流行病學
接觸鴿糞可致隱球菌腦膜炎1.吸入空氣中的孢子,此為主要途徑,隱球菌孢子經肺到腦部;
2.創傷性皮膚接種;
3.吃進帶菌食物,經腸道播散全身引起感染。
病原學
隱球菌腦膜炎病理學
1.肉眼觀察病變:早期的病變處呈黃白色膠凍樣外觀。腦肉芽腫表面可呈結節狀,部分可呈囊狀,透明、黃白色、質堅硬。切面可見纖維交錯,呈灰白色、黃白色,其間可見半透明小囊腔。2.鏡下觀察病變:較新的病變主要由大量繁殖的隱球菌及其引起的炎性細胞浸潤構成。浸潤的炎細胞為單核細胞、淋巴細胞及漿細胞。損害顯示膠樣液化,囊腔內有多量隱球菌。較陳舊的病變則表現為肉芽腫形成,主要由單核細胞、上皮樣細胞及多核巨細胞等構成。在受累的大腦、小腦、中腦、延髓、蛛網膜下腔等處,均可有大小不等的肉芽腫形成。可見星狀細胞增生肥大的改變。3.病理切片中的新生隱球菌及其變種的形態:一般新生隱球菌呈圓形或橢圓形,直徑2~20mm,多數聚集成堆,少數分散在組織內。HE染色標本,胞壁外常有3~5mm的空隙(系菌體膠樣莢膜未著色之故),部分膜亦可染成淡紅色。PAS染色,菌體莢膜均呈紅色。在較新鮮的病灶內,菌體大小不等,小的居多,易見到單芽生的無性繁殖方式。在較陳舊的病灶內,菌體較大,很少見芽生狀態,卻可見一側胞壁塌陷呈碗形或盔形的退變菌體。
致病機制
正常人常暴露於新生隱球菌的環境中,但發病者極少,人體對隱球菌的免疫包括細胞免疫與體液免疫。巨噬細胞、中性粒細胞、淋巴細胞、自然殺傷細胞起著重要作用。體液免疫包括:抗莢膜多糖抗體以及補體參與調理吞噬作用,協助吞噬細胞吞噬隱球菌。只有當機體抵抗力降低時,病原菌才易於侵入人體而致病。臨床表現
隱球菌性腦膜炎主要表現的是中樞神經系統的損害。臨床上可分為4型:即腦膜炎型、腦膜腦炎型、肉芽腫型和囊腫型。腦膜炎型
本型最常見,可呈急性、亞急性、慢性過程,主要表現為腦膜炎的症狀體徵。(1)上呼吸道感染症狀:約2/3患者首先表現為上呼吸道感染症狀,如畏寒、發熱、頭痛、頭昏、咽痛、鼻塞、噴嚏、噁心、納呆、全身不適等症狀,經一般治療無效,症狀逐漸加重。
(2)頭痛:多數患者開始頭痛較輕,以後逐漸加重;少數患者一開始便出現劇烈頭痛,伴噁心、嘔吐。頭痛常從兩側顳部開始,繼而出現在前額、枕部,多兩側發生,也可為偏側頭痛。一般為脹痛伴頭頂部壓迫感,亦可為撕裂痛或刀割樣痛,開始多為間歇性發作,每次發作幾分鐘,每天發作數次至十餘次。發作時患者精神萎靡,或煩躁不安。以後可出現持續性疼痛,可伴陣發性加劇,少數患者在較強的光線或較強的聲音刺激下便可誘發疼痛發作。
(3)噁心、嘔吐:80%~90%的患者有噁心、嘔吐。噁心、嘔吐可與頭痛同時出現,但多數患者是在頭痛出現1~2周后才出現嘔吐,可為噴射性或非噴射性,嚴重時食後即吐,不能進食,甚至飲水服藥也可誘發嘔吐。
(4)發熱:50%~70%的患者有發熱,熱型不規則,一般開始為低熱,體溫在37.5~38℃,少數患者也可出現39℃以上的高熱。如果持續出現40℃以上高熱,則預後極為不良,常為臨死前徵兆。抗真菌藥物也可出現反應性暫時性高熱,但停藥後消失。
(5)腦膜刺激症和錐體束征:可出現頸項強直,克尼格征、奧本罕征及巴彬斯基征可為陽性,但多數為弱陽性,且一般在病程晚期出現。
(6)眼部症狀:可出現弱視、復視、斜視、怕光、眼球震顫、眼球外展受限、瞳孔大小不等、視網膜炎、視乳頭水腫、眼底靜脈怒張、灰白色滲出及出血,甚至出現視神經萎縮,以至完全失明。
(7)精神症狀:40%以上的患者有精神症狀,如抑鬱、淡漠、易激動以至喊叫、譫妄、癲癇大發作、朦朧、昏迷等。
(8)大汗:部分病例可在頭頸、軀幹、四肢等部位大量出汗,且常以下午或晚間為重,與體溫升高無明顯關係,甚至在低熱狀態時亦大汗淋漓,此症狀往往發生在病情嚴重的晚期病例。
(9)其他:可侵犯第7對腦神經而出現中樞性面癱。若第8對腦神經受累,則出現聽力下降,甚至耳聾。若第12對腦神經受累,可發生舌下神經癱。此外,腦膜炎型病例常伴有肺、皮膚、骨骼、腎等器官損害的表現,少數病例可侵犯肝臟,引起黃疸及肝功能障礙。急性腦膜炎型常起病急驟,突然發病,若不及時救治,常在數天至3周內死亡。亞急性型常從類似上呼吸道感染的症狀開始,以後逐漸加重,1~2個月才出現典型的腦膜炎症狀。慢性型可反覆出現症狀及緩解,病程可遷延數年,甚至15~20年,機體呈顯著消瘦狀態。
腦膜腦炎型
此型除腦膜受累外,尚有腦實質受累,故稱為隱球菌性腦膜腦炎。隱球菌可侵犯大腦、小腦、腦橋或延髓,因腦實質受累部位的不同而有相應的腦灶性損害徵象,如偏癱、失語或局限性癲癇發作等。肉芽腫型
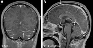
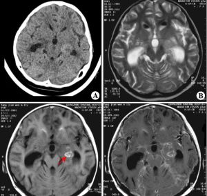
本型較少見。1907年,Lacount首先報告,它是新生隱球菌侵犯腦實質後形成的一種炎症性肉芽腫病變,稱為隱球菌性腦肉芽腫,常好發於大腦、小腦、腦幹的延髓部位。臨床症狀與體徵隨肉芽腫病變的部位和範圍不同以及是否合併腦膜損害而異,位於腦實質內的肉芽腫,其症狀、體徵與腦瘤相似,臨床上難以鑑別,腦脊液壓力常增高,細胞數輕度增多,墨汁塗片及真菌培養可發現隱球菌,但陽性率低。CT、MRI檢查、腦血管造影、腦室造影、腦超聲檢查等,均可能發現腦部占位性病變,術前常難於確診,須行開顱探查術,術中可見肉芽腫表現為魚肉樣腫塊,病理切片發現隱球菌可確診。
隱球菌腦膜炎囊腫型
本型為隱球菌刺激腦膜形成囊腫所致,表現為顱內占位性病變。可有頭暈、頭痛、耳鳴、聽力下降、出汗、嘔吐、走路不穩、單側偏癱等症狀。頸內動脈造影可顯示顱內占位性病變區,開顱手術可見蛛網膜明顯增厚,蛛網膜腔內可形成單個或多個囊腫,囊腫內為無色透明的液體。組織病理檢查顯示囊壁由纖維結締組織構成,並有淋巴細胞、大單核細胞及多形核細胞浸潤,可有少數異物巨細胞存在,囊腔內充滿頻寬闊莢膜的新生隱球菌菌體。檢查
病原菌檢查
隱球菌腦膜炎1.直接鏡檢:取腦脊液標本少許置玻片上,加一滴墨汁混勻後,加蓋玻片。一般新生隱球菌在鏡下即可見圓形或橢圓形的雙層厚壁孢子,外有一層寬闊莢膜,邊緣清楚完整,菌體內可見單個出芽;若為新生隱球菌上海變種,則菌體呈棒形、針形、梭形、瓢形、圓球形及出芽現象。如腦脊液直接製片未發現菌體,可離心沉澱(3000r/min,10min)後重複檢查。
2.菌體計數:腦脊液菌體計數是判斷預後及療效的重要指標。
染液配製:黑色墨水8ml,甘油2ml,蒸餾水2ml,混合搖勻,密封保存備用。
操作方法:將腦脊液標本搖勻,用吸管吸取一定量置於小試管中,另加進等量的染液,混勻。用血細胞計數板計數,在低倍鏡下觀察。按白細胞計數法,將兩個計數板四角的4個大方格及中央大方格(共10個大方格)中的菌數相加,再乘以2,即為每立方毫米腦脊液內的隱球菌數。3.培養:培養基內可加氯黴素,但不可加放線菌酮,因後者抑制本菌生長。取各種標本同時接種於葡萄糖蛋白腖斜面培養基上,置28~37℃孵育2~4d開始生長。若不生長,可將培養管適當振盪,便標本與培養基充分接觸再進行培養,少數病例的標本在2~3周內生長。
腦脊液常規
隱球菌腦膜炎實驗室檢查
血細胞計數輕度或中度增高,大部分病例在(1~2)×1010/L之間,少數可達2×1010/L以上。部分患者血沉可加快。中後期可出現血紅蛋白及紅細胞數減少。抗原檢查
膠乳凝集試驗檢測腦脊液新生隱球菌莢膜多糖抗原,是一種簡便、快速、有效診斷隱球菌性腦膜炎的實驗室方法。它以膠乳顆粒為載體,表面聯接有抗新生隱球菌抗體,形成致敏膠乳懸液,當與患者腦脊液標本作用時,如標本中含有一定量的隱球菌莢膜多糖抗原,則可產生肉眼可見的凝集反應顆粒。抗體檢測
隱球菌腦膜炎診斷
隱球菌性腦膜炎的診斷主要根據臨床症狀、體徵、病理檢查及實驗室檢查,而最後確診有賴於各種標本直接鏡檢、培養或病理檢查發現隱球菌。隱球菌腦膜炎最易誤診為結核性腦膜炎,鑑別要點見表1。此外,還應與化膿性腦膜炎、病毒性腦膜炎、腦膿腫、腦蛛網膜炎、腦血管疾病、格林巴利綜合徵等相鑑別。
治療
抗真菌治療
兩性黴素B兩性黴素B對新生隱球菌的抑菌濃度為0.01~1.56μg/mL,是治療隱腦的首選藥物之一。隱球菌腦膜炎的治癒率為56.6%~81%,但治癒停藥後有1/3病例可能復發,需要進行維持治療。
(1)兩性黴素B的套用方法:靜脈滴注從小劑量開始,首次1~5mg,以後每天增加5mg(兒童1~2mg),直至每天0.5~0.75mg/kg體重。療程根據腦脊液轉陰時間及全身情況確定,一般套用2~3個月,腦脊液轉陰後尚需以氟康唑或伊曲康唑等維持治療3~4個月。
(2)毒副作用:常見寒戰、發熱、肝、腎、心肌、造血系統損害、低血鉀、房性陣發性心動過速,亦有發生心室纖顫死亡的報導。套用兩性黴素B靜脈滴注時應注意以下幾點:
①輸液速度宜慢,控制在20~30dr/min;
②輸液瓶以黑布包裹,以防光線照射破壞兩性黴素B;
③兩性黴素B先用注射用水稀釋為5mg/mL,再用5%葡萄糖溶液500mL稀釋,不宜用生理鹽水稀釋,以免產生沉澱;
④藥液中可同時加入地塞米松2~5mg或氫化可的松50mg輸注;
⑤輸液前肌注異丙嗪25mg;
⑥如使用期間出現嚴重反應,可暫時停藥並對症處理。兩性黴素B鞘內注射可使腦脊液中直接達到較高的抑菌濃度,對重症病例尤為適用。套用時一般以0.1~1mg與地塞米松1~2mg及適量腦脊液混勻後緩慢注入,每周1~3次。鞘內注射兩性黴素B可能出現化學性腦膜炎、頭痛加劇、腿痛、大小便困難、蛛網膜黏連、休克等較嚴重的不良反應。
兩性黴素B脂質體
它是一種雙層脂質體內含有兩性黴素B的新型劑制,兩性黴素B脂質體降低與機體膽固醇的結合而增強對麥角醇的結合,從而降低兩性黴素B的毒副作用,據統計,兩性黴素B脂質體的毒性約為兩性黴素B的1/70。毒性降低主要原因是:兩性黴素B摻入脂質體後其凝聚狀態發生改變,成為完全單一的單體所致。兩性黴素B脂質體中,呈單體的兩性黴素B緩慢釋放進入體內,少量釋放的兩性黴素B不足以損傷宿主細胞膜,卻集中於感染灶內殺死真菌,達到降低毒性的作用。
抗真菌治療注意事項
1.先用注射用水振盪稀釋,使兩性黴素B脂質體全部成為分散相,濃度為4mg/mL;
2.將稀釋的兩性黴素B脂質體加入5%的葡萄糖液進一步稀釋至0.2~2mg/mL後,使用輸血過濾器避光靜脈滴注,6h內滴注完畢,用量可從0.3mg/kg開始,逐漸增量至1~2mg·kg-1 ·d-1 ,對隱球菌腦膜炎總量可達5~8g,8~12周為一療。
3.5-氟胞嘧啶(5-FC):5-FC對隱球菌的最低抑菌濃度為0.09~7.8mg/mL,但單用5-FC可很快產生耐藥性,因此,多與兩性黴素B等聯合套用,兩性黴素B作用於真菌細胞膜,使其通透性發生改變,導致菌體破壞,並使5-FC易於進入真菌細胞膜起作用,因此,聯合套用有協同作用。常用劑量為50~150mg·kg-1 ·d-1 ,分3~4次口服,亦可用1%的5-FC注射液靜脈輸入。不良反應主要有噁心、嘔吐、皮疹、寒戰、肝、腎、造血系統損害,尤其肝損害者慎用。
4.氟康唑:氟康唑為一種廣譜三唑類新型抗真菌劑,相對分子質量為306.3,具有水溶性特徵,口服吸收完全,能很好地通過血腦屏障進入腦脊液,腦脊液中氟康唑藥物濃度可達到血漿藥物濃度的90%~100%,半衰期為36h,80%的氟康唑經腎臟以原型排出,毒副作用,對新生隱球菌的最低抑菌濃度為3.12~6.25mg/mL。一般首次靜脈滴注400mg,以後可改為200~400mg/d靜脈滴注,直至腦脊液新生隱球菌轉陰後改為50~150mg/d口服,維持3~4個月。初期階段與兩性黴素B聯合套用能更快使腦脊液轉陰,並減少兩性黴素B的用量和毒副作用。毒副作用:不良反應較輕,少數患者可出現噁心、皮疹、肝酶升高、血鉀降低,也有發生Stevens-Johson綜合徵的報導。
5.伊曲康唑:伊曲康唑是一種廣譜三唑類抗真菌劑,口服受胃腸道因素影響較大,不易通過血腦屏障進入腦脊液,但在腦組織中有較高的濃度,對隱球菌的最低抑菌濃度為0.01~12.5mg/mL。我們主張與兩性黴素B合用或作為腦脊液轉陰後的維持治療,口服劑量為200~400mg/d。毒副作用:少數患者出現噁心、嘔吐、皮疹、肝酶升高,但一般不影響治療。
抗真菌治療目前主張分期聯合治療。即分初期治療與維持治療二個階段,聯合使用抗真菌劑,這樣有利於治療轉歸的判斷及調整抗真菌劑的種類和用量。初期治療一般持續8~12周,套用兩性黴素B與5-FC或三唑類抗真菌劑合用,以儘快使腦脊液新生隱球菌轉陰,腦脊液新生隱球菌轉陰後,口服三唑類抗真菌劑維持治療3~4個月,以防復發。
降顱壓
對於出現的顱內高壓症狀,必須及時處理,否則可能發生腦疝引起死亡。可採用20%甘露醇250mL快速靜脈滴注,每6~8h一次,必要時還可套用25%的白蛋白溶液20mL加呋塞米(速尿)20~40mg靜脈注射,兩者交替套用可加強降顱壓效果。此外,還可套用50%的高滲萄萄糖60mL靜脈內注射及50%甘油糖水口服,也有一定的降顱壓作用。如使用脫水利尿劑治療效果仍不理想,可採用腰椎穿刺法緩慢放出腦脊液以達到減壓的目的。對頑固性顱內壓增高而以上治療無效者,可採用腦室引流方法減壓。
糾正電解質紊亂
在中樞神經系統隱球菌病患者的治療過程中,由於大量使用脫水利尿劑以及兩性黴素B與皮質激素等,容易造成低血鉀及其他水電解質紊亂,應及時複查及時糾正。對低血鉀症,一般在治療過程中應每天靜脈補鉀4~8g,口服補鉀3~6g,具體劑量視病情而定。
支持療法
對於意識清楚的患者應鼓勵進食高蛋白高營養食物,增強抵抗力,同時可輸入新鮮人血漿或全血,補充各種維生素。對有消瘦、納呆、失眠等症狀的患者,也可按中醫扶正祛邪治療法,套用中藥治療,此外,加強心理護理,增強患者戰勝疾病的信心。
手術治療
對局限性的腦部隱球菌肉芽腫等可採用手術切除,術後根據情況使用全身抗真菌劑治療,以達到根治目的。

