病因
血友病是一種遺傳性凝血因子缺乏病,可自發性或輕微創傷即出血。常見關節內出血,膝關節出血約占總病例數2/3。關節內反覆出血可導致關節退行性變。
臨床表現
1.血友病根據缺乏凝血因子的不同,分為A型,即因子VIII缺乏;B型,即因子IX缺乏;C型,即因子XI缺乏。除關節病變外,在筋膜下、肌肉內、骨膜下及骨內都可出血,出現血友病性囊腫。
2.血友病性關節炎可在整個兒童時期表現為關節內反覆出血,重症在開始走路時就見有關節內出血,以膝關節為最多,其次為踝、肘、肩和髖。可分為三期:①第一期為出血期,關節內突然急性出血伴劇痛,關節明顯腫脹,局部皮膚溫度增高,壓痛明顯,運動受限,關節呈保護性僵直狀態。有時體溫升高,白細胞增多,易誤診為化膿性關節炎,甚至誤行穿刺或切開,造成致命危險。血腫吸收緩慢,需3~6周。②第二期為炎症期,由於關節內反覆出血、關節囊及滑膜增厚,繼發關節腫脹,運動受限,伴有摩擦音。③第三期為退變期,關節運動嚴重受限,肌肉廢用性萎縮,往往出現屈曲攣縮畸形,嚴重甚至病殘。
3.根據凝血因子缺乏的程度,可分為重症、中度與輕症。①<1%為重症,出生後1年左右就可發生關節內出血,學齡前90%以上出現異常出血;②<5%為中度,有時出血,但出血頻率較少;③在5%~25%為輕症,幾乎見不到自發性出血,僅在創傷或拔牙時有異常出血。凝血因子在70%~100%表現為正常。
檢查
1.一般檢查
血小板計數、出血時間、血塊回縮、凝血酶原時間、凝血酶時間、纖維蛋白原定量等檢查均可正常。束臂試驗陰性、凝血時間延長為血友病的特徵性表現,但僅在因子Ⅷ:C活性低於1%~2%時才延長,二者比值>4%時凝血時間可正常。
2.初篩試驗
凝血酶原消耗試驗(PCT)、白陶土活化部分凝血活酶時間(APTT)、簡易凝血活酶生成試驗(STGT)有助於輕型和重型血友病A、B型的診斷。
3.確診試驗
可用活化部分凝血活酶時間、簡易凝血活酶生成試驗、Biggs凝血活酶生成(Biggs TGT)糾正試驗鑑定血友病類型。如凝血酶原消耗及凝血活酶生成試驗不正常,可做糾正試驗。正常血漿經硫酸鋇吸附後,尚含有因子Ⅷ、Ⅺ;正常血清中含有因子Ⅸ、Ⅸa,如患者血漿的活化部分凝血活酶時間僅被正常硫酸鋇吸附血漿糾正,為因子Ⅷ缺乏症;僅被正常血清糾正,為因子Ⅸ缺乏症;如二者皆可糾正,為因子Ⅸa缺乏症。
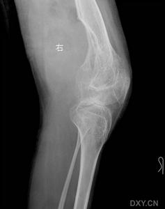
4.X線檢查
不同時期X線檢査可見骨質正常、骨質疏鬆、骨囊腫、關節破損等表現。
診斷
首次發作診斷比較困難,輕微外傷致關節血腫或既往有出血傾向可考慮本病,診斷主要根據家族史和相關檢査結果。若凝血時間延長,結合凝血活酶生成試驗等可證實診斷。
治療
1.輸新鮮血或成分血提高抗凝物質減少自發性或創傷性出血,血友病B和C型患者可輸儲存2周的全血或血漿。
2.給予腎上腺皮質激素可減少炎性反應,關節內注射透明質酸酶有助於血腫的吸收。
3.臥床休息,抬高患肢,冰敷,套用夾板固定關節。
預後
如果治療正確、及時,關節病變可較輕,甚至不發生關節病變。如處理不當則關節病變易加重。

