病因
本病是在外傷後或於清除顱內血腫一段時間後又在腦內不同部位形成血腫。
臨床表現
大部分遲發性外傷性腦內血腫患者的原發傷不重,患者在經過一階段好轉或穩定期,數天或數周后又逐漸或突然出現意識障礙,出現局灶性神經體徵或原有症狀體徵加重,部分患者的原發傷可以很重,傷後意識障礙亦可一直無改善或加重。複查CT才證實為遲發性腦內血腫。
檢查
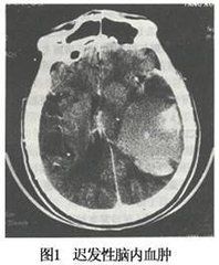
腦CT特點是血腫呈混雜密度,血腫內有陳舊出血和新舊不同時間的出血,並呈擴張性占位性病變表現。MRI也有助於診斷。
診斷
遲發性腦內血腫的診斷主要依靠反覆的CT掃描。其病史診斷要滿足以下4點:1.無腦血管病。2.有明確頭外傷史。3.傷後第1次CT掃描無腦內血腫。4.經過一個好轉期或穩定期後出現卒中發作。
治療
確診後應及早作開顱,清除血腫,促進功能恢復。該病的預後較差,病死率為25%~55%,提高救治水平的關鍵在於加強臨床觀察,儘早複查CT,及時診斷、迅速清除血腫,並給予合理的術後處理。

