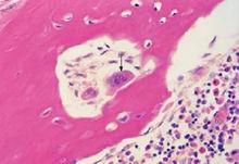
骨原細胞(osteogenitor cell)位於結締組織形成的骨外膜及骨內膜貼近骨組織處。細胞較小、梭形、核橢圓、胞質少。骨原細胞為骨組織的幹細胞,隨著骨生長、改建、分化為成骨細胞。
骨原細胞
骨原細胞
骨原細胞(osteogenitor cell)為骨組織的幹細胞,位於結締組織形成的骨外膜及骨內膜貼近骨組織處。
骨原細胞(osteogenitor cell)位於結締組織形成的骨外膜及骨內膜貼近骨組織處。細胞較小、梭形、核橢圓、胞質少。骨原細胞為骨組織的幹細胞,隨著骨生長、改建、分化為成骨細胞。
骨原細胞
骨原細胞成骨源性肉瘤是最常見的骨惡性腫瘤,它來源於有成骨潛能的間葉細胞,由惡性增殖的肉瘤細胞直接產生腫瘤性骨樣組織或不成熟骨,也稱為成成骨源性肉瘤,是指瘤細胞能...
概述 疾病名稱 英文名稱 別名 分類腫瘤(tumor)是機體在各種致癌因素作用下,局部組織的某一個細胞在基因水平上失去對其生長的正常調控,導致其克隆性異常增生而形成的新生物(neogrow...
簡介 腫瘤的一般形態與結構 腫瘤的命名和分類 腫瘤的異型性 腫瘤細胞的代謝特點豬骨即豬科動物豬的骨頭。我們經常食用的是排骨和腿骨。煮湯性寒涼,能壯腰膝,益力氣,補虛弱,強筋骨。若脾胃虛寒,消化欠佳之人食之,易引起胃腸飽脹或腹瀉,故...
營養成分 藥性功效 挑選方法 飲食禁忌 文獻參考骨科學,又稱矯形外科學。是醫學的一個專業或學科,專門研究骨骼肌肉系統的解剖、生理與病理,運用藥物、手術及物理方法保持和發展這一系統的正常形態與功能,以及...
進展 發展方向 心理護理 骨折的癒合方式 影響骨折癒合的因素骨科學,又稱矯形外科學。是醫學的一個專業或學科,專門研究骨骼肌肉系統的解剖、生理與病理,運用藥物、手術及物理方法保持和發展這一系統的正常形態與功能,以及...
進展 發展方向 心理護理 骨折的癒合方式 影響骨折癒合的因素骨淋巴瘤是一類較少見的惡性腫瘤, 是淋巴瘤晚期全身播散的表現,有時兩者很難區分,1928年,Oberlin首次發現了原發性骨淋巴瘤(primary ly...
簡介 分期及分類 臨床表現 病理特點 輔助檢查膀胱小細胞癌(Smallcellcarcinomaoftheurinarybladder,SCBC),是泌尿系腫瘤中一種比較罕見的惡性腫瘤。但因其在臨...
疾病起源 臨床特點 診斷方法 生物免疫治療 治療預後原發性骨淋巴瘤(primary bone lymphoma,PBL)是指病變僅限於骨骼系統或周圍軟組織浸潤,但無全身症狀的淋巴瘤。這種疾病比較少見,僅占...
概述 發病機制 臨床表現 診斷 檢查