概述
小細胞肺癌引起上腔靜脈阻塞綜合症病因
上腔靜脈阻塞綜合徵病理
上腔靜脈阻塞綜合徵1.上腔靜脈支配的區域及臟器組織淤血、水腫和缺氧。
2.側支循環形成並開放其方向是血液繞過阻塞的靜脈經奇靜脈、胸內靜脈、胸外側靜脈或椎靜脈等回至上下腔靜脈,再回至右心房。
診斷
臨床表現
上腔靜脈阻塞綜合徵2.患者多伴有咳嗽、聲嘶、呼吸急促,喜坐或立位,臥位時呼吸困難加重,嚴重者甚至端坐呼吸。
3.頭、面、上肢及上半身皮膚發紺、浮腫,同時胸壁有曲張的靜脈,嚴重者呈網狀分布。
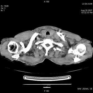
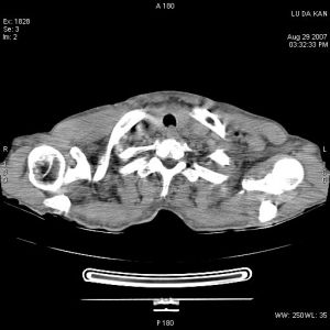
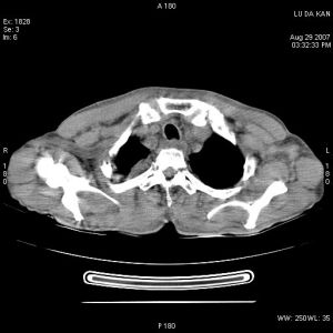
胸部X線檢查
可發現肺部原發病灶、縱隔增寬或肺門淋巴結增大。胸部CT或MRI檢查
有助於明確上腔靜脈阻塞的原因。其他
超聲顯像可見到阻塞的部位及病變形態。放射性核素靜脈造影可顯示靜脈阻塞。鑑別診斷
1.充血性心力衰竭或縮窄性心包炎除上腔靜脈回流受阻外還有下腔靜脈回流受阻的表現,如肝大或雙下肢浮腫。2.一側腋靜脈栓塞多表現為一側上肢淤血、水腫,而對側正常。
診斷標準
1.患者有頭、頸部、上肢、前胸及背部上半身水腫、淤血或發紺,胸腹壁靜脈曲張,血流方向向下。2.患者可有氣急,伴頭沉、頭脹,在平臥或彎腰時加重,站立後緩解。
3.靜脈壓上肢明顯高於下肢。
4.X線檢查除原發病表現外,可顯示右上縱隔增寬。
5.上腔靜脈造影可明確阻塞的部位、範圍或側支循環情況
治療
上腔靜脈阻塞綜合徵(1)化療:先採用氮芥(10mg/次)靜脈推注或半身阻斷治療,使症狀減輕、腫塊縮小後再放療,或已確診為霍奇金病者選用MOPP或ABVD方案,非霍奇金淋巴瘤用ABCOP方案,小細胞肺癌用VP-16+PDD方案等化療。
(2)放療:有些病例報導仍用放療方法,一般開始用大劑量2~4次,每次300~400Gy。以後改為150~200 Gy/d,總量為3 000~5 000 Gy。放射劑量決定於惡性細胞類型。
(3)放療+化療聯合效果好:一般氮芥靜脈衝注(5~10 mg/2~3 d)1~3次,接著局部放療,再聯合化療方案化療4~6周。
2.良性疾病致上腔靜脈阻塞者採用手術切除病變或松解阻塞壓迫。惡性腫瘤阻塞者不適合手術治療,若放、化療無效,可做腔靜脈分流術,但難度大,有風險。
3.對症治療,給予吸氧,限制鈉鹽和液體入量,適當利尿緩解症狀,或給予較大劑量的皮質激素緩解症狀。對疑有或為防止血栓形成,給予適量抗凝劑,肝素或雙香豆素。
支架治療
本徵發展迅速,嚴重者可出現呼吸困難甚至可產生致命的腦水腫。一般放射治療及化療對於緩解惡性腫瘤所致的不完全性上腔靜脈梗阻有一定療效,但對於腫瘤復發及放療後纖維化所致的阻塞則療效不佳。隨著介入放射學的進展,支架的出現為血管狹窄及閉塞性病態的治療提供了一種全新的治療方法。自張式血管支架放置在狹窄的腔靜脈後,由於支架自身彈性產生持續的張力,使狹窄部位不斷得到擴張,往往一周或數周后狹窄部位管徑才能達到最佳狀態。這種緩慢持續的張力。減少了血管因突然擴張而破裂的危險,也減少了附壁血栓、瘤栓脫落引起肺梗死的危險。
