概述
惡性造釉細胞瘤病因
造釉細胞瘤為頜骨中心性上皮腫瘤,在牙源性腫瘤中較為常見,關於造釉細胞瘤的組織來源,尚有不同的看法,但大多數認為由釉質器或牙板上皮發生而來,造釉細胞瘤肉眼觀為實質性或囊性,亦可在同一腫瘤中存在實質性及囊性兩種成分,囊性者囊腔內可含褐色液體,顯微鏡下觀察腫瘤細胞呈大小不同的團塊或條索,分散於結締組織的間質內,按照世界衛生組織及國內的常用分類,通常可將造釉細胞瘤分為五種類型,即:濾泡型,叢狀型,顆粒細胞型,鱗狀化生型和基底細胞型。臨床症狀
造釉細胞瘤多見於青壯年,好發於下頜磨牙區及升枝部。生長緩慢,病程較長,可數年至十年。一般無明顯自覺症狀。腫瘤大小不等,可為實質性或囊性。由於腫瘤逐漸增大使頜骨膨隆,顏面出現畸形,皮層骨受壓吸收、變薄,按之常有“桌球”樣彈性感覺。當腫瘤侵犯牙槽骨時,可使牙齒移位、牙根吸收、鬆動甚至脫落。如並發感染可出現紅腫、疼痛等炎症症狀。腫瘤繼續增大,皮層骨質完全吸收,即向頜骨外擴展,可影響咀嚼、語言等功能。併發症
上頜骨造釉細胞瘤可波及上頜竇,鼻腔及眼眶,可出現相應的鼻塞,眼眶上移,鼻淚管阻塞等,其次就是本病易復發,相對來說,實體型或多囊型較單囊型易復發,刮治和剜除術較根治性手術易復發,冷凍或燒灼術可降低復發率,多次復發後可侵襲到顳部,眶,額部,甚至顱底,顱內,多次復發手術後,不僅影響面容,造成功能障礙,甚至危及生命。預防
本病為一種先天性疾病,早診斷早治療是本病的防治關鍵,另外對於術後的病人,應積極隨訪,防止復發而造成更嚴重的危害。檢查
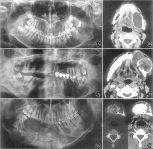
CT檢查1、X線檢查:X線攝片示頜骨膨隆,不規則多房性囊性透光影像,此影像邊緣不光滑,有半月狀切跡,分房大小懸殊,波及牙槽骨者可有明顯的“根尖浸潤征”--牙根尖的牙槽突骨質呈不規則的破壞與吸收,牙根可呈鋸齒狀或截斷樣吸收,如有迅速長大同時伴疼痛潰瘍等症狀,X線表現骨間隔破壞消失,呈斑點狀影時,應疑有惡性變。
2、穿刺檢查:穿刺囊液常為褐色,有時可有膽固醇結晶,但無角化上皮。
3、病理檢查:病理組織學檢查確診。
4、CT檢查:
高分辨螺鏇CT配合牙科軟體技術,特別是多層螺鏇CT的容積數據採集技術,不僅能夠重組出反映頜骨解剖特點的二維曲面圖像和任意方位上的二維圖像,而且能夠精細顯示病變的三維結構;由於CT有較高的密度解析度,還可顯示病變的內部結構和囊內容物的密度;此外,套用不同的窗技術,還可分別觀察骨,軟組織病變的細節,所有這些改善均有助於頜骨造釉細胞瘤特徵的顯示。
診斷鑑別
1.頜骨無痛性進行性腫大,可致面部畸形,往往無特殊自覺症狀。2.咬合關係錯亂,牙移位元鬆動或脫落,偶有病理性骨折。
3.頜骨膨隆,表面結節狀,凹凸不平,有時伴有桌球樣壓彈感。
4.X線攝片示頜骨膨隆,不規則多房性囊性透光影像,此影像邊緣不光滑,有半月狀切跡,分房大小懸殊,波及牙槽骨者可有明顯的“根尖浸潤征”--牙根尖的牙槽突骨質呈不規則的破壞與吸收,牙根可呈鋸齒狀或截斷樣吸收。
5.如有迅速長大同時伴疼痛潰瘍等症狀,X線表現骨間隔破壞消失,呈斑點狀影時,應疑有惡性變。
6.穿刺囊液常為褐色,有時可有膽固醇結晶,但無角化上皮。
7.病理組織學檢查確診。
治療
本病為一種先天性疾病,早診斷早治療是本病的防治關鍵。另外對於術後的病人,應積極隨訪,防止復發而造成更嚴重的危害。手術治療,應按臨界瘤治療原則進行,即在腫瘤外0.5cm左右處切除整個腫瘤,對於較小的下頜骨腫瘤可行頜骨方塊切除,較大的頜骨腫瘤則應行頜骨整塊切除,切除後之組織缺損可立即植骨修復。 一般性手術的預防性抗感染選用磺胺類藥物(如複方新諾明)或主要作用於革蘭氏陽性菌的藥物(如紅黴素、青黴素等);手術範圍較大,同時植骨或同時作較複雜修復者則一般採用聯合和藥,較常用為“作用於革蘭氏陽性菌的藥物(如青黴素)+作用於革蘭氏陰性菌的藥物(如慶大黴素)+作用於厭氧菌的藥物(如滅滴靈);手術前後感染嚴重或術創大,修複方式複雜者可根據臨床和藥敏試驗選擇有效的抗生素。
頜骨造釉細胞瘤是一種良性腫瘤,但由於它具有局部浸潤性生長的特點,並在瘤生存較長時間或不適當的處理時間較長時可有少數出現惡變,故其屬於一種臨界瘤(即界於惡性腫瘤和良性腫瘤之間的一種腫瘤),所以本病一旦診斷確立,應儘早手術治療,因腫瘤隨時間推移逐漸增大,將造成更多的組織缺損及功能障礙,如發生於上頜骨還可侵入顱底部位導致手術難以切淨,本病經及時適當的手術處理後,預後良好,術後造成的組織缺損可通過自體骨移植,骨代用品植入等方式修復,上頜骨切除後的缺損可通過人工修復體恢復形狀及咀嚼功能,下頜骨缺損自體骨移植後還可通過種植牙技術等恢復咀嚼功能。
治癒標準
1.治癒:經病理檢查證實在正常頜骨範圍內切除腫瘤,頜骨缺損已做即刻植骨修復術,或用代用品植入,外形恢復正常,腫瘤切除後未作即刻植骨術或植骨術後感染失敗,經治療感染控制功能恢復尚可。2.好轉:復發的巨大腫瘤(如接近顱底)基本切除乾淨者。
3.未愈:術後病檢證實腫瘤未切除乾淨需再次手術。
飲食保健
頜骨造釉細胞瘤的食療(以下資料僅供參考,詳細需諮詢醫生)參茸燉龜材料:龜肉500克,人參10克,鹿茸3克,苡米50克,調料適量。製法:將龜宰殺,去頭、爪及內臟,洗淨,切塊,諸藥布包同放入鍋中,加生薑、清水等,煮開水後去浮沫,加料酒,文火煮至肉熟,調入食鹽,味素適量。
八珍雞湯
材料:母雞1000克,當歸、白芍、熟地、川芎、白朮、甘草各6克,黨參、茯苓各10克,生薑3片,調料適量。製法:將雞肉洗淨,切塊,放沙鍋中,加生薑、諸藥(布包)及清水適量,武火煮沸後,轉文火燉至雞肉爛熟,去藥包,調入食鹽、胡椒粉、味素即成。
歸參燉雞
材料:母雞500克,當歸10克,三七參10克,調味料適量。製法:將雞肉洗淨,切塊,放沙鍋中,加生薑、諸藥(布包)及清水適量,武火煮沸後,轉文火燉至雞肉爛熟,去藥袋,調入食鹽、胡椒粉、味素即成。
飲食禁忌
(1)宜多吃具有抗腫瘤作用的食物:山羊血、鱟、蟹、羊腦、海參、牡蠣、鱉、龜、沙蟲、鹿血、大葉菜、麥片、小莧菜、油菜籽、沙棗、香芋、栗、野葡萄。(2)宜吃具有止痛消腫作用的食物:蘆筍、藕、慈姑、山楂、獺肉、鷺肉、蟹、鱟、海龜、海蛇。
(3)宜吃預防放療、化療副作用的食物:蜂乳、核桃、獼猴桃、銀耳、香姑、大頭菜、花粉。
(4)忌辛辣刺激性食物,如蔥、蒜、姜、花椒、辣椒、桂皮等。
(5)忌肥膩食物。
(3)忌菸酒。

