臨床
室間隔肌部缺損臨床上少見,目前亦採用介入封堵治療。
近期我們成功封堵一例室間隔肌部大缺損患者,術後心電圖出現一系列變化,經正確處理恢復正常,現將有關體會報告如下:對象與方法
1.1對象患者男,20歲,體重50kg,發育正常,從小發現心臟雜音,近2年劇烈運動後有胸悶氣短,無紫紺,無昏厥發生,查體胸骨左緣3-4肋間可聞及Ⅳ/6級粗糙吹風樣收縮期雜音,無震顫,心臟超聲心動圖示左心室增大,室間隔肌部缺損,缺損口ф8mm,術前心電圖示左前分支阻滯。
1.2方法患者經1%利多卡因局部麻醉,分別行右股動脈,右股靜脈穿刺,經動脈鞘管插入6F豬尾導管至左心室,取左前斜52°加頭25°行左心室造影,證實室間隔肌部缺損,距主動脈瓣約6mm;缺損口左室面寬ф12mm,右室面最窄徑ф10mm,管徑長約7mm,分流量大;造影后經改良豬尾導管建立右股動脈—左心室—室缺口—右心室—右股靜脈軌道,沿軌道經股靜脈送9F長鞘管送至主動脈瓣上,通過豬尾導管和導引鋼絲調試,將長鞘管送入左心室並指向心尖。選擇ф12mm長7mm國產(先健科技)肌部封堵器,經操縱桿在X線透視下推送至左心室,先打開左心室碟片,輕輕回拉,使其與室間隔左室面貼緊,利用手感使封堵卡入缺損處,回拉稍有阻力,退輸送鞘管,使右心室面碟片打開。聽診心臟雜音消失;經胸彩色都卜勒超聲心動圖及左心室造影均證實:封堵器位置固定良好,無殘餘分流,對三尖瓣及主動脈瓣等周邊組織無影響,逆時針鏇轉操縱桿釋放封堵器。
術後處理及隨訪
術後行心電監護7天,並每天記錄心電圖;青黴素360萬U/天,共3天;地塞米松10mg/天,共5天;口服阿斯匹林1
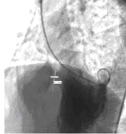
室間隔肌部2.1封堵前後左心室造影結果如圖:封堵前左心室造影
2.2封堵後心電圖演變情況:
術前左前分支阻滯
術後第3天結性心動過速
術後第4天完全性右束支阻滯
另外,術後第5天出現短暫室性心動過速,第6天后恢復術前左前分支阻滯,以後無變化。
2.3近期隨訪:術後1個月彩色都卜勒超聲心動圖提示:心臟各腔室大小正常,封堵器位置固定良好無移位,無殘餘分流,主動脈瓣、三尖瓣無返流,24小時動態心電圖隨訪提示:竇性心律(左前分支阻滯圖形),偶發室性早搏,心率變異正常。
討論
先天性心臟病室間隔肌部缺損臨床上發病率低,ф≥10mm的肌部大缺損更少見,大多數肌部室缺於室間隔較低部位,與傳導束的關係不甚密切,封堵治療不易引起傳導阻滯,但缺損位於右室流入道,傳導束位於缺損前上緣,放置封堵器有可能引起房室傳導阻滯,形成機制包括:①操作過程直接損傷傳導束;②封堵器過大造成對傳導束擠壓;③封堵器周邊組織水腫,壓迫傳導束影響房室傳導。本例患者術後一周內心電圖出現了一系列動態演變,包括結性心動過速,左束支傳導阻滯,右束支傳導阻滯,室性心動過速等等,經密切觀察和地塞米松治療恢復正常。我們的體會是:①都卜勒超聲心動圖結合左心室造影精確測量缺損口大小,尤其是最窄徑,為準確選擇封堵器起著十分關鍵作用;封堵器選擇常在最窄徑基礎上+1~2mm即可,封堵器選擇不宜過大,以免造成擠壓損傷傳導束;②術後密切心電監護非常重要,尤其對術前就已經有束支傳導阻滯患者,如發現心電圖有動變化,更要加強監護;③激素治療常可減輕局部組織細胞水腫,術後常規使用3-5天,有利於傳導阻滯恢復;出現結性心動過速又不清楚是否存在房室傳導阻滯時,可靜脈注射阿托品,提高竇性心率以明確房室傳導阻滯的存在;④對出現過心電圖動態變化患者還應加強出院後隨訪,可在近期內多做動態心電圖以防遲發性房室傳導阻滯發生。
參考文獻
1秦永文主編.實用先天性心臟病介入治療,第1版.上海:上海科學技術出版社,2005,234-236
2張玉順,朱鮮陽,張軍主編.先天性心臟病介入治療與超聲診斷進展,第1版.西安:世界圖書出版公司,2005,203-209
3MorteraC,PradaF,RissechM,PercutaneousclosureofventricularseptaldefectwithanAmplatzerdeviceRevEspCardiol.2004May;57(5):466-71.Spanish.
4AroraR,TrehanV,KumarA,etal.Transcatheterclosureofcongentitalventricularseptaldefect:experiencewithvarionsdevices.JIntervCardiol,2003,16(1):83
