤和脊膜瘤各占3.6%。皮樣囊腫及上皮樣囊腫在嬰幼兒及學齡前兒童較多見,而脊膜瘤和神經纖維瘤在嬰幼兒中罕見。
臨床表現
圖1 小兒椎管內腫瘤主要為腫瘤所在平面的神經根損害及該水平以下的長束受累的症狀和體徵。
(1)神經根性疼痛:為神經根或硬脊膜的刺激所致,部位較固定,常局限於一處,並沿受累神經根分布區放射,性質如刀割,針刺或燒灼樣,常呈間歇性發作,在用力咳嗽或打噴嚏時加重或誘發。嬰幼兒此症狀的發生率較成人脊髓腫瘤患者低,可能原因有:
①髓外硬膜下腫瘤發病率較低:最容易產生神經根性疼痛的2種髓外硬膜下良性腫瘤(脊膜瘤和神經纖維瘤)在兒童期發病率較低。
②對疼痛的表達差:小兒對疼痛的部位和性質表達較差,只表現為陣發性哭鬧及煩躁不安。
③髓內腫瘤多:小兒髓內腫瘤相對多見,而髓內腫瘤引起疼痛者遠較髓外腫瘤少見。
(2)感覺障礙:表現為受損脊髓平面以下的感覺減退或感覺異常(麻木或蟻走感)。發生率較成人組低,主要是因為小兒對感覺障礙表述能力差,檢查又不合作,故判斷較困難。
(3)運動障礙:肢體力弱在小兒椎管內腫瘤表現較突出,頸髓病變可有四肢肌力減弱;胸腰段損害表現為下肢無力、肌張力增高及病理反射陽性等;腰骶段表現為馬尾神經損害征、肌張力及腱反射低下等;部分患兒因下肢肌力不能支持體重而步態不穩,可伴有脊椎骨骼的變形和肌肉的萎縮。
(4)直腸和膀胱功能障礙:表現為括約肌功能損害,發生率較成人高,可有肛門鬆弛,哭時大小便失禁。
(5)合併脊柱或中線部位皮膚異常:可有脊柱畸形(前突或側彎畸形),多為胚胎殘餘組織發生腫瘤的長期慢性壓迫的結果。椎管可有發育閉合障礙表現為椎板缺如、隱性脊椎裂等;背部或腰骶部皮膚可有皮毛竇或局部毛髮異常分布。
(6)腦膜炎史:約10%的患兒有不明原因的腦膜炎史,其中多數為腦膜炎反覆發作,各種抗生素難以控制,常見於椎管內皮樣或上皮樣囊腫,有皮毛竇與椎管內相通因此易招致感染。
2.不同部位腫瘤臨床表現
(1)椎體腫瘤:兒童起源於椎體骨質的腫瘤較成人少見的多,最常見的是動脈瘤樣骨囊腫和骨嗜酸性肉芽腫,脊索瘤和良性骨腫瘤也比較常見。動脈瘤樣骨囊腫可多導致椎體膨脹性骨質破壞,臨床表現以疼痛和脊髓受壓症狀為主,頸椎病變可表現為特徵性斜頸 腰椎病變出現神經根性疼痛,CT可見椎骨內邊界清楚、多房性、膨脹性軟組織病變,有骨質破壞和骨殼的形成。治療可採取病變椎體的切除和椎體融合固定術,放射治療效果不肯定。骨嗜酸性肉芽腫常見於頸椎,輕微的外傷可導致頸部的疼痛 雖然患兒很少發生頸椎脫位,但劇烈的疼痛、斜頸及神經根性疼痛在患兒中比較多見,治療可手術切除病變椎骨,但應保留部分椎體結構作內固定以免導致椎體不穩,放療和化療有一定效果,對多發或侵犯範圍廣泛的患兒可以試用。脊索瘤多見於骶尾區和上頸段,椎體骨質破壞時產生相應節段的脊髓壓迫症狀 上頸段和斜坡脊索瘤的浸潤性生長可導致後組腦神經受損症狀,臨床表現類似於後顱凹腫瘤 因腫瘤具有惡性變的傾向,因此應當早期診斷早期治療 放化療價值有限,應爭取手術完全切除。
(2)髓外腫瘤:兒童期髓外腫瘤多位於骶尾部,常合併有椎管閉合不全,局部皮膚可有顯著標誌,如:皮下脂肪瘤、血管瘤、毛髮異常分布及皮毛竇,如圖1所示,常見的腫瘤有:椎管內脂肪瘤、皮樣囊腫、表皮樣囊腫、腸源性囊腫和畸胎瘤,均系先天性發育異常引起,可產生脊髓栓系綜合徵 兒童骶尾區脂肪瘤侵犯範圍廣泛 可位於硬脊膜內外或包裹馬尾神經,腫瘤與軟脊膜粘連緊密,並有纖維隔穿入髓內。神經根性疼痛症狀少見,主要以肢體麻木和直腸膀胱括約肌功能障礙為主,影像學有脂肪組織的特徵性表現,手術全切除困難。皮樣囊腫和表皮樣囊腫除了有椎管內占位的一般表現外,多因囊腫內容物的滲漏刺激導致反覆發作的腦膜炎,成人較為常見的髓外腫瘤神經纖維瘤和脊膜瘤在兒童期少見,多發生在患有神經纖維瘤病的患兒中,神經纖維瘤起源於感覺神經根,腫瘤生長可導致椎間孔的擴大,產生明顯的神經根痛和脊髓受壓症狀 顱內腫瘤的椎管內種植轉移也可表現為小兒髓外腫瘤,常見的有髓母細胞瘤 惡性室管膜瘤或惡性脈絡叢乳頭狀瘤等。
(3)髓內腫瘤:脊髓內原發性腫瘤約占兒童期所有中樞神經系統腫瘤的60%,其中星形細胞瘤占65% 室管膜瘤占28%,其餘為一些少見的腫瘤,如海綿狀血管瘤、脂肪瘤上皮樣囊腫和成血管母細胞瘤等。兒童髓內腫瘤多位於脊神經節的頸段和胸段,腫瘤常侵犯多個脊髓節段,疼痛是最常見的首發症狀,性質為燒灼痛或刺痛,但不如神經根性疼痛強烈,後期可出現運動、感覺功能障礙及括約肌功能紊亂,斜頸和脊柱側彎也比較常見。
絕大多數髓內星形細胞瘤為低級別膠質瘤,大約10%~15%為惡性。兒童髓內星形細胞瘤與成人同類腫瘤略有差異,病理類型多數為毛細胞型,與兒童小腦星形細胞瘤有相似的組織學特徵(大的囊變合併小的瘤結節) 患兒多可見延髓閂部到脊髓圓錐任何脊髓節段中空性囊變,約占所有脊髓星形細胞瘤的60%,因此確定囊內的實質性腫瘤結節的部位十分重要。當腫瘤為間變型星形或膠質母細胞瘤時,多表現為囊在瘤內,囊壁即腫瘤與脊髓無明顯界限,而且質韌,手術切除困難。術中套用運動誘發電位和體感誘發電位監測脊髓功能,有助於更完全切除腫瘤,減少正常脊髓組織的損傷。
室管膜瘤囊變和鈣化少見,發生在馬尾和終絲的腫瘤為髓外腫瘤。腫瘤可沿著腦脊髓軸播散,形成軟腦膜種植轉移,因此手術部分切除後應進行常規放療,如能做到腫瘤全切除可不放療。
髓內成血管母細胞瘤在兒童較為少見,多數為Hippel-Lindau病的一個臨床表現。腫瘤常局限於幾個脊髓節段,可有囊變,腫瘤易自發性出血。
併發症:
可伴有脊椎骨骼的變形和肌肉的萎縮、斜頸和脊柱側彎、合併脊柱或中線部位皮膚異常,椎板缺如、隱性脊椎裂、有不明原因的腦膜炎史和脊髓受壓症狀等。可發生腫瘤的轉移。
診斷
圖2 MRI片鑑別診斷:
1.脊柱結核 近來已十分少見,一般肺部有原髮結核病灶,脊柱有局限性壓痛,嚴重時可有脊柱後突畸形,血沉多增快,X線平片可見椎體骨質破壞或變形,椎旁可見膿腫影。
2.橫貫性脊髓炎 病史較短,開始時常有發熱,肢體肌力進行性減弱,短期內可全癱,腰椎穿刺無梗阻表現,脊柱平片無椎體骨質異常。
3.脊髓灰質炎 季節性發病,夏末秋初多見,以2~4歲的小兒好發,有感染髮熱病史,癱瘓多為單肢或不對稱雙下肢,肌萎縮較明顯,腦脊液淋巴細胞及蛋白量增高,腰穿動力試驗無椎管內梗阻。
實驗室檢查:
1.血象檢查 感染存在時,外周血象白細胞計數和中性粒細胞可顯著增高。
2.腰椎穿刺 腰穿後測壓及動力試驗,常有不同程度的脊髓蛛網膜下腔梗阻,腦脊液蛋白含量絕大多數增高。梗阻越完全,梗阻部位越低,蛋白含量越高。神經纖維瘤和脊膜瘤的蛋白定量較其他腫瘤高,腦脊液的細胞數一般正常,有上皮樣囊腫或皮樣囊腫繼發感染者白細胞數可增高,如穿刺恰好刺入腰骶段腫瘤內,可無腦脊液流出。皮樣或上皮樣囊腫腰穿可抽出“豆腐渣”樣物。
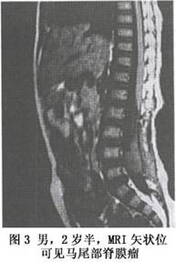
圖3 MRI 片1.脊柱X線平片 由於先天性腫瘤的長期壓迫使椎弓根變扁及椎管變寬,椎體後緣出現凹陷壓跡。椎管內胚胎組織源性腫瘤的患兒多合併有隱性脊柱裂或椎管閉合不全,啞鈴狀神經纖維瘤多有椎間孔擴大,硬脊膜外腫瘤常有椎體或椎弓根骨質的破壞。
2.CT檢查 椎體的腫瘤(如動脈瘤樣骨囊腫 嗜酸性肉芽腫、脊索瘤、骨巨細胞瘤等)多見椎體塌陷、骨質廣泛性破壞 出現低密度病變區,周圍可見高密度成骨反應或鈣化;多有椎體膨脹和邊界不清的軟組織腫塊影,向椎管內發展時,可見脊髓的受壓移位。髓內腫瘤(室管膜瘤、星形細胞瘤、成血管細胞瘤等)多見脊髓的局限性增粗、脹大,伴有脊蛛網膜下腔或硬膜外間隙的變窄,腫瘤密度均一,多為低或等密度,少數為高密度,腫瘤與正常脊髓界限不清,可增強或不增強。髓外硬膜下腫瘤(神經纖維瘤 脊膜瘤 脂肪瘤和腸源性囊腫)可因不同腫瘤的類型表現各異。神經纖維瘤多呈等或稍高密度,有囊變和鈣化 中等均一強化,可因腫瘤的椎管外生長導致椎管或椎間孔的擴大,多見椎管內外相連的“啞鈴”型腫塊影;脊膜瘤多為高密度,明顯均一強化;脂肪瘤多呈分葉狀低密度腫塊,不強化;椎管內腸源性囊腫多位於頸胸髓的腹側,邊界規則清楚,呈囊性信號,不強化或僅包膜輕度強化;但髓外硬膜下腫瘤有一共同的特徵是:脊髓密度多正常,以受壓移位改變為主,可見腫瘤上 下蛛網膜下強的擴大 而在腫瘤平面則變狹窄或消失。硬脊膜外腫瘤見椎管內邊緣銳利的軟組織腫塊影 硬脊膜囊受壓,脊髓呈淺弧形移位 相鄰骨質可有破壞。
3.MRI檢查 脊髓的MRI矢狀位成像可不受脊椎生理彎曲的影響,充分連續的顯示脊髓的全長及椎管前後緣的關係,更好的確定病變的解剖界限;冠狀位可觀察脊髓兩側的神經根和脊髓的形狀 以鑑別髓內髓外病變及其範圍(圖2,3);而且MRI對脊髓內病變的信號特徵顯示也優於CT,是椎管內病變的首選檢查措施。
治療
主要治療方法為手術切除腫瘤,對惡性腫瘤術後可輔以放射治療。小兒椎板切除及術野暴露較成人方便。近來改進了傳統椎板切除的方法,可稱為“椎板整體移除法”,即將擬切除椎板節段之近椎弓根1~2mm處用微鑽磨斷椎板,再剪斷棘間韌帶和黃韌帶,將棘突及椎板暫時取下(雙側椎板斷端兩側各鑽小孔備用),當腫瘤切除及硬膜縫合後,再將取下的椎板整體復位並用絲線加以固定,這樣可保留脊椎的解剖完整性,避免椎板切除後所致的兒童發育期脊柱不穩定性引起的脊柱畸形。手術方式視腫瘤的部位、性質及與脊髓或馬尾神經的關係而有所不同:神經纖維瘤可以全切除 皮樣或表皮樣囊腫應儘可能完全切除,如與脊髓或馬尾神經粘連緊密,不可勉強切除,以免加重神經功能障礙。但囊內容物應儘可能刮除乾淨。兒童椎管內腫瘤的手術死亡率在5%以下,死因多為高頸髓手術後呼吸功能衰竭或合併症。
預後及預防
預後:
良性腫瘤治療效果良好;惡性腫瘤多為轉移性,預後不良。
預防:
了解腫瘤的危險因素,制定相應的防治策略可降低腫瘤的危險 預防腫瘤的發生有2個基本線索,即使腫瘤在體內已經開始形成 它們也可幫助機體提高抵抗力 這些策略如下所述:
1.避免有害物質侵襲(促癌因素) 就是能夠幫助避免或儘可能少接觸有害物質。
腫瘤發生的一些相關因素在發病前進行預防。很多癌症在它們形成以前是能夠預防的 1988年美國的一份報告詳細比較了國際上惡性腫瘤相關情況,提出許多已知的惡性腫瘤其外部因素原則上是可以預防的,即大約80%的惡性腫瘤是可以通過簡單的生活方式改變而預防。繼續追溯,1969年Higginson醫生所作的研究總結出90%的惡性腫瘤是由環境因素造成的。“環境因素”、“生活方式”即是指呼吸的空氣、喝的水 選擇製作的食品、活動的習慣和社會關係等。
2.提高機體抵禦腫瘤的免疫力 能夠幫助提高和加強機體免疫系統與腫瘤鬥爭。
所面臨的腫瘤防治工作重點應首先關注和改善那些與生活密切相關的因素,例如戒菸 合理飲食、有規律鍛鍊和減少體重。任何人只要遵守這些簡單、合理的生活方式常識就能減少患癌的機會。
提高免疫系統功能最重要的是:飲食、鍛鍊和控制煩惱,健康的生活方式選擇可幫助遠離癌症。保持良好的情緒狀態和適宜的體育鍛鍊可以使身體的免疫系統處於最佳狀態,對預防腫瘤和預防其他疾病的發生同樣有好處。另外有研究顯示適當活動不僅增強人體免疫系統,而且通過增加人體腸道系統蠕動而降低結腸癌的發病率。在這裡主要認識飲食在預防腫瘤發生方面的一些問題。
人類流行病學和動物實驗研究顯示維生素A對降低患癌的危險性起著重要的作用,維生素A支持正常的黏膜和視覺,它直接或間接參與身體大多數組織功能。維生素A存在於動物組織中如肝臟、全蛋和全牛奶,植物中是以β-胡蘿蔔素和類胡蘿蔔素形式存在 在人體內能轉化為維生素A。維生素A的過度攝入可以造成機體的不良反應而β-胡蘿蔔素和類胡蘿蔔素則無此現象 血中低維生素A含量增加患惡性腫瘤的危險性 研究表明那些血中低水平維生素A攝入的人增加患肺癌的可能 而對於吸菸者血中低水平的維生素A攝入者有加倍患肺癌的可能。維生素A及其混合物可以幫助清除體內的自由基(自由基可以引起遺傳物質的損害),其次能夠刺激免疫系統和幫助體內分化細胞,發展成有序的組織(而腫瘤的特徵是無序的)。一些理論認為維生素A能夠幫助早期受到致癌物質侵襲發生變異的細胞逆轉過來而成為正常生長的細胞。
另外有一些研究建議單純補充β-胡蘿蔔素藥物並不能降低患癌症的風險,相反使肺癌的發病略有增加,然而,當β-胡蘿蔔素結合維生素C E和其他抗毒素物質,它的保護作用就顯示出來了 其原因是當它自己消耗時也可增加體內的自由基,另外不同的維生素之間存在互動作用,人和鼠的研究均顯示套用β-胡蘿蔔素可以降低體內40%的維生素E水平,比較安全的策略是吃不同的食物保持維生素的平衡來抵禦癌症的侵襲,因為有些保護因素至今還未發現。
維生素C、E是另外一種抗腫瘤物質 它們能夠預防食物中致癌物質如亞硝胺的危害,維生素C能保護精子不受基因學破壞而降低其後代患白血病、腎癌和腦瘤的危險。維生素E能降低皮膚癌的危險,維生素E與維生素C一樣具有抗腫瘤作用,它是抗毒素和清除自由基的清道夫。維生素A、C、E的聯合套用產生的保護機體抵抗毒素的作用要比單獨套用為好。
有關植物化學的研究引起人們的普遍重視,植物化學就是在植物中發現的化學物質 包括在植物中發現的維生素和其他物質。已經發現幾千種植物中的化學成分,其中許多具有抗癌作用。這些化學物質的保護機制不但降低致癌物質的活性而且增強機體免疫力抵禦致癌物質的侵襲 大多數植物提供的抗氧化劑活性超過了單純維生素A C E的保護作用,例如一杯甘藍只包含了50mg的維生素C和13U的維生素E,但它的抗氧化劑活性相當於800mg的維生素C和1100U的維生素E的抗氧化活性,可以推斷水果和蔬菜中的抗氧化劑效果遠比所知道的維生素的效果要強。無疑天然的植物產品將有助於今後的防癌工作。
