流行病學
本病少見發病年齡主要在25~40歲目前沒有其他相關內容描述。
臨床表現
腫瘤呈圓形,常高起可自由移動,性質堅實、柔軟或呈囊性大小1~40mm好發於大陰唇但也可發生於女陰其他部位或肛周區其他部位少見一般無自覺症狀有時有觸痛或出血。
診斷
根據臨床表現,皮損特點,組織病理特徵性即可診斷。
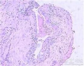
乳頭狀汗腺腺瘤檢查
組織病理:位於真皮內邊界清楚,由纖維性包膜包繞。在大多數病例中與其上的表皮不連線瘤內見導管和囊腔結構乳頭狀皺褶,突入囊腔,囊腔襯以單排柱狀細胞胞核呈卵圓形淡染有如見於大汗腺分泌細胞活躍期的斷頭分泌周圍有一層具有深嗜鹼性胞核的小立方形細胞為肌上皮細胞,組織化學上囊腔細胞含有如同見於大汗腺細胞中的PAS陽性,耐澱粉酶大顆粒。
此外囊腔細胞對非特異性酯酶和酸性磷酸酶和其他大汗腺酶染色呈陽性反應,而對磷酸化酶小汗腺酶呈陰性反應,外周細胞如像肌上皮細胞呈鹼性磷酸酶陽性。電鏡檢查可證明囊腔細胞具有兩個認作是大汗腺分泌細胞特點的特徵。其一為很多不同大小和密度的膜限性分泌顆粒和在這些細胞的尖頂部含有脂質小滴。其二作為斷頭分泌的證據,胞質尖頂部內含大的分泌顆粒釋入囊腔內。周圍細胞含很多肌細絲。
治療
手術切除。

