概 述
仔豬排泄的白色稀糞仔豬白痢(Whitescourofpiglets)由大腸桿菌引起的10~30日齡以內仔豬的常發疾病。臨診症狀以下痢、排出灰白色粥狀糞便為特徵。在剖檢上主要為卡他性胃腸炎變化。仔豬白痢一般是指主要由大腸桿菌引起的,所以又叫仔豬大腸桿菌病。實際觀察中,以一些非細菌性的原因,亦能引起仔豬白痢,這兩者互相聯繫互相影響。
細菌性原因:主要是由血清型O8:K88的大腸桿菌引起,066、O115、O141,0149,0149、O2、O45血清型次之。有的地方與引起仔豬黃痢、豬水腫病的血清型相同。有的地方還有另外一些血清型的大腸桿菌引起。
其他原因:仔豬白痢的發生,除了上述大腸桿菌外,還與日齡、免疫狀態、生理機能、飼養管理及多種應激因素造成的消化機能紊亂有關。在多種不利因素影響下,仔豬消化道食物分解不全的產物或由於發酵產生低級脂肪酸,刺激腸蠕動加快而引起下瀉;病豬消化道機能紊亂,腸道菌群失調,內環境遭到破壞,有害細菌迅速增殖,引起腸道炎症,促使腸黏膜大量分泌,加重腹瀉過程。仔豬白痢在中國各地豬場均有不同程度的發生,能引起病豬死亡及影響生長發育,對養豬業的發展有相當大的影響。
病 原
脫水嚴重,腸管全部失去彈性,腸壁菲薄,呈貧血狀,腸管內容物多,從水樣性到泡沫狀大腸埃希氏桿菌(E.coli)是中等大小(0.4~O.7µm×2~3µm)、兩端鈍圓的桿菌,散在或成對,不產生芽孢,約50%的細菌具有周身鞭毛,能運動,部分菌株有莢膜,革蘭氏染色陰性。大腸桿菌為需氧或兼性厭氧菌,最適生長溫度為37℃,最適pH為7.2~7.4。在普通培養基上生長良好,長出隆起、光滑、濕潤的乳白色圓形菌落;在麥康凱和遠藤氏培養基上形成紅色菌落;在伊紅美藍瓊脂上形成帶金屬光澤的黑色菌落。在SS瓊脂培養基上生長不良或不生長。致仔豬黃痢或水腫病菌株在綿羊血液瓊脂培養基上呈β溶血。
所有的菌株能迅速分解包括葡萄糖、乳糖等多種碳水化合物,產酸產氣。還原硝酸鹽,產生靛基質,不產生硫化氫。MR試驗陽性,VP試驗陰性,不液化明膠,不分解尿素,不利用檸檬酸鹽。某些血清型大腸桿菌還有其特殊的生化反應。
大腸桿菌的抗原結構和血清型較為複雜,根據菌體抗原(O)、鞭毛抗原(H)及莢膜抗原(K)的不同,構成不同的血清型。現已知O抗原有173種,H抗原64種,K抗原103種。血清型用O:K:H表示,如08:K25:H9,08:K88,0166:H27等。
根據大腸桿菌對人畜致病性不同,分為:
①腸產毒素大腸桿菌,藉助於菌毛的附著因子,黏附於小腸黏膜表面生長繁殖,產生耐熱和不耐熱腸毒素,引起腸炎和腹瀉;
②腸致病性大腸桿菌,不產生腸毒素,是引起嬰兒腹瀉的病原,病原黏附在小腸腸壁細胞表面引起腹瀉;
③侵襲性大腸桿菌,不產生腸毒素,能侵襲大腸上皮細胞,引起炎症和潰瘍,發生腹瀉和血便。
④腸出血性大腸桿菌,是近年新發現的大腸桿菌,主要引起人出血性血便,其主型為O157:H7。
大腸桿菌廣泛存在於自然界,在潮濕、陰暗溫暖環境中,能存活1個月;在寒冷乾燥環境中存活時間更長;在水和土壤中可存活數月之久。60℃加熱15min可殺死,獸醫實際中常用的消毒藥液和常用濃度作用下,短時間可被殺死。
流行病學
仔豬白痢腸道病變特徵大腸桿菌廣泛地存在於養豬環境中,如被糞便污染的地面、水源、飼料及其他物品中,經消化道吃進本菌,如在出生後很短時間內隨著吸吮母奶而吃進去。在正常條件下,這種腸道常在菌不表現致病作用,但在仔豬抵抗力減弱或消化機能障礙時,便可引起仔豬發病、下痢,以至敗血症而死亡。有的窩仔豬發病,有的窩發病少或不發病;同一窩仔豬發病也有先後,有輕有重,也有不發病者。
本病一年四季都可發生,但一般以嚴冬、早春及炎熱季節發病較多。本病的發生與仔豬日齡有關,主要發生於10~30日齡仔豬,以10~20日齡仔豬發病最多,7日齡以內或30日齡以上發病的較少。母豬的飼養管理和豬舍衛生等多方面的各種不良的應激,都是促進本病發生的重要原因,並可影響病情的輕重和能否痊癒。
臨床症狀
仔豬白痢腸道顯微結構病豬主要發生下痢,糞便為白色、灰白色或黃白色,粥樣、糊狀,有腥臭味。有時糞便中混有氣泡。病豬體溫一般不升高,精神尚好,到處跑動,有食慾。及時採取防治措施後常可治癒。如不及時採取處治措施,下痢可逐漸加劇,肛門周圍、尾及後肢常被稀糞沾污,仔豬精神委頓、食慾廢絕、消瘦、走路不穩、寒戰,喜鑽臥墊料或擠壓成堆。如並發肺炎則有咳嗽和呼吸加快。若治療不及時或治療不當,常經5~6天死亡。也有病期延長到2~3周以上的。病程較長而恢復的仔豬生長發育緩慢,甚至成為僵豬。總的說來,如能改善飼養管理,及時進行治療,預後是良好的。
病理變化
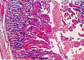
仔豬白痢死豬胃黏膜潮紅腫脹,以幽門部最明顯,上附黏液,胃內充有凝乳塊,少數嚴重病例胃黏膜有出血點。腸黏膜潮紅,腸內容物呈黃白色,稀粥狀,有酸臭味,有的腸管空虛或充滿氣體,腸壁菲薄而透明。嚴重病例黏膜有出血點及部分黏膜表面脫落。腸系膜淋巴結腫大。肝和膽囊稍腫大。心冠狀溝脂肪膠樣浸潤,心肌柔軟。腎臟呈蒼白色。病程久者可見肺炎病變。
診斷鑑別
仔豬白痢腸道病變根據本病發生特點、症狀、病理變化及結合飼養管理和衛生條件分析,容易做出診斷。流行病學特點:仔豬白痢大多發生在母豬飼養管理和衛生條件不良的養豬場,以10~20日齡的小豬發病最多,一窩仔豬中陸續發生或同時發生;一年四季均可發生,但在嚴冬及炎熱季節發生較多;每當氣候突然變壞時,發病數顯著增多。臨診症狀的特徵是排出白色、灰白色的粥狀糞便,有腥臭味。病理剖檢變化是胃腸卡他性炎症。必要時,需做細菌學檢查時。
防治措施
治療
仔豬白痢發現仔豬白痢後,要及時進行治療,不論採用何種治療方法,只有在早療和改善飼養管理的前提下,才能獲得良好的效果。治療仔白痢的方法和藥物種類很多,一般大多是抑菌、收斂及促進消化的藥物。由於養豬單位的環境衛生及飼養管理不同,以及病仔豬的日齡大小和發病時氣候等條件不同,各種藥物的療效也不一致。就是同一藥物,在不同的兩個豬場治療的效果也不相同。對於單純由於過熱、受冷感冒而誘發的下痢,或輕微的消化不良性下痢,若及時發現,改善飼養管理,用收斂藥物稍加治療或不用藥物治療,改善飼養條件,便可恢復健康。如為細菌性下痢,則須套用殺菌、抑菌的藥物,才能有良好的療效。
(1)白龍散白頭翁2份,龍膽粉1份,混勻,每日1次,每次lO~15g,連服2~3天。
(2)大蒜500g、甘草120g,切碎後加白酒500mL,浸泡5~7天。取原液1mL加水4mL灌服,每日2次。
(3)金銀花大蒜液取金銀花lOOg,加水800~1000mL,煮沸至300mL左右時,用紗布過濾、去渣,濾液再加熱濃縮為lOOmL。另取大蒜lOg,搗碎,加水lOOmL,浸泡2~3h後過濾,去渣。取2份金銀花濃縮液和1份大蒜浸出液混合,體重3.5~7.5kg小豬,每次灌服15~20mL;7.5~15kg小豬,每次灌服20~30mL,每日2次,一般2天可治癒。
(4)促菌生或調痢生(8501)這是近些年來使用的微生態活菌製劑,主要調整病仔豬腸道內環境和菌群失調,連用2~3日,有較好療效。請按說明書的要求套用。
(5)鏈黴素1g、胃蛋白酶3g,混勻,5頭小豬一次分服,每日2次。
仔豬白痢剖解變化(6)磺胺脒15g、次硝酸鉍15g、胃蛋白酶lOg、龍膽末15g,加澱粉和水適量,調勻,供15頭小豬上、下午各服1次。
(7)磺胺脒0.5g、蘇打0.5g、乳酸鈣0.5g,加澱粉和水適量,調勻,一次口服。
(8)土黴素或金黴素糖粉,每次0.2~0.4g,每日2次。
(9)0.2%亞硒酸鈉溶液肌肉注射,體重2.5kg以下為1mL,2.5~5kg豬為1~1.5mL,7.5kg以上豬為2mL。這對缺硒地區母豬所產仔豬發病,有較好的防治效果。
(10)硫酸亞鐵2.5g、硫酸銅1g、氯化鈷1g,溶於1000mL水中,在母豬餵奶前,塗於乳頭上,讓仔豬舔服;稍大時可拌入飼料中餵飼。對貧血性下痢有一定效果。
(11)喹諾酮類藥物也可用於治療。
防制措施
仔豬白痢本病的防治,必須採取綜合性的措施,積極改善飼養管理及衛生條件,做好經常性的工作是預防本病的關鍵。
(1)加強妊娠母豬和哺乳母豬的飼養管理,防止過肥或過瘦母豬飼養管理的好壞,直接影響到仔豬的健康狀況,要選種選配,避免近親繁殖,老弱或母性不良的母豬不宜作種用。根據母豬不同,合理調配飼料,使母豬在懷孕期及產後有較好的營養,保持泌乳量的平衡,防止乳汁過濃或過稀。
(2)做好產仔母豬產前產後的護理工作母豬產仔前,將圈舍(產圈)打掃乾淨,徹底消毒,或用火焰噴燈消毒鐵架和地面。母豬乳房用消毒液或溫水洗淨、擦乾。陰門及腹部亦應擦洗乾淨。
(3)做好仔豬的飼養管理。提早補料,並抓好補料工作。
(4)儘量減少或防止各種應激因素的發生。
(5)改善豬舍的環境衛生及時清除糞便,豬舍地面經常保持清潔、乾燥;做好防寒保暖或防暑工作;食槽、飲水槽經常刷洗,保持清淨。
(6)藥物預防在出生仔豬沒吃初乳前,給仔豬餵服助消化、抗菌等藥物預防。
(7)用本場仔豬腹瀉病例分離的菌株,經分離、鑑定後,製成菌苗用於預防,常可收到較好效果。
治療處方
仔豬白痢治療處方1:葡萄糖67.53%,氯化鈉14.34%,甘氨酸10.3%,枸櫞酸鈉0.18%,枸櫞酸鉀0.21%,磷酸二氫鉀6.8%,稱取上述製劑64G,加水2000ml.,配成等滲溶液,餵藥前停乳2日,每日餵2次,每次1000ml.。
治療處方2:多聚甲醛,拌料餵服,治療禽的大腸桿菌病。
治療處方3:硫酸黃連素注射液5ml,肌內注射,每日2次。
治療處方4:穿心蓮注射液5ml.,肌內注射,每日2次。
治療處方5:新潔爾滅溶液0.1ml/kg體重。將新潔爾滅溶液(市售含量為5%濃度)加2-3倍的常水稀釋後灌服,每日2次,連用1-4次。(註:少數豬服藥後有嘔吐症狀,一般經4-5次嘔吐後即停止,嘔吐豬經休息20分鐘後再灌藥,不再出現嘔吐)
治療處方6:促菌生(又稱DM423活菌製劑,每片0.25g,含活菌1億-3億),0.5-1片/kg體重。每日1次內服,連服3-5日。
治療處方7:0.5%痢菌淨,0.5ml/kg體重,內服,第1日2次,間隔6小時以上,以後每日1次,共用藥4次。
治療處方8:磺胺脒0.5g,次硝酸鉍0.5g,胃蛋白酶1片,龍膽末0.5g,澱粉適量。加水適量做成丸劑或舔劑內服,每日4次。
治療處方9:磺胺脒、乳酸鈣、小蘇打各0.5g,澱粉適量。做成丸劑或舔劑,內服,每日2次。
治療處方10:複方新諾明,20-25mg/kg體重,內服,每日2次。
治療處方11:痢特靈(呋喃唑酮),20-25mg/kg體重,每日分3次內服。
治療處方12:鹽酸土黴素,20-25mg/kg體重,每日分2-3次內服。
治療處方13:鹽酸四環素,20-25mg/kg體重,每日分2-3次內服。
治療處方14:強力黴素,2-5mg/kg體重,內服,每日1次。
治療處方15:氯黴素,10-30mg/kg體重,肌內注射,每日2次。
治療處方16:硫酸慶大黴素,5mg/kg體重,肌內注射,每日2-3次。
治療處方17:硫酸新黴素,5-10mg/kg體重,肌內注射,每日2次。
治療處方18:氯黴素、土黴素,按10kg體重各用1片,餵服,即愈。
治療處方19:磺胺脒1份,鞣酸蛋白2份,藥用炭末3份,酵母2份。混合調成糊狀,每頭豬每次服2-3,日服2次。
治療處方20:次硝酸鉍2份,磺胺脒工份,小蘇打1份。混合,每日每頭2-3次,每次2-3g,灌服。
治療處方21:磺胺胍1-2g,將藥與水調成糊狀,每日分2-3次服完。
治療處方22:土黴素1g,加少許糖溶於60ml水中,每次3ml,1日2次,口服。
治療處方23:鹽酸黃連素2ml,交巢穴注射,每日1次,連用3日。
治療處方24:50%葡萄糖注射液10ml,每日腹腔注射1次,連用2日。
治療處方25:制菌磺片,首次量每kg體重服100mg,維持量每kg體重服70mg,每日服1次。
治療處方26:氯化鉀2.5g,口服葡萄糖3.75g,氯黴素注射液4ml。溶於100ml生理鹽水中,每kg體重腹腔注射2ml,每日1次,連用數日。
治療處方27:亞硒酸鈉,用生理鹽水配成0.1%注射液,仔豬生後5日肌內注射1ml。
治療處方28:樟腦酊3份,馬錢子酊1份,陳皮酊1份混合。體重4kg以下仔豬服3ml,4kg以上服4-5ml。
治療處方29:白頭翁末2份,龍膽末1份。將兩藥混勻,每頭每次9g,每日1次,連服2-3日。
治療處方30:蒼朮3份,雄黃0.3份,吳茱萸6份,茶麩炭4.5份。將茶麩煅做成炭,蒼朮、吳茉英分別研成末,再與雄黃混合均勻,每頭每次15g,日服2次,連服1-4日。
治療處方31:山楂、麥芽、神曲、枳殼、陳皮、火麻仁、白頭翁、龍膽各16g。煎水餵母豬,連服4-5日。
治療處方32:黃連100g,苦參200g,白頭翁160g,白鬍椒40g。將上藥物焙焦研末混勻,每日2次餵母豬,每次5-10g。
治療處方33:理中湯加味:附子5g,高良姜10g,肉桂10g,白朮10g,黨參10g,扁豆20g,陳皮10g,神曲15g,茯苓15g,甘草5g,木香10g。共研細末,能吃食的摻飼料喂,不能吃食的摻入奶粉用奶瓶喂,5kg重小豬,每日餵3次,每次餵5-10g。
治療處方34:參苓白朮散加減:黨參10g,茯苓10g,白朮15g,扁豆15g,肉豆蔻5g,木香5g,石榴皮15g,砂仁10g,肉桂10g,山藥15g,瞿麥15g。研末,摻入飼料飼喂,或水煎取汁灌服。
治療處方35:白頭翁湯加減:白頭翁15g,白芍15g,黃連15g,金銀花10g,黃芩10g,陳皮15g,木通10g,澤瀉10g,青木香10g。共研細末摻入飼料飼喂,每5kg體重用藥15-20g,1日2次,或煎水去渣灌服。
治療處方36:地榆、蒼朮、陳皮、葛根各40-50g。加水1500ml,煎至600ml,每頭每次服200ml,每日3次,連服2日。
治療處方37:神曲、枳殼、茴香、山楂、麥芽、白頭翁、陳皮、龍膽各25g。水煎取汁餵母豬3-4日,預防仔豬白痢。
治療處方38:鮮車前草200g,鮮馬齒莧250g,白頭翁150g,地榆150g。煎水去渣分成10份,每頭病豬1日灌服1份。
治療處方39:黃連100g,苦參200g,白頭翁160g,白鬍椒40g。研末,裝瓶備用,拌料餵母豬,每次5-10g,每日2次。
治療處方40:白礬研細,正個月以下仔豬1g,1-2月仔豬1.5-2g。配成1%溶液,1次內服,1日2次。
治療處方41:苦參250g,白頭翁30g,常水4000ml。用瓦鍋熬1小時後,取汁餵母豬,每日1劑,連服3次。
治療處方42:百草霜60g,大蒜15g。將大蒜搗爛,同百草霜混合,用水調成糊狀,每次6g,每日2次,連服2-3日。
治療處方43:硫酸鈉5g,硫酸鋅5g,硫酸亞鐵12.5,喹乙醇原粉5g。共溶於1000ml涼開水中裝瓶備用,每日2-4ml,塗於母豬乳頭令仔豬吸吮,或分!次拌入飼料中飼餵。
治療處方44:白頭翁100g,龍膽草40g,苦參30g,淮山藥30g,黃連渣30g,白沙參30g,甘草10g。水煎,仔豬、母豬共服,分3-4次服完,連用2劑。
治療處方45:鮮泡桐葉1kg,鮮車前草500g,大蒜20g。前兩味藥用600ml水急火煮沸20-30分鐘,取汁再將大蒜搗碎混入,供10頭仔豬服2次。

