正常值
(1) 吞咽困難或不適感。(2) 食管異物、破裂、穿孔者。(3) 明確食管腫瘤的性質、部位和範圍。(4) 了解門靜脈高壓病人有無食管靜脈曲張。(5) 食管先天性疾病。(6) 了解縱隔腫瘤、心血管疾病等對食管的壓迫。
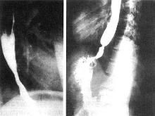
臨床意義
(1) X線檢查可確定腫瘤的上、下範圍,尤其是雙對比造影,對治療有一定參考價值。若要根據食管的擴展性來判斷病源範圍、食管周圍的侵蝕及淋巴結轉移和疾病分期,則必須依靠CT檢查。(2) 食管異物檢查首先應透視頸部及胸部,以觀察是否有不透X線的異物存留,然後可口服浸以鋇劑的棉花球,如棉花球停留在一個固定部位而不再下降時,應懷疑有異物存在的可能。此法對雞骨或魚骨刺有效,但有時有假陽性,應結合患者的病史及食管鏡檢查進行最後確診。(3) 氣鋇雙重對比造影,可清晰顯示食管黏膜結構。
注意事項
一般情況在檢查前病人不需作任何準備,但在賁門痙攣、食管裂孔疝或疑為食管下端賁門部腫瘤時,應在空腹時進行檢查,以免食物或瀦留物的存在影響檢查及診斷。
相關疾病
小兒食管異物,自發性食管破裂,Plummer-Vinson綜合徵,缺鐵性吞咽困難,原發性食管惡性黑色素瘤,食管穿透性損傷,食管外壓和牽拉,食管異位組織,食管過短,食管蹼和食管環
相關症狀
吞咽乾食物時胸骨後有阻塞感或鈍痛,飽食後胸痛,食物下咽時頸部有氣過水聲感,鐘擺征,顏面的火焰狀母斑,食管體平滑肌部分蠕動停止,食管對稱性膨大,咽頰部燒傷,咽部有異物感,食管重複

