基本概述
食管類癌(carcinoid of esophagus)起源於神經外胚層,主要發生於消化道,占消化道惡性腫瘤的0.87%,為阿普多(Apudoma產肽激素瘤)系腫瘤,又稱嗜銀細胞瘤或嗜鉻細胞瘤。
發病機制
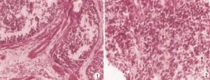
正常的食管黏膜基底部有散在的嗜銀細胞(Kulchitsky細胞),食管類癌即由食管黏膜底部散在嗜銀細胞惡變發生,是一種低度惡性神經內分泌腫瘤,屬於瀰漫性神經內分泌系統(diffuse neuroendocrine system,DNS)。其大體病理表現為息肉狀或結節潰瘍型,大小為0.7~12cm,瘤體邊緣清晰,質韌,灰白色。結節潰瘍狀常提示類癌已處於中晚期。顯微鏡下腫瘤細胞形態較一致,細胞界限大多清晰,腫瘤細胞排列成條索狀、實性片狀、部分呈腺管或腺泡狀,但無明顯管腔。核圓形或橢圓形,染色質密集,核仁少見,核分裂少。胞漿少,略嗜酸性,胞漿較豐富者可見銀染顆粒,免疫組織化學檢查腫瘤細胞質內可顯示神經特異性烯醇化酶(NSE)、嗜鉻顆粒蛋白(chromogranin)及5-羥色胺陽性。瘤細胞聚集,周圍有不等量結締組織圍繞,間質中有豐富的血竇。由於嗜銀細胞多見於食管中段及下段黏膜,所以食管類癌好發於食管中下段。
疾病檢查
食管類癌活檢陽性率低,病理活檢多報導為分化差的腺癌或小細胞癌。
⒈食管鋇餐造影
可表現為食管黏膜破壞,不規則充盈缺損,食管外可見軟組織影,可有食管狹窄,管壁僵硬,亦可見平滑肌瘤樣改變。
⒉內鏡檢查
這是診斷該病的首選方法,可確定腫瘤的部位、大小和侵犯深度,內鏡下腫瘤邊界清晰,邊緣多隆起,可位於食管的上、中或下段。
⒊生長抑素受體閃爍掃描
有報導採用生長抑素受體閃爍掃描來診斷類癌,因為類癌組織中有生長抑素高親和位點,用放射性同位素標記生長抑素類同物奧曲肽可對80%~90%類癌病灶作出定位診斷,還可顯示肝臟及腹腔外轉移灶。
臨床診斷
食管類癌多見男性,發病年齡26~77歲,平均54歲。主要症狀為吞咽時胸骨後不適或噎痛感,嚴重吞咽梗阻少見。食管類癌區別於其他食管惡性腫瘤的臨床特點是可合併類癌綜合徵,尤其合併肝轉移時。因為類癌是一種產生小分子多肽或胺類激素的腫瘤,分泌5-羥色胺、組織胺、激肽等生物活性物質,病人在臨床上可有顏面潮紅、腹瀉、氣喘、水腫等類癌綜合徵表現;發生肝轉移時,它分泌的5-羥色胺(5-HT3)可直接進入肝靜脈,而不經肝內之單胺氧化酶作用而滅活,使5-HT3濃度增高而引起症狀。
臨床上病人有顏面潮紅、腹瀉、氣喘、水腫等類癌綜合徵表現伴吞咽時噎痛或感胸骨後不適等,應想到該病的可能。食管內鏡檢查和組織病理學檢查可明確診斷。
治療方法
食管類癌的治療應以手術切除為主,手術治療的正確與否關係到病人的生存質量和生存期,切除原發瘤與轉移腫瘤,病人可獲長期生存。放療與化療對類癌皆無效。類癌綜合徵可選用5-HT3抑制劑(α-甲基多巴)和5-HT3阻斷劑(二甲基麥角新鹼)等藥物進行有效控制。
1983年,北川勛首次從紅參中分離出20(S)-人參皂苷-Rh2。現在已經證實人參皂苷Rh2具有誘導癌細胞凋亡、分化及調控細胞周期的抗癌活性,通過增強人體的自然免疫能力,抑制癌細胞增殖和轉移的作用。

