症狀
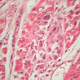
纖維素樣壞死,成團的風濕細胞及伴隨的淋巴細胞、漿細胞等共同構成了特徵性肉芽腫即風濕小體或阿少夫小體(Aschoff body),它可小到由數個細胞組成大到近1cm,以致眼觀可見。呈球形、橢圓形或梭形。典型的風濕小體是風濕病的特徵性病變,並提示有風濕活動。此期約2~3個月。風濕細胞的本質是組織細胞,該細胞免疫組化表達vimentin、mac387、lysozyme
相關
風濕性心肌炎的病變除風濕小體外,還有間質瀰漫性的炎性細胞浸潤伴有肌細胞損害,及滲出間質性心肌炎。在導致心力衰竭時比風濕小體更加重要。風濕性心內膜炎發生時往往在心內膜下形成一層嗜酸性玻璃樣變的寬頻。風濕小體與之成直角排列瓣膜邊緣有一層纖維素樣嗜伊紅染色的贅生物。這些病變還可涉及瓣環瓣葉和腱索。當瘢痕收縮時就形成增厚和縮短造成瓣膜功能上的狹窄或關閉不全。瘢痕區還可有鈣鹽沉積形成硬化二尖瓣最易受累其次是主動脈瓣三尖瓣和肺動脈瓣。
關節膜及周圍組織水腫,滑膜下結締組織中有粘液性變,纖維素樣變及炎症細胞浸潤,有時有不典型的風濕小體。由於滲出物中纖維素通常不多,易被吸收,一般不引起粘連。活動期過後並不產生關節強直或畸形等後遺症。

