內臟逆位也就是說,在原則上,左右對稱的動物一般是單個器官在正中線上,成對器官在正中線兩側形成鏡象關係,但是也可見到象人的心臟位置偏左,肺也左右形狀不同等等的不對稱狀態。
心臟
肺
病變的肺
內臟位 situs viscerum 指內臟相互間的位置關係而言。外形對稱的動物,相應的內臟也多呈對稱關係,但是內臟也有不少或多或少地失掉了對稱關係的。
內臟逆位也就是說,在原則上,左右對稱的動物一般是單個器官在正中線上,成對器官在正中線兩側形成鏡象關係,但是也可見到象人的心臟位置偏左,肺也左右形狀不同等等的不對稱狀態。
心臟
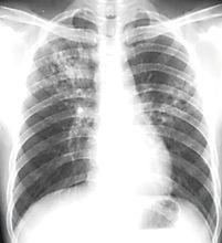
肺
病變的肺內臟反位是一種少見的先天性畸形,有全內臟反位和部分內臟反位兩種類型。
內臟倒位,某一個體,其內臟與正常的不對稱的排列相反,表現了呈鏡相關係排列的現象,稱內臟倒位。
名詞解釋 實驗證明 相關條目內臟動脈慢性閉塞(chronic obliteration of splanchnic artery)別名:腸絞痛。胃腸道的營養動脈主要是腹腔動脈腸系膜...
流行病學 病因 發病機制 臨床表現 診斷內臟位於體腔內但直接或間接與體外相通的器官總稱,包括消化、呼吸、泌尿和生殖四個系統。按其形態結構,分為管腔性器官和實質性器官兩大類。管腔性器官都有管道與...
分類 所含脂肪 損傷 調理內臟時間 血管供給內臟損傷,是指內臟各個部分受到損傷,主要包括:氣管損傷、氣胸、心臟損傷、胃部損傷、肝臟損傷、膽囊穿孔、脾臟損傷、腸道穿孔、腎臟損傷、膀胱損傷。
氣管損傷 心臟損傷 胃部損傷 肝臟損傷 膽囊穿孔總是覺得累,駝背含胸形象差,怎么辦?硬派健身太累太麻煩,拉伸拉筋效果不明顯。日本最難預約整體師,25年經驗總結,每天3分鐘,伸展3個部位,12個小動作,...
內容推薦 作者簡介 目錄yáo [名] (1) 《周易》中組成卦的符號。 “—”為陽爻,“--”為陰爻。每三爻合成一卦,可得八卦;兩卦(六爻)相重則得六十四卦,稱為別卦。爻含有...
基本概況 爻位的代表含義 爻位詳解 爻位的一些用法正常原始心管的彎曲突向右側,故名右翼(D-Loop),使右心室位於右側靠前,而左心室位於左側靠後。如在發育過程中心管彎曲不是向右而是向左,即稱左襻(L-...
病因 臨床表現 檢查 診斷 治療