定義
肺結核五蒸:骨蒸、脈蒸、皮蒸、肉蒸、內蒸的總稱。見《諸病源候論·虛勞骨蒸候》。
五蒸證候:
1、骨蒸其根在腎,旦起體涼,日晚即熱,煩躁,寢不能安,食無味,小便赤黃,忽忽煩亂,細喘無力,腰疼,兩足逆冷,手心常熱。蒸勝過傷,內則變為疳,食入五臟。
2、脈蒸其根在心,日增煩悶,擲手出足,翕翕思水,口唾白沫,唾即浪言,或驚恐不定,脈數。若蒸盛之時,或變為疳,臍下悶,或暴利不止。
3、皮蒸其根在肺,必大喘鼻乾,口中無水,舌上白,小便赤如血。蒸盛之時,胸滿,或自稱得注熱,兩脅下脹,大嗽徹背連胛疼,眠寐不安,或蒸毒傷髒,口內睡血。
4、肉蒸其根在脾,體熱如火,煩躁無汗,心腹鼓脹,食則欲嘔,小便如血,大便秘澀。蒸盛之時,身腫目赤,寢臥不安。
5、內蒸,亦名血蒸,外寒而內熱,把手附骨,而內熱甚,其根在五臟六腑,其人必因患後得之,骨肉自消,飲食無味,或皮燥而無光。蒸盛之時,四肢漸細,足趺腫起。治用五蒸湯、五蒸丸等。
二、癆瘵:拼音(láozhài),病名,是指具有傳染性的慢性消耗性疾病,或稱“肺癆”。類於肺結核病。其發病原因,是由於某種因素使機體的抵抗能力降低,從呼吸道感染癆蟲(結核桿菌)所致,故又稱“傳屍癆”,以形容它是一種互相傳染的病。主要臨床表現有咳嗽、咳血、潮熱、盜汗、身體逐漸消瘦等,以陰虛為多見。在整個疾病演變過程中,開始則陰精虧耗,繼則陰虛火旺,後期則陰損及陽、陰陽兩虧。
見《世醫得效方·大方脈雜醫科》。即勞瘵。《明醫雜著》指出:(患者)“睡中盜汗,午後發熱,哈哈咳嗽,倦怠無力,飲食少進,甚則痰涎帶血,咯吐出血;或咳血、吐血、衄血,身熱,脈沉數,肌肉消瘦,此名癆瘵。”
結核病
骨蒸病又稱結核病,是由結核桿菌引起的慢性傳染病,可累及全身多個器官,但以肺結核最為常見。
本病病理特點是結核結節和乾酪樣壞死,易形成空洞。臨床上多呈慢性過程,少數可急起發病。常有低熱、乏力等全身症狀和咳嗽、咯血等呼吸系統表現。
結核俗稱“癆病”,是結核桿菌侵入體內引起的感染,是青年人容易發生的一種慢性和緩發的傳染病。一年四季都可以發病,15歲到35歲的青少年是結核病的高發峰年齡。潛伏期4~8周。其中80%發生在肺部,其他部位(頸淋巴、腦膜、腹膜、腸、皮膚、骨骼)也可繼發感染。主要經呼吸道傳播,傳染源是接觸排菌的肺結核患者。解放後人們的生活水平不斷提高,結核已基本控制,但近年來,隨著環境污染和愛滋病的傳播,結核病又捲土重來,發病率欲演欲烈。
“面色蒼白、身體消瘦、一陣陣撕心裂肺的咳嗽……”在19世紀的小說和戲劇中不乏這樣的描寫,而造成這些人如此狀況的就是當時被稱為“白色瘟疫”的肺結核,也即“癆病”。
結核病的歷史
19世紀,不知有多少人曾被這種無情的烈性傳染病奪去了親人或朋友,雖然20世紀多種有效抗生素和預防藥物的產生使肺結核病例在世界範圍內迅速減少,但因此放鬆警惕就大錯特錯了。世界衛生組織警告說,近年來肺結核在全球有捲土重來之勢,對這種傳染病的防治不容懈怠。
1882年,德國科學家羅伯特·科赫宣布發現了結核桿菌,並將其分為人型、牛型、鳥型和鼠型4型,其中人型菌是人類結核病的主要病原體。肺結核就是主要由人型結核桿菌侵入肺臟後引起的一種具有強烈傳染性的慢性消耗性疾病。常見臨床表現為咳嗽、咯痰、咯血、胸痛、發熱、乏力、食慾減退等局部及全身症狀。肺結核90%以上是通過呼吸道傳染的,病人通過咳嗽、打噴嚏、高聲喧譁等使帶菌液體噴出體外,健康人吸入後就會被感染。
1945年,特效藥鏈黴素的問世使肺結核不再是不治之症。此後,雷米封、利福平、乙胺丁醇等藥物的相繼合成,更令全球肺結核患者的人數大幅減少。在預防方面,主要以卡介苗(BCG)接種和化學預防為主。其中1952年異煙肼的問世,使化學藥物預防獲得成功。異煙肼的殺菌力強,副作用少,且又經濟,所以便於服用,服用6至12個月,10年內可減少發病50%至60%。抗生素、卡介苗和化療藥物的問世是人類在與肺結核抗爭史上里程碑式的勝利,為此,美國在20世紀80年代初甚至認為20世紀末即可消滅肺結核。然而,這種頑固的“癆病”又向人類發起了新一輪的挑戰。據世界衛生組織的報告,近年來肺結核在全球各地死灰復燃,1995年全世界有300萬人死於此病,是該病死亡人數最多的一年,大大超過了肺結核流行的1900年。在2003年3月24日“世界防治結核病日”之際,“制止結核病”世界行動組織公布的數字顯示,目前全球每天仍有5000人死於結核病,而每年罹患結核病的人數超過800萬。
造成上述情況的原因主要是近20年世界許多地區政策上的忽視,致使肺結核防治系統遭到破壞甚至消失;愛滋病人感染肺結核的幾率是常人的30倍,大部分愛滋病患者都死於肺結核,隨著愛滋病在全球蔓延,肺結核病人也在快速增加;多種抗藥性結核病菌株的產生,增加了肺結核防治的難度等。
世界防治結核病日
為此,世界衛生組織宣布“全球處於結核病緊急狀態”。為進一步推動全球預防與控制結核病的宣傳活動,該組織於1995年底決定把每年的3月24日定為“世界防治結核病日”,並於1997年宣布了一項被稱為“直接觀察短期療程”的行動計畫,其目標是治癒95%的肺結核患者。這項計畫的核心是醫務工作者直接監督患者服藥,以免患者延誤治療,造成疾病的大面積傳播。結核病的類型
結核病分原發和繼發性,初染時多為原發(Ⅰ型);而原發性感染後遺留的病兆,在人抵抗力下降時,可能重新感染,通過血循環播散或直接蔓延而致繼發感染(Ⅱ型~Ⅳ型)。1、原發性肺結核(Ⅰ型):常見於小兒,多無症狀,有時表現為低熱、輕咳、出汗、心跳快、食慾差等;少數有呼吸音減弱,偶可聞及乾性或濕性羅音。
2、血行播散型肺結核(Ⅱ型):急性粟粒型肺結核起病急劇,有寒戰、高熱,體溫可達40℃以上,多呈弛張熱或稽留熱,血白細胞可減少,血沉加速。亞急性與慢性血行播散性肺結核病程較緩慢。
3、浸潤型肺結核(Ⅲ型):肺部有滲出、浸潤及不同程度的乾酷樣病變。多數發病緩慢,早期無明顯症狀,後漸出現發熱、咳嗽、盜汗、胸痛、消瘦、咳痰及咯血。血常規檢查可見血沉增快,痰結核菌培養為陽性。
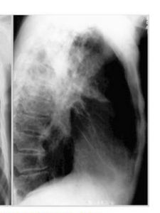
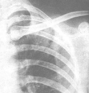
4、慢性纖維空洞型肺結核(Ⅳ型):反覆出現發熱、咳嗽、咯血、胸痛、盜汗、食慾減退等,胸廓變形,病側胸廓下陷,肋間隙變窄,呼吸運動受限,氣管向患側移位,呼吸減弱。血常規檢查可見血沉值增快,痰結核菌培養為陽性,X線顯示空洞、纖維化、支氣管播散三大特徵。

