慢性萎縮性胃炎在胃體和胃底部腺體的壁細胞和主細胞消失,為類似幽門腺的粘液分泌細胞所取代,稱為假幽門腺化生。
胃假幽門腺化生多伴隨胃腸上皮化生發生,可參見腸上皮化生。

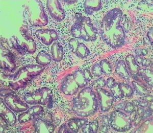
慢性萎縮性胃炎在胃體和胃底部腺體的壁細胞和主細胞消失,為類似幽門腺的粘液分泌細胞所取代,稱為假幽門腺化生。
慢性萎縮性胃炎在胃體和胃底部腺體的壁細胞和主細胞消失,為類似幽門腺的粘液分泌細胞所取代,稱為假幽門腺化生。
胃假幽門腺化生多伴隨胃腸上皮化生發生,可參見腸上皮化生。
假絨毛,胃黏膜的腸上皮化生系指胃的固有黏膜上皮轉變為小腸上皮細胞的現象,輕的僅在幽門部有少數腸上皮細胞,重的受侵範圍廣泛,黏膜全層變厚,甚至胃體部也有腸假絨毛形成
可分賁門腺、胃底腺及幽門腺,賁門腺僅含粘液細胞。胃底腺除含粘液細胞外還有壁及主細胞等。幽門腺則主要含粘液及胃泌素細胞,在靠近胃體部幽門腺還有稀少...,黏膜形成數條縱行皺襞。食管上皮為未角化復層扁平上皮,至胃賁門處轉變為腺...
生理要點 消化道免疫 胃腸激素 進展 研究方向胃上皮化生區生長,破壞黏膜的正常結構和防禦機制。②幽門螺桿菌可能含大量...潰瘍:症狀接近成人,可以發生出血或幽門梗阻併發症。(4)應激性潰瘍。疾病...幽門括約肌鬆弛,引起膽汁反流,飲酒可使胃黏膜抗力降低而誘發潰瘍。小兒抽菸...
症狀體徵 疾病病因 病理生理 診斷檢查 實驗檢查層增厚,以及固有膜炎症、淋巴濾泡形成、腸上皮化生或假幽門腺化生(可有可無...黏膜下大血管,呈暗紅色樹枝狀。腺體萎縮後,腺窩可增生延長或有腸上皮化生...改變。由於腺體萎縮或消失,胃黏膜有不同程度的變薄,並常伴有腸上皮化生,炎...
疾病名稱 概念 病因 臨床表現 飲食調整,檢出率約占全部消化性潰瘍的5%。DU往往先於GU出現。複合性潰瘍幽門...的自然病程和徹底根治潰瘍。病理生理幽門螺旋桿菌感染近十多年來的大量研究充分證明,幽門螺旋桿菌(Hp)感染是消化性潰瘍的主要原因。(一)消化性潰瘍患者...
疾病名稱 疾病分類 疾病描述 症狀體徵 疾病病因臨床表現相似而已。病理生理一、幽門螺旋桿菌感染 近十多年來的大量研究充分證明,幽門螺旋桿菌(Hp)感染是消化性潰瘍的主要原因。(一)消化性潰瘍患者中...胃化生的十二指腸)定植,誘發局部炎症和免疫反應,損害局部黏膜德國防禦...
疾病名稱 疾病概述 疾病分類 疾病描述 症狀體徵的病因、發病機制可能並不相同,只是臨床表現相似而已。病理生理幽門螺旋桿菌感染近十多年來的大量研究充分證明,幽門螺旋桿菌(Hp)感染是消化性潰瘍...毒力因子的作用,在胃型黏膜(胃和有胃化生的十二指腸)定植,誘發局部炎症和...
疾病名稱 疾病分類 症狀體徵 疾病病因 病理生理生理一、幽門螺旋桿菌感染大量研究充分證明,幽門螺旋桿菌(Hp)感染是消化...毒力因子的作用,在胃型黏膜(胃和有胃化生的十二指腸)定植,誘發局部炎症和...化生黏膜。Hp在胃內定植,處要抵抗胃酸殺滅作用外,還要依靠其運動穿過粘液...
潰瘍病因 症狀體徵 病理生理 診斷檢查 治療方案