Willis環在醫學上又叫非創傷性血管成像技術(簡稱CT血管造影即CTA),血管造影是一種介入檢測方法,顯影劑被注入血管里,因為X光穿不透顯影劑,血管造影正是利用這一特性,通過顯影劑在X光下的所顯示影像來診斷血管病變的。
普遍使用的血管造影劑為碘試劑,在少見的有使用碘試劑禁忌症的病例中,會使用二氧化碳作為造影劑。
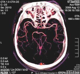
CT血管成像(CTA)指靜脈注射含碘造影劑後,經計算機對圖像進行處理後,可以三維顯示顱內血管系統,可以取代部分DSA檢查。CTA可清楚顯示大腦動脈環(Willis環),以及大腦前、中、後動脈及其主要分支,對閉塞性血管病變可提供重要的診斷依據。可以將缺血性腦血管病的診斷提早到發病後2小時。
CT血管造影隨著介入放射學的發展,血管造影已經成為臨床的一種重要的診斷方法,尤 其在介入治療中起著不可替代的作用。血管造影在頭頸部及中樞神經系統疾病、心臟大血管疾病、及腫瘤和外周血管疾病的診斷和治療中都發揮著重要作用。

