症狀體徵
本病在非洲烏干達兒童的惡性腫瘤中幾乎占一半。病變特點為腫瘤常發生於頜骨、顱面骨、腹腔器官和中樞神經系統等,也可波及其它臟器包括胃、腸、腹膜、肝、脾,肺、長骨及腦受累少見,約20%侵犯淋巴結。一般不累及外周淋巴結和脾,也很少發生白血病。頜骨和眼眶的腫瘤在局部生長,侵蝕破壞附近組織,造成面部畸形。腫瘤發生於腹腔,常形成巨大腫塊,並可累及腹膜後淋巴結、卵巢、腎、肝、腸等。累及中樞神經系統的腫瘤可侵犯腦膜或壓迫脊髓。
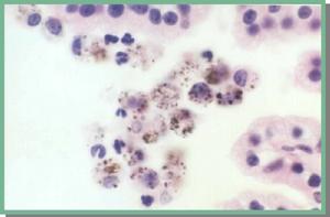
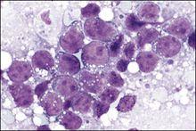
腫瘤由小無核裂濾泡中心細胞惡性增生而來。鏡下見大量瘤細胞瀰漫增生,細胞大小相似,形態單一,胞漿少,呈嗜鹼性及明顯的嗜派若寧性。胞漿內有一些脂肪小空泡。細胞核較大,圓或橢圓形,染色質細,常有2~3個明顯的核仁,核分裂像多見。腫瘤細胞常變性、壞死。瘤細胞表面有單克隆性免疫球蛋白,多數為IgM伴κ輕鏈,證實瘤細胞來自B細胞。瘤細胞間散在多數吞噬各種細胸碎屑的巨噬細胞,形成所謂滿天星圖像。
病理生理
Burkitt淋巴瘤病理變化:Burkitt淋巴瘤的瘤細胞大小和形態一致,相互粘連,主要由小無裂細胞組成,可伴有少量免疫母細胞。瘤細胞胞界不清,胞質少,嗜雙色性,甲基綠派若寧染色呈強陽性,核圓或卵圓形,核膜厚,染色質較粗,核仁明顯,可貼近核膜,核有絲分裂象多見。特殊的是瘤細胞迅速死亡,被成熟的巨細胞吞噬,這些含有吞噬碎片和包涵體樣顆粒的巨細胞淡染,均勻地散布於瘤細胞之間呈現所謂的“滿天星”圖像,是本病的組織學特點。免疫組化染色表明,瘤細胞相當於不成熟的B細胞,個別病例屬前B細胞表型,瘤細胞表達全B抗原CD20、CDl9及單克隆性SIg,常為λ輕鏈,重鏈可為μ、γ或α,也可表達CALLA,部分病例還表達TdT抗原。
疾病病因
Burkitt淋巴瘤目前認為本病的發病與EB病毒感染密切有關,瘤細胞核內可查出EB病毒基因組,血清中有抗EB病毒抗體。但EB病毒常引起兒童傳染性單核細胞增生症,而少有發生本型淋巴瘤,因此本病的發生可能還有其它因素的存在。已發現90%的病人瘤細胞有異常核型,包括8、14染色體易位,部分有c-myc癌基因易位,可能都與發病有關。
診斷檢查
Burkitt淋巴瘤根據臨床表現,主要依靠特徵性的組織學檢查確診。瘤細胞的免疫表型及EB病毒檢測也有助於診斷及鑑別診斷。
治療方案
Burkitt淋巴瘤大多預後不良,少數病人經小劑量細胞毒藥物治療可得到緩解。

