漿細胞內粘蛋白球形包涵體,含有表面γ-球蛋白,系細胞合成的免疫球蛋白聚集而成。又稱cancer 小體和fuchsin 小體。
光鏡和電鏡下表現
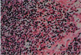
在非特異性的慢性炎症組織中,漿細胞胞質內見到的嗜酸性玻璃樣小體。電鏡下,該小體為存在於擴張的內質網內的一種免疫球蛋白。胞膜破裂後,該小體即游離於組織中。
臨床意義
見於漿細胞增生性疾病,結核病、類風濕關節炎,澱粉樣變性等。

為漿細胞內數目不一、大小不等的小球體。直徑2~3μm,可呈無色、粉紅或淡藍色,它是由漿細胞合成的蛋白質及糖蛋白在內質網凝結堆積而成。見於漿細胞增生性疾病,結核病、類風濕關節炎,澱粉樣變性等。
漿細胞內粘蛋白球形包涵體,含有表面γ-球蛋白,系細胞合成的免疫球蛋白聚集而成。又稱cancer 小體和fuchsin 小體。
在非特異性的慢性炎症組織中,漿細胞胞質內見到的嗜酸性玻璃樣小體。電鏡下,該小體為存在於擴張的內質網內的一種免疫球蛋白。胞膜破裂後,該小體即游離於組織中。
見於漿細胞增生性疾病,結核病、類風濕關節炎,澱粉樣變性等。
為漿細胞內數目不一、大小不等的小球體。直徑2~3μm,可呈無色、粉紅或淡藍色,它是由漿細胞合成的蛋白質及糖蛋白在內質網凝結堆積而成。見於漿細胞增生性疾病...
光鏡和電鏡下表現 臨床意義,和Russell小體,Mallory小體,Negri等一樣。以前,Councilman小體在肝活檢被認為有足夠的證據,診斷為黃熱病。然而,已被...的詳細描述。Councilman小體,在病理學,也被稱為嗜酸性小體,經常發現在...
的Russell小體和酒精性肝病時肝細胞胞漿中Malloy小體等。2)纖維...異常蛋白質蓄積形成均質、紅染的近圓形小體通常位於細胞漿內,例如,腎小管...又有消耗性色素之稱。脂褐素在電鏡下,呈典型的殘存小體結構。3)黑色素...
分類 病理性色素 脂肪肝炎防治 脂肪肝炎危害 肝炎能喝酒嗎的近圓形小體通常位於細胞漿內,例如,腎小管上皮細胞的玻璃小滴變性(蛋白尿時由原尿中重吸收的蛋白質)、漿細胞胞漿中的Russell小體和酒精性肝病...。電鏡下,細胞胞漿內脂肪表現為脂肪小體,進而融合成脂滴。脂肪變性多發生於...
簡介 基本簡介 主要任務 相關概念 醫學地位漿細胞成片增生,可見Russell小體,同時仍有少量淋巴細胞及免疫母細胞。有...,可見Russell小體,同時仍有少量淋巴細胞及免疫母細胞。有人稱本型為...
簡介 病因 病理學 發病機制 症狀,即羅氏小體,是由免疫球蛋白分子組成。故漿細胞可合成及分泌抗體。科學家...針對各種抗原的抗體。(漿細胞系統包括原始漿細胞、幼漿細胞、Russell小體、Dutcher小體和火焰狀細胞等部分。)分泌方式成熟的漿細胞可通過...
功能 存在位置 形態 增殖方式 分泌方式酸性復紅染成鮮紅色,稱復紅小體(Russell氏小體),實為一種凝聚...或堵塞,進一步造成局部組織缺血和壞死。豬瘟脾臟的貧血性梗死,就是脾小體中央...
細胞和組織損傷 正文 配圖 相關連線漿內可有少量嗜苯胺藍顆粒嗜酸球狀包涵體(russell體)大小不等的空泡(如桑葚狀細胞morula cell或Mott cell)或棒狀大小體...的有界膜的包涵體細胞核內可見有單層膜包圍的包涵體或細絲狀平行排列的棒束狀小體...
發病原因 發病機制 病狀體徵 檢查化驗 預防保健PAS陽性的球形包涵體(一般是IgM),前者稱Dutcher小體,後者稱Russell小體。可伴有少量免疫母細胞、反應性的上皮樣組織細胞...
概述 流行病學 病因學 臨床特徵 形態學