簡介
X綜合徵是指具有勞力性心絞痛或心絞痛樣不適的症狀,活動平板ECG運動試驗有ST段壓低等心肌缺血的證據,而CAG示冠脈正常或無阻塞性病變的一組臨床綜合徵。
病因
發病原因
美國女孩患X綜合症發病機制
可能的發病機制:1.冠脈微循環功能障礙或血管舒張儲備功能不足:有許多因素,如老年,高血壓,糖尿病及血脂紊亂等引起小冠狀動脈病理改變,例如內膜增生及內皮細胞變性,引起微血管內皮細胞功能不全,從而使內皮衍生的NO生成減少,血流介導的微血管擴張能力下降,其舒張儲備能力下降,故可引起心肌缺血,其證據有:①當運動或起搏誘發胸痛時,心肌產生乳酸增多,ECG有缺血性改變,UCG示節段性室壁運動及心肌灌注異常,LVEF降低,左心室舒張末壓增高,冠脈阻力降低及其血流量增多的能力減退;②病人對血管收縮刺激產生的小冠脈收縮反應增加,而對冠脈內注射罌粟鹼的擴張血管作用減弱。
2.對交感神經刺激的敏感性增高:交感神經占優勢的交感迷走失平衡可引起X綜合徵,例如,做心導管檢查時,部分X綜合徵病人通常對心內器械操作異常敏感,直接刺激左心房及輸注生理鹽水就引起典型的胸痛。
3.痛覺異常過敏:有些X綜合徵病人並無心肌缺血的證據,其不適可能是痛覺過敏,胸痛的感受是由動脈伸展,心率,心律的改變或心臟收縮力的改變刺激所引起的,當疼痛閾值降低即可引起所謂的過敏性心臟症狀。
症狀
主要症狀
X綜合徵其他症狀
有一些僅有輕微的或無冠脈疾病的病人,由於胸痛而過分關心其個人健康,可出現恐慌,焦慮和抑鬱等精神症狀,占X綜合徵病人的2/3。檢查
任何實驗室檢查結果對X綜合徵的診斷幾乎無診斷價值,但是可以發現冠心病的危險因素和引起心絞痛的繼發性因素。
1.血脂已有足夠的證據證明血脂紊亂與冠心病的發病密切相關,因此所有懷疑冠心病的病人都應測定血脂,典型的動脈硬化的血脂特點是:總膽固醇,低密度脂蛋白,三醯甘油升高而高密度脂蛋白下降。
2.血糖葡萄糖耐量降低和糖尿病是冠心病的危險因素,因此懷疑冠心病的病人都應檢查空腹血糖,了解有無高胰島素血症。
心肌缺血的客觀證據:
1.ECG無胸痛發作時ECG大多在正常範圍:少數病人可有輕度ST-T改變,胸痛發作時ECG可出現缺血型ST-T改變,活動平板運動試驗陽性,有時Hoher監測也可發現有心肌缺血的ST-T改變,但也有一些病人典型胸痛發作時未能發現ECG缺血性改變。
2.UCG休息時UCG檢查一般正常,負荷誘發心絞痛時可見左心室節段性運動功能異常,但雙嘧達莫負荷UCG卻不能發現整體或節段左心室功能受損的徵象,而在心外膜大冠脈病變時,其可誘發節段性室壁運動異常,這點可作X綜合徵的鑑別線索之一。
3.運動核素心肌灌注掃描當運動誘發心絞痛時,該檢查可發現節段性心肌灌注減低或缺損和再分布徵象,核素心室造影可顯示運動時左心室節段性運動功能異常,EF不增加或降低。
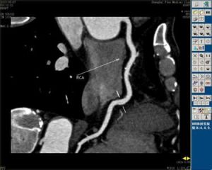
4.冠脈造影(CAG)X綜合徵病人CAG正常或未發現有意義的狹窄,麥角新鹼激發試驗陰性,左心室造影未見異常,無心臟擴大或心肌肥厚徵象,左心室舒張末壓一般正常。
診斷
診斷標準:有典型的勞力性心絞痛,發作時ECG有心肌缺血的表現或胸痛不典型,運動試驗陽性,在心室功能及CAG示冠脈正常和麥角新鹼激發試驗陰性,當具有上述各項時,臨床上即可確認為X綜合徵。鑑別
X綜合徵應與引起胸部不適的其他疾病相鑑別。
食管疾病
(1)反流性食管炎:由於食管下端括約肌鬆弛,酸性胃液反流,引起食管炎症,痙攣,表現為胸骨後或中上腹部燒灼性痛,有時可向背部放射而疑似心絞痛,但本病常於餐後平臥時發生,服抗酸藥可使之緩解。(2)食管裂孔疝:常伴胃酸反流,其症狀類似食管炎,常於飽餐後彎腰或平臥時發作,胃腸造影可明確診斷。
(3)瀰漫性食管痙攣:也可伴發於反流性食管炎,其引起的胸痛有多種表現,服用硝酸甘油有效,麥角新鹼可誘發,故易疑為心絞痛發作,是不典型心絞痛性胸痛的一個常見原因,根據患者有反酸和厭食的病史,症狀常於進食尤其冷飲時或飯後發生,與勞累無關,發作時有吞咽困難可與心絞痛相區別,食管鏡和食管測壓法可明確診斷。
臨床上,心絞痛與食管疾病往往同時存在,食管反流能降低心絞痛的閾值,食管痙攣可由麥角新鹼誘發和由硝酸甘油緩解,因而兩者的鑑別常存在困難,胸痛表現為“燒心”,且與體位改變和進食有關,同時伴隨吞咽困難是食管疼痛的特點;食管疼痛較心絞痛更常放射到背部,準確的診斷不僅需要仔細地詢問病史及體檢,有時還需藉助於實驗室檢查。
肺,縱隔疾病
(1)肺栓塞:其疼痛突然發生並在休息時出現,見於有本病高危因素(如心力衰竭,靜脈病,手術後等)的病人,常伴有咯血和呼吸急促,其疼痛性質典型地被描述為胸部緊壓感伴有或隨後發生胸膜炎性胸痛,即該側胸部尖銳疼痛,呼吸或咳嗽使之加重,X線胸片,肺動脈造影,肺核素掃描可明確診斷。(2)自發性氣胸及縱隔氣腫:二者的胸痛均突然發生,前者胸痛位於胸部的側面,後者位於胸部中央,均伴有急性呼吸困難,X線胸片可明確診斷。
膽絞痛
此病常突然發病,疼痛劇烈且常呈固定性,持續2~4h,然後可自行消失,在發作間期無任何症狀,一般它在右上腹最重,但也可位於上腹部或心前區,這種不適症狀常放射到肩胛骨,可沿著肋緣放射到背部,偶爾放射到肩部,提示橫膈受刺激,常有噁心,嘔吐,但疼痛與進餐的關係不確定;此病常有消化不良,腹部脹氣,不能耐受脂肪食物等病史,但這些症狀也常見於一般人群,特異性不強,超聲顯像對診斷膽石是準確的,且可了解膽囊大小,膽囊壁厚度以及是否有膽管擴張,口服膽囊造影術未能顯示膽囊充盈,提示膽囊無功能。神經,肌肉和骨骼的原因
(1)頸脊神經根炎:它可表現為恆久疼痛,有時導致感覺障礙,疼痛可能與頸部活動有關,如同肩關節活動引起滑囊炎的疼痛發作一樣,手指沿背面加壓,有皮膚過敏區,可疑及胸脊神經根炎,有時,頸肋壓迫臂肩神經叢可產生酷似心絞痛樣疼痛,體檢時通過活動也可發現肩關節炎症和(或)肩部韌帶鈣化,頸椎病,酷似心絞痛的肌肉骨骼疾病,肩峰下的滑囊炎及肋軟骨炎等。(2)胸肋綜合徵:又稱Tietze綜合徵,其疼痛局限在肋軟骨和肋胸骨關節腫脹處,有壓痛,臨床表現典型的Tietze綜合徵不常見,而肋軟骨炎引起肋骨與肋軟骨連線處的壓痛(不伴腫脹)相對多見,檢查時,肋軟骨連線處的壓痛是常有的臨床體徵,治療肋軟骨炎通常採用消除疑慮和抗炎藥物。
(3)帶狀皰疹:在其出疹前期可出現胸痛,嚴重時甚至可類似心肌梗死,根據疼痛的持久性,局限於皮膚感覺神經纖維分布區,皮膚對觸摸的極度敏感及特異性皰疹的出現可作出本病的診斷。
(4)不明原因的胸壁痛和觸痛:觸診和胸部活動(如彎腰,轉身或行走時擺動手臂等)可致胸痛,與心絞痛相反,疼痛可持續幾秒或幾小時,硝酸甘油不能使其立即緩解,一般不需治療,偶需用水楊酸鹽。
功能或精神性胸痛
它是神經循環衰弱症焦慮狀態的一種表現,疼痛可位於心尖部,為持續時間達數小時的隱痛,常加重或轉變為1~2s時限的乳腺下尖銳刀刺樣痛,多發生在情緒緊張和疲勞時,與運動關係不大,可伴有心前區的壓痛,發作時可伴有心悸,過度通氣,四肢麻木和刺痛,嘆氣,頭暈,呼吸困難,全身無力和情緒不穩或壓抑等徵象,除鎮痛劑外其他藥物不能使之緩解,但可被多種形式的干預,如休息,勞力,安定藥和安慰劑所減輕,與心肌缺血性疼痛相反,功能性疼痛更易顯示出對不同的干預方法產生不同的反應,由於功能性疼痛常發生在過度通氣後,後者可引起肌肉張力增高,產生瀰漫性胸部緊壓感,有些所謂的功能性胸痛其實可能有器質性疾病的基礎,這在二尖瓣脫垂病人中的胸痛常見,其胸痛的性質在病人之間的變異很大,即可類似典型的心絞痛亦可類似前述神經循環衰弱症的胸痛。
非冠狀動脈粥樣硬化的心臟及血管疾病
(1)急性心包炎:發病年齡輕,常先有病毒性上呼吸道感染史,其炎症引起的疼痛起病突然,較心絞痛性不適感尖銳,位置偏左而非在胸部正中,常輻射到頸部,疼痛呈持續性且與勞累無關,呼吸,吞咽及扭動身體可使其加重,當病人坐起並前傾時疼痛減輕,聽診有心包摩擦音,藉助心電圖可明確診斷。(2)主動脈疾病:當有高血壓的病人突然發生持續而嚴重的疼痛,且放射到背部和腰部時提示主動脈夾層分離的可能;胸主動脈瘤的不斷擴張可侵蝕脊椎體引起局限而嚴重的鑽孔樣疼痛,夜間尤甚;重度主動脈瓣狹窄因冠狀動脈供血不足,可出現心絞痛,主動脈瓣區收縮期雜音及超聲心動圖可資鑑別。
(3)重度右室高壓:二尖瓣狹窄,原發性肺動脈高壓和肺心病等疾病可產生疼痛,此痛還可出現於肺動脈壓低時,如重度肺動脈瓣狹窄伴右室高壓,目前認為此種疼痛是由於心排量受限,在收縮期因右室高壓使冠脈血流減少,右室耗氧增加,引起心肌灌注不良所致,因此,胸部不適可由心臟缺血所致,由於這種痛可自行緩解,多持續數分鐘,故對硝酸甘油的反應難以評價,若疼痛由活動引起且能被硝酸甘油預防,則疼痛很可能因冠心病所致,許多肺動脈高壓的病人在運動時或運動後的心電圖上出現ST段移位。
(4)冠狀動脈造影結果正常的胸痛:心絞痛或類似心絞痛的胸痛伴冠脈造影正常的綜合徵常被稱為X綜合徵,需與冠心病所引起的典型缺血性心臟病區別,其病因尚不清楚,其中一部分患者有真正的心肌缺血,表現為運動或快速起搏時心肌產生乳酸鹽增多。
研究證明,許多X綜合徵患者有微血管和(或)內皮功能障礙,臨床上其胸痛可與心肌缺血同時存在,但另有一部分患者在臨床上卻找不到任何心肌缺血的證據,這部分患者常有行為,精神異常或食管功能失常(表現為在其食管內注入鹽酸可致疼痛再次發作),說明胸痛症狀可完全是非心源性的,現在認為,冠脈造影正常患者的胸痛可起因於多種異常情況:由於微血管功能障礙而產生局部缺血引起的胸痛,稱為微血管性心絞痛;無局部缺血的胸部不適可是痛覺過敏;胸痛的感受是動脈伸展,心率,心律的改變或心臟收縮力的改變刺激心臟引起的;交感神經占優勢的交感迷走失平衡可引起X綜合徵,做心導管檢查時,部分X綜合徵患者通常對心內器械操作異常敏感,直接刺激右心房及輸注生理鹽水就可引起典型的胸痛,有些患者也可同時有微血管功能障礙及痛覺過敏,所謂X綜合徵患者的冠脈血管的病理學改變是不一致的:部分患者的小冠狀動脈有內膜增厚或有粥樣硬化斑塊,而有些患者的冠狀動脈完全正常。
有胸痛而冠脈造影正常的病人多見於絕經期前的婦女,大多數的胸痛症狀不典型,胸痛可由勞累誘發,但促發痛的閾值變化很大,有時疼痛非常劇烈,本病可影響到患者的工作和生活質量,部分患者可有恐慌,焦慮或精神異常等臨床表現,有的病人有胰島素抵抗和高胰島素血症,臨床查體多無異常發現,部分病人胸痛時心電圖上可有非特異性ST-T波異常,近20%的患者有運動試驗陽性,運動核素心肌顯像可發現部分病人有心肌灌注異常,但它與缺損範圍,運動試驗陽性程度和運動耐量無一致的相關性。
與冠狀動脈粥樣硬化所致心絞痛的患者相比,X綜合徵的預後通常很好,與正常人群無明顯差別。
對臨床上有缺血證據的患者可使用硝酸酯及β-受體阻滯藥治療,但實際的治療效果常不理想,硝酸酯不能提高X綜合徵患者的運動耐量,甚至可使有些患者的運動耐量減退,鈣拮抗藥可減弱有些病人胸痛發作的頻度及嚴重程度,並可提高其運動耐量,在治療過程中應盡力尋找胸痛的非心臟原因,對有胃-食管反流及食管功能障礙者,治療這些疾病對緩解症狀有效,對那些無缺血證據和(或)那些對抗缺血治療無反應者,除可提供一般支持治療外,耐心向病人解釋本病的良好預後,使其安心,也是治療上的重要環節。
治療
西醫治療方法
1.治療目的首先要消除病人的疑慮,然後是迅速緩解症狀,症狀持續是常見的,因此許多病人不能返回工作崗位,而CAG示冠脈正常本身即可消除病人的疑慮。在一項研究中,病人得知冠脈正常後,既減少住院次數,又縮短因心臟原因住院的天數。
2.治療方法
X綜合徵無特殊的治療。常用的抗心絞痛藥物如硝酸酯、鈣拮抗藥及β受體阻滯藥等都可用於本病的治療,但療效不恆定。對一些病人可使症狀減輕或緩解,但對另一些病人則可能療效不顯著。β受體阻滯藥和鈣拮抗藥均可有效地減少胸部不適的數目,而硝酸酯有益作用僅在一半的病人被發現。X綜合徵病人舌下含化硝酸酯不能提高運動耐量,而且有些病人的運動耐量反而可能降低;而鈣拮抗藥可減少有些病人的心絞痛發作的頻度和嚴重程度,並提高運動耐量,β受體阻滯藥的效果不如用於冠心病勞力性心絞痛時顯著,提示降低心肌氧需量不是預防或代償血管運動異常的有效措施。
另外,使用α腎上腺能受體阻滯藥似乎是一種合理的治療,但小規模試驗的結果仍不一致;抗抑鬱劑丙米嗪(imipramine,50mg/d)可有效地減少胸痛頻度50%,絕經後婦女套用激素替代療法可減弱正常冠脈對乙醯膽鹼的作用,增加冠脈血流量,改善內皮依賴冠脈擴張,有一項研究證明此項激素可減少胸痛發作頻度50%。
因此,首先要向病人解釋本病的中期預後相當好,消除其顧慮,然後用長效硝酸酯治療。若病人還有症狀,應該開始用鈣拮抗藥或β受體阻滯藥,最後可用丙米嗪50mg/d。若經過上述藥物治療後,症狀仍持續存在,要排除胸痛其他原因,尤其是食管運動異常。
本病中期預後非常好。CASS登記報導具有心絞痛、冠狀動脈造影正常及LVEF>0.50的病人的7年存活率為96%,而那些CAG示輕度異常管腔狹窄<50%的病人的7年存活率為92%。這些病人即使有吸菸或高血壓史,運動所致心肌缺血也不會增加病死率,因此其預後良好。
有心絞痛但CAG正常的病人的長期生存率很高,明顯高於冠脈狹窄的病人,與同齡正常人群的存活率無差別。儘管如此,長期隨診發現左心室功能常常保持正常,但許多病人一直有胸痛,要求服藥物治療。
中醫治療方法
傳統醫學中的一些具有“活血化瘀”、“芳香溫通”、“宣痹通陽”作用的中草藥,有緩解心絞痛作用。預防
由於患者對胸痛常產生焦慮,恐懼,因此,耐心向患者解釋病情,有助於緩解症狀,適度的體育活動,體育鍛鍊也是一項有效的治療。飲食保健
食療方
1.組成:雞蛋1個、米醋60克、紅糖適量。用法:生雞蛋打入碗中,加米醋、紅糖調勻服用。每天1~2次,連服數天。主治:氣滯血瘀型心絞痛,舌紫暗,有瘀點或瘀斑,脈沉弦或細澀。2.組成:蜂蜜適量。用法:水調頓服1碗,或加少量薑汁頓服。主治:卒心痛。
3.組成:田七藥物牙膏、白酒適量。用法:每次取牙膏20克調酒內服。主治:卒心痛。
4.組成:蔥5根。用法:搗爛,匙送入喉,灌以麻油100毫升,但得下咽即蘇。主治:卒急心痛,牙關緊閉,諸藥不效。
5.薤白粥,薤白10-15克(鮮者30-45克),與粳米100克共煮粥。煮熟後油鹽調味食用。有寬胸行氣止痛作用,適用於冠心病之胸悶不舒或心絞痛,老年人慢性腸炎、菌痢。
6.粳米100克煮粥,半熟時加入薤白10-20克,同煮熟食用。有寬胸行氣止痛作用,適用於冠心病胸悶不適或心絞痛,慢性腸炎菌痢等症。
飲食宜忌
多吃富含維生素和膳食纖維的食物。如新鮮蔬菜、水果、粗糧等;宜多食辛溫宣化、通氣活血之品,如蔥、蒜、香菜、杏仁霜、紅蘿蔔、大棗、韭菜、酒等。
儘量避免吃刺激性食物和脹氣食物,如濃茶、咖啡、辣椒、咖喱等;
忌肥膩類食物,如肥肉、海鮮等。
以上資料僅供參考,具體請詢問醫生。

