外形特徵
蟲體輕壓標本狹長,狀似短劍或矛頭,前端均較後端為 尖。蟲體最大寬度在體前1/3處,寬長比例在輕壓標本平均為1:2.8,在未壓標本平均為1:3.3。腹吸盤位於體前1/3處,口吸盤位於體最前端,前者比後者略大。腸管由短食管分叉處開始,沿蟲體兩側向後形成三個大的彎曲,伸展直至末端。卵巢位於腹吸盤後外側,分枝較多,狀似珊瑚或菜花,具4—6主枝,每主枝又分出4、5個側枝,側枝末端為分葉狀小體,卵巢分枝程度比衛氏及克氏者複雜,比大平及怡樂村者簡單,居於上述二者之間。子宮在解剖標本上形成5、6次回
生活習性
終末宿主 模式宿主為家貓Felis libyca domesticao 已發現的天然感染終末宿主為 貓、犬、野貓。人工感染者為貓、犬、大白鼠、果子狸。在家貓自接種至排卵約經55—64日,每隻成蟲每日平均排卵1,732個。第一中間宿主為泥濘擬釘螺(Tricula kumida)。
第二中間宿主為雅安華溪蟹(Sinopotamon yaanense Chung et T’sao,1962),灌縣華溪蟹(Sinopotamon kwanhsienense Tai et Sung,1975),鋸齒華溪蟹,陝西華溪蟹,毛足溪蟹。
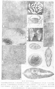
生活史 蟲卵在28℃下孵化,經19、20天毛蚴成熟,再經2,3日開始大量孵出。毛蚴呈橢圓形,運動時可呈梨形,體表纖毛板公式為6,7,3,1原腸平均為24.5—27.5微米,體內有神經團、神經細胞、焰細胞、下皮細胞、體肌細胞和生殖細胞等。
在實驗室條件(室溫22—23℃)下用上述四川肺吸蟲毛蚴人工感染陰性擬釘螺後,胞蚴可於感染後31小時查到,胞蚴為棒狀,兩端鈍圓,能蠕動,體內含有不同發育階段的一代雷蚴4,5個及少數胚細胞,第一代雷蚴可於感染後5—7日查見,呈圓柱狀,前端鈍圓,後端截平或微凹,大小很不一致,運動活潑。前端可見口、咽、食管和原腸,後者較短,咽部或稍後的體壁上可見環狀結構。一代雷蚴體內含有不同發育階段二代雷蚴4,5個,二代雷蚴可於感染後5,6日時查見,呈臘腸樣,兩端鈍圓,運動活潑,前端可見口、咽、食管和原腸,後者較短,約占體長1/8—1/5,二代雷蚴大小平均為659.6×127.7微米,體內含尾蚴6—21個。
尾蚴為微尾型尾蚴,口吸盤圓或橢圓,較腹吸盤為大,背部具椎刺一根,體內可見前咽、咽、神經節和生殖始基。穿刺腺內、外兩組共7對,體後部未見有細刺,但尾頂端有細刺十數根,排泄囊主要為卵圓形。腹吸盤後方的腹面可見一三角形的凹陷,尾蚴大小平均為191.9×83.5微米。
由天然感染石蟹體內查見的囊蚴主要為球形,大小平均為417×399微米。有三層囊壁(包括反應膜),囊壁較薄,總厚度約10微米,排泄囊較小,色亦較淺,因此腹吸盤有時可見。本吸蟲囊蚴很易脫囊,脫囊蚴的大小平均為761×452微米(圖37、38)。
分布範圍
中國分布:雲南省,陝西省。物種研究
簡史:魯超(1941),郭紹周,江留美(1943),徐國清(1948)分別報告在四川省成都市的貓、狗中發現有並殖吸蟲的感染,但未做過蟲種鑑定和有關生活史研究。鍾惠瀾等(1955)在北京發現在四川溫江吃生蟹感染的一例不典型的並殖吸蟲病例,其上腹部有皮下腫塊,同時合併胃出血,白細胞總數及嗜酸性細胞均顯著增多,無痰,大便內無肺吸蟲卵,肺吸蟲皮試及補體結合試驗均為陽性,後經用氯喹治癒。因而考慮該省可能有人類並殖吸蟲流行。乃於同年到現場調查,結果發現當地存在兩種並殖吸蟲,其中一種描述為衛氏並殖,另一種當時未予描述(翁心植,鍾惠瀾等,1957)。1957年對四川雅安地區本病的調查研究發現,當地也存在兩種並殖吸蟲,一種與衛氏並殖近似,另一種根據成蟲和囊蚴形態並結合當地並殖吸蟲病人的特點,考慮為未經描述的新蟲種。1959年做了臨床表現和囊蚴形態大小方面初步介紹(侯宗昌、鍾惠瀾等1959;Hou,T.C.Chung,H.L.等1959;賀聯印、鍾惠瀾等,1959)。1961年鍾惠瀾、曹維霽等對四川溫江和雅安兩地區的並殖吸蟲病再次進行較深入的調查研究,根據形態學和生活史的觀察結果,確定當地存在兩種並殖吸蟲,即衛氏並殖四川亞種和四川並殖新種,1962年描述定種(Chung,H.L.和T’sao,W、C.1962a,1962b;鍾惠瀾,曹維霽等,1962,鍾惠瀾,曹維霽,1963)。1963年調查發現擬釘螺為四川並殖的第一中間宿主,對其體內的並殖吸蟲雷、尾蚴做了初步觀察報告(Chung,H.L.Ho,L Y.等,1963;鍾惠瀾,賀聯印等1964)。並於同年(鍾惠瀾等1964)對四川並殖及衛氏並殖四川亞種的獨立性提出了科學論證。1963年至1964年在實驗室內套用四川並殖毛蚴感染擬釘螺獲得胞、雷、尾蚴,並用尾蚴感染石蟹獲得囊蚴,於1966年報告(鍾惠瀾等,1966a,1966b;Chung,H、L.等,1966a,1966b)。四川並殖的全部生活史至此基本完成。1974年再對形態學和生活史的研究做進一步補充(鍾惠瀾等,1974)。主要價值
危害性:本蟲對人有致病性,臨床表現與典型衛氏並殖吸蟲引起者迥然不同。絕大多數病例都不咯血,可有微量血絲痰和大便找不到並殖吸蟲卵。這些病例常有低燒,遊走性皮下結節或胸腔積液,可合併心包積液或蜘蛛網膜下出血等嚴重情況。嗜酸粒細胞明顯增多,白細胞計數也常增高,有的血沉加快,常易誤診。皮下結節內所發現的蟲體為長條型,均為童蟲(彩色圖版Ⅱ,10)。
防治措施 與衛氏並殖吸蟲者相同。 (鍾惠瀾、曹維霽)
