概述
卡氏肺囊蟲(PC)目前一般認為是原蟲的一種,有關PC的生活史尚未完全了解,但已知屬於人畜共同感染症的一種。PC肺炎是宿主存在免疫缺陷的基礎上發生的機會感染性疾病。
病因
(一)發病原因
病原是卡氏肺囊蟲,分滋養體與包囊,主要存於肺內,過去認為屬於原蟲,最近有學者發現卡氏肺囊蟲的DNA與真菌類具有同源性,根據其超微結構和對肺囊蟲核糖體RNA種系發育的分析認為:肺囊蟲屬真菌類,但其形態以及對藥物的敏感性又與原蟲類似,本病通過空氣和飛沫傳染,PC雖廣泛感染於人和動物,但通常僅少數蟲體寄生於肺泡內(隱性感染),如遇到虛弱乳幼兒,先天性免疫缺陷及用免疫抑制藥治療中的病兒等免疫功能不全的病兒時,開始迅速增殖,而引起肺炎,如嬰兒室的空氣被PC污染,則可造成新生兒之間相互感染而流行,年長兒及成人大多數屬於接受大量長期激素療法,惡性腫瘤(白血病,淋巴瘤)的化學療法,臟器移植後接受免疫抑制藥療法的患者。
(二)發病機制
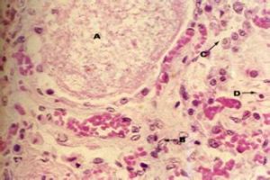
在肺泡腔內可見2種形式的卡氏肺囊蟲:一種為直徑5~8nm的囊體,包含8個多形性的囊內子孢子;另一種形式是囊外滋養體,為出囊後的子孢子,卡氏肺囊蟲通過纖維粘連蛋白等附在Ⅰ型肺泡細胞上,肺泡巨噬細胞吞噬並殺死卡氏肺囊蟲,釋放腫瘤壞死因子,卡氏肺囊蟲肺炎有2種組織病理類型:一種為嬰兒間質性漿細胞肺炎,可見於3~6個月的體弱嬰兒,有時呈暴發流行,可見肺泡間隔廣泛的增厚,以漿細胞浸潤為主,另一種類型多見於免疫損傷的兒童,為瀰漫性脫屑性肺泡炎,肺泡內含有大量的卡氏肺囊蟲,肺泡巨噬細胞呈泡沫樣改變,肺泡間隔浸潤不同於嬰兒型,通常沒有漿細胞浸潤。
症狀
小兒卡肺囊蟲肺炎的症狀:
發紺煩躁不安腹瀉呼吸困難咳嗽囉音三凹征呼吸急促
1.症狀及體徵可分為兩個類型
(1)嬰兒型:主要發生在1~6個月小嬰兒,屬間質性漿細胞肺炎,起病緩慢,主要症狀為吃奶不好,煩躁不安,咳嗽,呼吸增快及發紺,而發熱不顯著,聽診時囉音不多,1~2周內呼吸困難逐漸加重,肺部體徵少,與呼吸窘迫症狀的嚴重程度不成比例,為本病特點之一,病程4~6周,如不治療約25%~50%患兒死亡,
(2)兒童型:主要發生於各種原因所致免疫功能低下者,起病急驟,與嬰兒型不同處為幾乎所有病人均有發熱,此外,常見症狀為呼吸加速,咳嗽,發紺,三凹征,鼻扇及腹瀉,病程發展很快,不治療時多死亡,
2.X線檢查可見雙肺瀰漫性顆粒狀陰影,自肺門向周圍伸展,呈毛玻璃樣,伴支氣管充氣象,以後變成緻密索條狀,間雜有不規則片塊狀影,後期有持久的肺氣腫,在肺周圍部分更為明顯,可伴縱隔氣腫及氣胸。
預防
以SMZ-TMP預防PCP臨床已獲得成功,Harris等對229例PCP高危小兒腫瘤患者,以SMZ-TMP20~4mg/(kg·d)口服,其中ALL於預防CNST時(第28天)開始給藥,維持至少1年;對ANLL或實體腫瘤患者於化療開始同時投藥,結果無一例發生PCP,而另外10例高危患者未予預防性投藥,有5例發生PCP,說明此量預防效果是可靠的,301總醫院兒科正是在白血病患兒發生PCP後提高了對本病的認識,於1988年制定了在白血病CR常規給予SMZco20mg/(kg·d),分2次口服,每周連服3天停4天的預防方案,此後收治的易患PCP的高危患兒僅一例發病,此一例恰為未堅持服用SMZco的患兒,說明採用3天連續療法可達同樣預防效果,不僅不會增加其他病原體的感染率和副作用,而且還可以大大降低病人全身性真菌感染的發生率,對於PCP完全恢復的患者仍須採取預防措施,否則可發生再次感染,在成人,不能耐受TMPSMZ的病人,替代藥物有噴他脒,克林黴素/乙胺嘧啶;氨苯碸單獨或與TMP,乙胺嘧啶合用,廣泛用於AIDS或接受移植的病人;乙胺嘧啶與磺胺多辛成功地用於卡氏肺囊蟲的預防。

