簡介
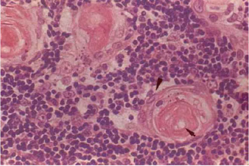
哈塞爾氏小體(胸腺小體)

當胸腺發育不全 又稱迪喬治氏綜合徵,咽囊綜合徵。1965年由迪喬治描述。由於胚胎早期(6~8周)、
、
咽囊衍化而來的上皮性胚基發育障礙,導致胸腺及鄰近的甲狀旁腺缺損或發育不全。胸腺完全缺如或僅遺留很小的纖維化組織,胸腺小葉皮、髓質分界消失,無哈塞爾氏小體。淋巴結、脾臟胸腺依賴區淋巴細胞極少或缺如。淋巴結非胸腺依賴區、骨髓中漿細胞數量明顯增加。臨床表現為:細胞免疫能力低下,對黴菌、病毒(風疹、水痘、巨細胞病毒等)易感染,由於抗感染能力低下,患兒發育遲緩,生活能力差,常患呼吸道感染、肺炎、腸炎、消化不良等。
根據典型臨床表現、實驗室檢查、胸部X射線檢查可以確診。組織學上應與繼發性胸腺萎縮相鑑別。後者無論胸腺萎縮到何種程度,鏡下仍可見到哈塞爾氏小體,病因去除後,胸腺改變常可逆.
治療方法
治療可行手術切除,若有包膜外侵犯,術後應加用放療。胸腺瘤對化療不敏感。惡性胸腺瘤多以局部浸潤為主,少有遠處轉移。其5年生存率>50%。
胸腺的其他腫瘤還有胸腺脂肪瘤、神經內分泌細胞瘤(其中50%產生ACTH樣物質)、惡性淋巴瘤、精原細胞瘤、畸胎瘤、卵黃囊瘤等。
