光毒性皮炎

光毒性皮炎

光毒性皮炎屬於光敏感性疾病。在皮膚組織中的光感物質,又稱色基。

光毒性皮炎瘀斑
光毒性皮炎屬於光敏感性疾病。在皮膚組織中的光感物質,又稱色基,能吸收比正常組織多的紫外線的能量,些能量很快即轉移到細胞部位,通過光化學作用,產生單態氧O-2,氫氧根OH-,並使細胞膜上的蛋白質、脂肪酸,細胞核中的DNA,以及細胞漿中的溶酶體發生變化,引起毒性反應。光敏性和光毒性接觸性皮炎可在局部套用某些化學物質再經光線照射後才會發生,這些化學物質(光毒劑)充當光敏物使皮膚對光照產生過度反應。常引起光敏性接觸性皮炎的物質有須後液,防曬霜和外用磺胺藥。香水煤焦油,補骨脂素和製造過程中使用的各種油劑常可引起光毒性接觸性皮炎。

全身給藥引起光敏反應時,必須區分是光過敏性還是光毒性接觸性皮炎。

病因病理病機

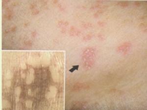
光毒性皮炎丘疹
光毒性反應是一種非免疫性的反應,它是由光能直接作用於皮膚所引起的。任何個體只要在皮膚記憶體在著某種光敏物或色基,再經過適當波長(UVB)和時間的光照後既可發生反應。暴露部位呈曬斑反應:紅斑、水腫甚或水皰、大皰,繼之脫屑,色素沉著。一般發病急,病程短,消退快。病變主要在表皮。此時光敏物到達皮膚後由於光動力作用而發生能量傳遞,產生了光化學反應所致。長期反覆的光動力學進展過程也可表現為慢性光毒性反應,可影響到真皮的彈力纖維和血管壁。主要有接觸性皮炎,植物日光性皮炎,瑞爾黑便病等。

接觸性皮炎

光毒性皮炎光毒性皮炎
光感物質通過外界接觸,進入皮膚而引起的光感皮炎稱為光毒性接觸性皮炎,如瀝青皮炎,某些化妝品皮炎等。皮疹在日曬後數小時發生,表現為紅斑丘疹,主感癢或灼痛。重者出現紅腫、水皰或大皰。發病部位與接觸外界物質及日曬部位相一致。本病經治療後數天即能消退。如再次接觸光感物質仍可再次由紫外光線激發皮炎。有極少數雖然已避開光感物質,但皮炎仍可持續數年。這可能是由於光感物質不易排出體外,長期存留於皮膚內;也可能是皮膚中的蛋白物質經日光照射產生了抗原性的緣故。

植物日光性皮炎

光毒性皮炎水皰
是由於服食某種光感性植物或接觸某種植物,並經過日曬後發生的急性皮炎。引起本病的植物有灰菜、莧菜等,常在一家庭內同時發病,因此可能為光毒性皮炎。發病急,日曬後數小時即可發病。在暴露部位,如面部、手背、前臂等處出現瀰漫性紅斑或水腫,有瘀斑、丘疹水皰等,水皰易破裂流水,形成糜爛面。水腫重時雙眼瞼閉合,不能睜開。主感燒灼、脹痛、麻木,常有全身不適,噁心、嘔吐發熱頭痛。病程1~3周。血常規檢查示白細胞總數增多,嗜酸粒細胞數增多,可出現尿蛋白

診斷
可根據以下幾點進行診斷:①發病前有接觸光感物質或服食過有光感的蔬菜史;②有日光暴曬史,如田間勞動、海濱游泳、野外旅行等;③皮疹發生在暴露部位,多見於春夏季節;④皮疹為紅斑、丘疹或紅腫、瘀斑等,主感灼熱。

瑞爾黑變病

認為光敏感及機械性刺激發生敏感而引起。含有焦油衍化物的化妝品而造成光敏感,營養不良也可能致病。

診斷及症狀

光毒性皮炎灰菜
本病開始皮膚輕度瘙癢,紅斑以後發生色素沉著,色素斑邊界不清,色素由淺而深逐漸播散呈淡褐色、灰褐色、褐色、深褐色。色素沉著處有輕度充血,毛細血管擴張、皮損,表面有瀰漫細薄的鱗屑,像撒了一層麵粉。皮膚可有輕度萎縮及毛囊過度角化現象,黏膜無變化。

主要發病部位:在前額顴骨前、耳後及頸部兩側,面部中央很少受累。有時也發生於磨擦部位,如腋下、臍窩、前臂胸部、手指背面、頭皮近髮際部位,色較淺。慢性經過,損害發展到一定程度不再變化。以後色素斑逐漸變淺,角化過度逐漸消失。會自然痊癒。

治療

光毒性皮炎莧菜
避免服用光感性藥物及擦含焦油衍生物的化妝品減少對皮膚的機械性刺激。 維生素的套用,如維生素A、B及C,尤以維生素C更為重要。每日1~3g或維生素C2G每日靜注。也可口服維生素E或1%維生素E霜外用以改善皮膚營養。

脫色劑外用3%~5%氫醌霜更為有效。但須注意避免過分套用,退色不勻的特點。
相關連結

http://www.39kf.com/treatment/Disease/Skin-disease/2006-07-24-222191.shtml

http://jbk.39.net/keshi/pifu/pifubing/4e03f.html

http://www.wrqpfk.com/show.asp?lb=8&id=58

相關詞條

相關搜尋

熱門詞條

聯絡我們