概述
原發性骨淋巴瘤流行病學: 男性的發病率略大於女性,男女之比為1.6∶1平均發病年齡為46歲左右。本病在歐美較多見,中國少見,近年來開始有報導。
發病機制
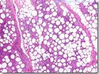
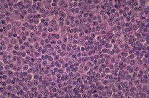
原發性骨淋巴瘤據研究在12例病例中所有的腫瘤細胞的表型均為CD45 和CD20 8例為單克隆免疫球蛋白(6例IgG2例IgM;7例κ和1例λ)。另一項免疫表型的研究表明,瀰漫性大無裂細胞性淋巴瘤細胞和成熟B細胞抗原的反應是陽性,即免疫表型為CD19 CD20 ,CD22 ,κ 或λ ,CD5-,CD10-CD1-,CD2-,CD3-CD4-,CD7-,CD8-在大規模Mayo的臨床研究中,75%的原發性骨淋巴瘤是中度惡性(瀰漫性混合或大細胞性淋巴瘤),其餘均為低度或高度惡性腫瘤在另一研究中,27例病例中有21例為瀰漫性大細胞性淋巴瘤。
因此原發性骨淋巴瘤的病理類型為B細胞型,並多為瀰漫性大細胞性但由於PLB的發病率較低,各項統計資料的數量較少仍需要進一步的研究。
臨床表現
原發性骨淋巴瘤骨痛為最多見的臨床表現大部分的患者僅有骨骼系統的浸潤而表現為單純的骨痛約1/3的病人有2處或2處以上的病變1/3的病人只有1處病變部分病人既表現為骨痛同時又有局部軟組織的腫脹和疼痛還有一小部分的病人先有局部軟組織的改變,後才有骨骼的病變。
長骨是病變最常見的部位最多發的部位為股骨,髂骨,脊椎骨,上頜骨肋骨,下頜骨等。
併發症: 最常見的併發症為骨折骨折可以因為疾病本身,也可是放療的副作用或化療後骨骼血管壞死等原因引起。
診斷
原發性骨淋巴瘤鑑別診斷主要包括下列疾病:
1.其他骨骼系統原發性腫瘤 如骨肉瘤,尤文肉瘤,骨樣骨瘤等,一般均有其特徵性X線表現如蔥皮樣改變等,但明確診斷均須病理活檢。
2.轉移性骨腫瘤 一般有原發性疾病,且病變多為多發性病灶原發灶多為乳腺癌,前列腺癌,肺癌等。鑑別較易。
檢查
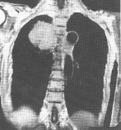
原發性骨淋巴瘤原發性骨淋巴瘤的實驗室檢查是影像學檢查,包括CTMRI,核素掃描等而其他檢查一般無特殊變化除非在疾病的晚期腫瘤的進一步的擴散或各種併發症造成血液系統骨髓象神經系統等的改變。
1.X線檢查 原發性骨淋巴瘤的X線表現多為溶骨性,“蟲噬樣”改變,在正常骨骼組織和病變組織之間有明顯的分界限,部分病人有骨皮質的破壞和缺損,但較少有骨膜反應還有部分病人表現為骨分離,即骨組織的正常部分與病變部分分離亦可表現為病理性骨折。
2.核素掃描 Te核素掃描可以發現病變區域密度降低周邊區域密度增高。Ga核素掃描顯示與之相反病變區域密度增高而周邊降低。
3.MRI 骨骼系統的病變為破骨性溶骨性、部分溶骨和部分硬化性及骨皮質的改變等多種表現。MRI對於原發性骨淋巴瘤的診斷敏感性較高,能發現其他檢查陰性的原發性骨淋巴瘤。同時它能發現周圍結締組織的病變。

其它輔助檢查: 1.骨活檢 對PLB的活檢可以通過細針穿刺和手術活檢兩種方法。因為人為的大量擠壓破壞,造成細針穿刺較易失敗所以多採用手術活檢。在手術活檢前,醫生應已懷疑PLB的診斷以便明確活檢的部位及數量,以避免盲目手術活檢而造成手術的失敗,須再次手術,加重病人的痛苦。
2.根據臨床表現症狀體徵可選擇做心電圖、B超、血尿糞常規、生化及血沉等檢查。
相關檢查: 凝固時間測定
治療
症狀放射治療是指利用放射線對腫瘤及周圍組織進行照射以達到殺傷腫瘤細胞臨床緩解的治療方法。多項研究表明放療對於原發性骨淋巴瘤有一定的療效。運用放療治療後,僅有單個骨骼病變的病人的5年生存率為58%,10年生存率為53%;多處骨骼病變的病人的5年和10年生存率分別為42%35%;合併有軟組織病變的5年和10年生存率為22%13%由此可見MRI對於原發性骨淋巴瘤的治療效果的判斷有一定的幫助。據多項實驗表明,放療的劑量,放療的療程安排對於原發性骨淋巴瘤的療效有一定的影響如大劑量,多次放療的臨床緩解率略高。但是,臨床多項實驗研究顯示放療後仍有較多患者復發,或有全身轉移緩解率僅50%左右而化療在全身性淋巴瘤病人的廣泛運用使得部分學者運用化療治療原發性骨淋巴瘤並也獲得了一定的成功經驗。
bacci報導,對於30例PLB病人首先運用放療,(3000~4500cGy)的劑量,在放療後26例病人進行化療(1~2個療程的包括蒽環類的藥物)。結果發現,4例僅進行放療的患者中,1例在8年後復發,26例中有3例復發平均緩解率為88%,生存期為87個月Susnerwala研究表明27例患者中,25例病人運用化療(18例為環磷醯胺長春新鹼、潑尼松(強的松)7例為前者再加用柔紅黴素)大部分病人接受了6個療程的化療,持續約8~12個月,25例病人在化療後,接受了放療在60個月的緩解率為56%。Fairbanks等報導63例患有原發性骨淋巴瘤的病人中50例接受放療,10例接受化療和放療2例接受化療,1例接受手術治療結果為化療和放療的緩解率為90%放療為57%所以部分學者認為化療和放療的聯合治療對於病人的緩解率高於單種治療方案但是,這些臨床研究的工作都不是對PLB的專一性的治療方案的比較所以各項結果僅提供臨床參考。儘管如此,局限性PLB的治療效果較好對於早期PLB的病人,運用蒽環類藥物方案的敏感性及長期生存率均較好。Tondini報導對於1期和2期的中度和高度PLB,運用包含環磷醯胺。長春新鹼、柔紅黴素潑尼松(強的松)(CHOP)的化療方案,並在化療後運用放療緩解率可達83%,5年內無復發化療和放療的聯合治療的作用有待於進一步的研究。
本病最常見的治療併發症為骨折骨折可以是因為疾病本身或放療的副作用化療後骨骼血管壞死等原因引起。在一項研究中32例病人接受化療和放療治療7例有骨折但是,放療的劑量(≥5000cGy)並沒有增加骨折的發生率。
預後
原發性骨淋巴瘤的預後主要與淋巴瘤的組織類型病變範圍年齡等因素有關。有裂細胞性的預後較好無裂細胞性播散性或多發性的預後最差。單發性病灶的預後較多發性,或伴有軟組織的病變的PLB好此外年齡乳酸脫氫酶,ECOG指數等均可對預後進行一定的評價和估計。
