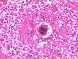
假結核結節(pseudotubercle):是血吸蟲病中蟲卵引起的病變。急性蟲卵結節是由成熟蟲卵引起的一種急性壞死、滲出性病灶。急性蟲卵結節經10天后,卵內毛蚴死亡,蟲卵及壞死物質被清除、吸收或鈣化,病灶內巨噬細胞衍變為上皮樣細胞和異物多核巨細胞,形成與結核結節類似的肉芽腫,稱為假結核結節,即慢性蟲卵結節。
相關詞條
-
食管結核
食管結核(esophageal tuberculosis) 在臨床極為少見。疾病分類:消化內科。以嘔血為首發症狀,一般而言,食管結核病情較輕者臨床可無症...
疾病描述 症狀體徵 疾病病因 病理生理 診斷檢查 -
結核分歧桿菌
結核分歧桿菌(M.tuberculosis),俗稱結核桿菌、結核分枝桿菌,是引起結核病的病原菌。可侵犯全身各器官,但以肺結核為最多見。結核病為重要的傳染...
研究歷史 生物學性狀 實驗室診斷 防治原則 -
結核分枝桿菌
結核分枝桿菌(M.tuberculosis),俗稱結核桿菌,是引起結核病的病原菌。可侵犯全身各器官,但以肺結核為最多見。結核病至今仍為重要的傳染病。據W...
研究歷史 生物學性狀 致病性 免疫性 實驗室診斷 -
皮膚結核
皮膚結核(cutaneous tuberculosis)是由結核分枝桿菌直接侵犯皮膚或者由其它臟器結核灶內的結核分枝桿菌經血行或淋巴系統播散到皮膚組織所...
臨床表現 實驗室檢查 疾病治療 疾病預防 -
咽結核
咽結核是由結核菌引起的慢性全身性傳染病。各個器官可受累及,但以肺結核最為多見。咽結核多為肺結核病人痰中結核桿菌接觸損傷的咽部黏膜而發病,或由喉結核向上蔓...
疾病名稱 疾病分類 疾病概述 疾病描述 症狀體徵 -
孤立性肺結節
孤立性肺結節是指單一的、邊界清楚的、影像不透明的、直徑小於或等於30mm、周圍為含氣肺組織所包繞的病變,沒有肺不張、肺門增大或胸腔積液表現的肺部結節。
病因 臨床表現 檢查 診斷 治療 -
假結核病
假結核病是由假結核棒狀桿菌感染而引起羊的一種化膿性淋巴結炎,由於眼觀上與結核病結節相似,故稱假(偽)結核病。有時膿腫也見於肺、肝、脾和子宮角等臟器,因膿...
病原 流行現象 發病機理 病徵 病理變化 -
咽部結核
咽部病(tubtroulosis)是由結核菌引起的慢性全身性傳染病。各個器官可受累及,但以肺結核最為多見。咽結核多為肺結核病人痰中結核桿菌接觸損傷的咽部...
【診斷】 【治療措施】 【臨床表現】

