《急性白血病的分類、診斷與治療》基本信息
急性白血病ISRC:CNM220000190
作者:同濟醫科大學
出版社:人民衛生出版社
出版單位:同濟醫科大學
出版日期:2000年
片長:50分鐘
語種:中文
載體:VCD
定價:¥38.00
類別:醫學圖書
內容介紹
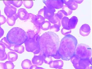
異型淋巴細胞1、急性髓細胞白血病微分化型(M0):骨髓原始細胞Ⅰ型+Ⅱ型在非紅系細胞中≥90%,形態學大多類似急淋的L2型細胞,無嗜天青顆粒及Auer小體,常規細胞化學染色陰性。免疫表型無淋巴系分化抗原,而髓系分化抗原CD33或CD13等陽性,單抗檢測細胞漿髓過氧化酶陽性。
2、急性粒細胞白血病未分化型(M1):骨髓原始細胞Ⅰ型+Ⅱ型在非紅系細胞中≥90%,≥3%細胞過氧化物酶或蘇丹黑B染色陽性。
3、急性粒細胞白血病部分分化型(M2):骨髓原始細胞Ⅰ型+Ⅱ型在非紅系細胞中30%~89%,單核細胞10%。
4、急性早幼粒細胞白血病(M3):骨髓以顆粒增多的異常的早幼粒細胞增生為主,在非紅系細胞中>30%;以細顆粒為主形態似單核細胞者為變異型M3(M3V)。
5、急性粒-單核細胞白血病(M4):骨髓原始細胞在非紅系細胞中≥30%,各階段粒細胞占30%~79%,各階段單核細胞>20%。急性粒-單核細胞白血病伴異常嗜酸性粒細胞增多(M4Eo):除骨髓象符合M4外,嗜酸性粒細胞增多,在非紅系細胞占5%-30%,嗜酸性顆粒粗大而圓並有著色較深的嗜鹼性顆粒。
6、急性單核細胞白血病(M5):分兩亞型。M5a(未分化型):骨髓中原始單核細胞Ⅰ型+Ⅱ型在非紅系細胞中≥80%;M5b(部分分化型):骨髓中原始和幼稚單核細胞在非紅系細胞中≥30%,原始單核細胞12μm為主。
7、L3:原始和幼稚淋巴細胞大小較一致,以大細胞為主;胞漿量較多,深藍色,空泡常明顯,呈蜂窩狀,亦稱伯基特(Burkitt)性白血病。
FAB分型建立在細胞形態學和細胞化學,是白血病分型的基礎,60%-70%白血病僅靠形態學即可分類,結合細胞化學可使分型的準確性達到89%,如加上細胞免疫表型分析則可提高至95%以上。最近提出的臨床特徵結合細胞形態學(morphology)、免疫學(immunology)、細胞遺傳學(cytogenetics)、分子生物學(molecularbiology)(MICM分型)的WHO分型將使白血病的診斷分型更科學、更精確,對於指導臨床個體化治療和判斷預後具有十分重要的意義。
相關詞條
參考文獻
1、http://www.yiyaoshu.com/Book2097/
2、http://www.cnmedbook.com/shangpin/guangpan/2514.htm
