中樞神經細胞瘤流行病學
中樞神經細胞瘤臨床少見僅約占中樞神經系統原發性腫瘤的0.1%。各個年齡層均可發病,但好發於青壯年平均發病年齡在20~30歲,男女比例為1.13∶1。
病因
1982年由Hassoun等首先發現其超微結構的特殊性,認為是神經細胞起源,但光鏡下有別於神經節細胞瘤和神經母細胞瘤而另外命名腦室內神經細胞可能來自透明隔或穹窿小灰質核團的顆粒神經元。
病理改變
中樞神經細胞瘤特徵
影像學特徵表現為:(1)腫瘤大都位於透明區,Monor 氏孔區,以一側為主向對側生長。(2)CT 顯示鈣化、囊性變和MRI 顯示血管流空及大小不等低倍號區,對CNC 診斷有幫助。(3)CT 平掃腫瘤稍高密度,輕中度強化;MRI 呈稍長或等T1信號,稍長T2信號,可有輕度到明顯強化;DSA可顯示腫瘤染色。(4)腫瘤邊界清晰,一般無瘤周水腫以及腫瘤侵入腦實質的徵象。近年來,磁共振波譜成像發現CNC有一3.35 ppm的特殊波峰,對其鑑別診斷有重要意義。
MRI:特徵 性的MRI表現:①好發部位:腫瘤大都位於側腦室前2/3,透明隔或孟氏孔區,典型表現為以廣基底與側腦室透明隔相連的腫瘤,均伴有不同程度腦積水。②形態:腫瘤形態不規則,多呈分葉狀,邊緣呈繩索狀。此為CNC的一個較為特徵性的影像學表現。③邊界:腫瘤邊界清晰,一般不侵入腦實質。④平掃信號改變:腫瘤呈不均勻等長T1 等長T2 混雜信號,其中等T1 等T2 信號代表腫瘤組織,長T1 長T2 信號代表囊變、壞死。有些病變中還可見無信號區,代表鈣化或腫瘤血管。腦室內的信號不一及匍行性流空是CNC的另一特徵性MRI表現。⑤增強掃描信號改變:多呈輕中度強化。
發病機制
中樞神經細胞瘤病理學方面,腫瘤主要部分位於側腦室內,邊界清楚,部分附著側腦室壁可起源於透明膈和胼胝體,也可與額葉附著或侵蝕額葉隨著腫瘤生長可向第三腦室阻塞中腦導水管或進入第四腦室,腫瘤阻塞室間孔,第三腦室或中腦導水管時均可引起腦室擴大產生梗阻性腦積水。腫瘤成球形,邊界清楚。腫瘤質地軟,灰紅色,有鈣化
光鏡下腫瘤細胞形態與少枝膠質瘤非常相似,不易區分由單一的小細胞組成質少,核圓,染色質呈斑點狀,常有核周空暈現象。瘤內局部有鈣化灶。部分腫瘤內含有類似室管膜瘤的血管周假玫瑰花形結構。如果有核分裂象腫瘤壞死或血管內皮增生,則提示腫瘤惡變。通過免疫組化可對中樞神經細胞瘤與少枝膠質瘤和室管膜瘤進行鑑別在絕大多數中樞神經細胞瘤中突觸素呈強陽性而膠質纖維酸性蛋白(GFAP)為陰性此外部分腫瘤神經元特異性烯醇化酶(NSE)染色陽性對少數突觸素陰性的腫瘤診斷需依靠電鏡對細胞超微結構的觀察。在電鏡下可見腫瘤細胞內細胞漿內有多量的神經分泌顆粒、突觸、微管和軸突等神經細胞樣結構。
臨床表現
中樞神經細胞瘤併發症:並發梗阻性腦積水而引起顱內壓升高。如進行手術治療,可能發生以下併發症:腦水腫術後腦內血腫神經功能障礙以及腦膜炎等。
診斷
對中青年病人顱內壓增高起病的側腦室腫瘤,特別是頭顱CT掃描或MRI影像顯示腫瘤伴有點狀鈣化者應考慮腦室內神經細胞瘤。術後光鏡檢查很難與少枝膠質細胞瘤區別。確切的組織學診斷依賴於透射電鏡檢查或免疫組織化學顯示特異性神經細胞抗原檢查。
鑑別診斷
中樞神經細胞瘤①室管膜下巨細胞星形細胞瘤:此腫瘤多見於20歲以下青少年,幾乎所有病人都伴有結節性硬化,腫瘤起源於室管膜結節的巨大星形細胞,室間孔附近好發,臨床上易產生阻塞性腦積水。MRI上呈長T1 長T2 信號,信號均勻,邊緣清楚,增強掃描腫瘤呈明顯強化,同時可見室管膜下的其他結節。②室管膜瘤:室管膜瘤是起源於室管膜或室管膜殘餘部分的腫瘤,可發生於腦室內及腦室外,58%源自第四腦室,42%源自側腦室和第三腦室。發生於幕下者多見於兒童,平均發病年齡6歲;發生於幕上者平均發病年齡稍高,為18~24歲。室管膜瘤沿腦室塑形生長,可有囊變。MRI上腫瘤呈等長T1 等長T2 混雜信號,增強掃描腫瘤不均勻強化。MRI診斷本病主要靠腫瘤位置和形態的改變,而不是腫瘤的信號特徵,其中腫瘤沿腦室塑形生長是其特徵性改變。③脈絡膜叢乳頭狀瘤:脈絡膜叢乳頭狀瘤發生於脈絡膜叢,好發於側腦室三角區(50%)及第四腦室(40%),也可發生於第三腦室(5%)。發生於側腦室的脈絡膜叢乳頭狀瘤好發於10歲以前的嬰幼兒,發病無性別差異,多數為良性病變,病程緩慢。肉眼觀呈“菜花樣”改變,可有出血和囊變。MRI上腫瘤多數呈等T1 短T2 信號,腫瘤內常可見血管流空現象,有時腫瘤內可見腦脊液而導致信號不均勻,增強掃描腫瘤呈明顯均勻一致強化。自一側腦室突入對側腦室或侵入橋小腦角區是該病的特徵性表現。④側腦室內腦膜瘤:側腦室內腦膜瘤起自脈絡叢、脈絡組織和中間帆腔內的蛛網膜帽細胞,屬於少見的腦膜瘤,多數為良性。主要見於30歲以上成人,好發於女性,側腦室內腦膜瘤多發生於三角區。MRI上腫瘤呈等長T1 等長T2 信號,邊界清楚,增強掃描呈明顯均一強化。總之,儘管CNC的最終確診需依靠電鏡和免疫組化檢查,但起源於側腦室透明隔的腫瘤,應考慮到CNC的可能,然後結合病變的部位、形態、邊緣、MRI信號特點、發病年齡和病史進行鑑別,為臨床提供早期診斷信息。
檢查
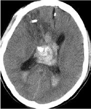
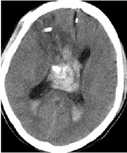
圖1無特殊表現。
其它輔助檢查:
CT掃描見腫瘤位於一側腦室內或位於透明膈在腦室內邊界清楚呈圓形等密度或略高而不均勻密度影半數以上腫瘤有點狀鈣化,當鈣化灶較大時X線平片也可見到。幕上中樞神經細胞瘤增強後腫瘤有中度至明顯強化MRI成像優於CT,對腫瘤範圍及所處部位有診斷價值可見多數腫瘤與透明隔或側腦室壁有關。腫瘤實質部分T1W為等或稍高信號,T2W為高信號,瘤內可見血管流空影。部分腫瘤常伴有出血靜脈注入順磁性顯影劑後,可見輕度增強腫瘤與側腦室壁或透明膈相附著(圖1)。
治療
中樞神經細胞瘤對放療極為敏感有效,手術切除腫瘤的目的在於解除梗阻性腦積水,結合術後放療可獲得長期生存。根據腫瘤偏向一側腦室位置,可取左額或右額開顱中線旁弧形切口,骨瓣成型,從較寬的兩個橋靜脈之間經縱裂人路切開胼胝體到病變側腦室首先將腦脊液吸除,並將透明膈切開,對側腦脊液也同時吸除,然後將腫瘤切除。如果腫瘤較大累及第三腦室或第四腦室該處腦組織不可強行切除,否則將增加術中危險和術後功能損害。也可根據腫瘤在側腦室內位置取左額或右額皮質造瘺入側腦室行腫瘤切除術。如果病人術後腦積水不能解除應行側腦室腹腔分流術因腫瘤對放療敏感,術後病人應常規外放療如X-刀直線加速器等放射劑量一般取40~60Gy。應該注意到即使腫瘤術後腦積水解除,顱內高壓緩解但由於部分病人腦脊液通路粘連狹窄蛛網膜顆粒吸收障礙及腫瘤復發等原因仍會產生腦積水、顱內壓增高,使病人再次出現頭痛、噁心嘔吐等症狀,或急驟顱內壓增高危象,以至出現生命危險,此時可做分流術來緩解顱壓增高。
預後
中樞神經細胞瘤大多具有良性生物學行為多數預後良好。由於腫瘤在腦室壁附著處存在著浸潤生長的可能性,單純手術將腫瘤全切不能防止腫瘤復發有研究報導中樞神經細胞瘤用單純手術腫瘤全切病人均在3年內復發,而結合術後放療即使腫瘤部分切除,多數病人可得到長期治癒效果另有研究總結20例中樞神經細胞除3例手術死亡外,隨訪時間最長者約19年國內作者報導13例側腦室神經細胞瘤其中對6例術後放療病人進行1~8年隨訪未見腫瘤復發其中1例術中只做活檢術放療後腫瘤完全消失隨訪2年,亦無腫瘤復發而另1例術後未放療16個月後腫瘤復發一般中樞神經細胞瘤5年生存率為81%全切者5年生存率可達90%。放療對次全切除者有效可延長生存期。

