發病機制
黃瘤病本組疾病可分為原發性黃瘤病和繼發性黃瘤病,前者又可分為家族性和非家族性兩類,家族性者常有不同程度的血脂代謝障礙及系統表現,非家族性者常為散發,一般無血脂代謝障礙及系統表現。繼發性黃瘤病指由其它疾病引起血脂代謝障礙和血脂增高所致的黃瘤病,如糖尿病、骨髓瘤和淋巴瘤等。
臨床表現
根據發病部位和形態特點可分為以下類型:
扁平黃瘤病2.扁平黃瘤(planexanthoma)皮損為稍高起的扁平黃色斑塊,淡黃色至淡棕色,局限或泛發,直徑可達5cm。發生於上眼瞼內眥處稱為瞼黃瘤;發生於手掌者稱為掌紋黃瘤;泛發於軀幹、頸部和上臂等處者稱為泛發性扁平黃瘤;發生於間擦部位者稱為間擦性黃瘤。
3.發疹性黃瘤(eruptivexanthoma)多累及高乳糜微粒血症者的肢體伸側和臀部等處。皮損為直徑1~4mm大小的橘黃或棕黃色柔軟丘疹,迅速分批或驟然發生,急性期炎症明顯,皮損周圍有紅暈;可有瘙癢或壓痛。數周后皮損自行消退。組織病理
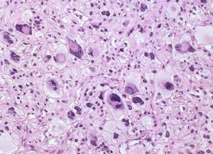
表皮正常或壓迫性變薄;真皮內可見灶性或瀰漫性浸潤的泡沫細胞。
鑑別診斷
根據典型皮損結合組織病理檢查,一般診斷不難,同時應注意可能存在的系統性脂質代謝紊亂,可進一步進行血脂檢查。本病應與各種X型組織細胞增生症及非X型組織細胞增生症、朗格漢斯細胞增生症、幼年黃色肉芽腫、進行性結節性組織細胞瘤等進行鑑別。
治療
1.飲食治療控制飲食是治療本病的基本措施。對合併高脂蛋白血症者,根據不同類型,分別給予低脂、低糖、低膽固醇飲食。2.藥物治療給降脂藥。氯貝丁酯(安妥明)2g/d,主要降低甘油三酯。考來烯胺(膽胺)12~24g/d,主要降低膽固醇。煙酸3~4.5g/d,同時降低甘油三酯和膽固醇。亦可服用活血化瘀中藥。
3.局部治療對局限性數目較少的損害,可用液氮冷凍療法、電離子手術、雷射等物理治療。大的損害可行外科手術切除。
預後預防
預後:皮疹及尿崩症均可自發緩解。一般預後好。血清脂質不升高,預後佳,大多數於數年後或至青年發育期自行消退。
預防:保持良好的飲食習慣,注意飲食調節,不過量攝入高脂、高糖、高膽固醇食物。

