概述
蠟油樣骨病症狀及表現
蠟油樣骨病早期並無明顯症狀,但隨著病情惡化加重,會有以下症狀出現:1.局部疼痛:局部疼痛是蠟油樣骨病的主要症狀,並且受累患肢的痛感更強烈,活動時痛感明顯加重,並且痛感與年齡成正比。
2.關節增粗:患肢關節增粗也是蠟油樣骨病的症狀,有的患者會出現漸進性包塊,皮溫正常,包塊質地比較硬,按壓時伴有壓痛感。
3.關節受限:因患者患肢關節增粗,導致關節活動受限,活動度較差,伴有骨變形情況。
4.肢體縮短:患者易勞累,常伴有肢體縮短的情況,因關節受限導致肌肉萎縮。
病理性改變
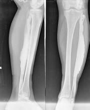
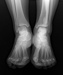
對於蠟油樣骨病,肉眼觀察患肢一骨或多骨發生骨膜及骨內膜增生,呈不規則的條狀硬化,致骨輪廓變形,骨皮質萎縮,不出現膨脹現象.病變區無骨破壞。鏡下所見增生骨組織呈骨松質結構,成熟骨與未成熟骨混合存在。骨小梁粗厚且粗細不均。骨小梁中有纖維性浸潤或纖維組織替代,髓腔內含有脂肪組織,或為纖維組織代替。軟組強內異位骨化為成熟的骨組織及軟骨組織。臨床診斷
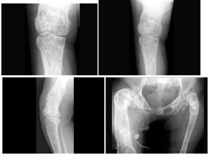
蠟油樣骨病從X線平片看出,蠟油樣骨病患者的髖部主要表現為一側髖關節兩端骨質增生硬化,呈斑片狀或團塊狀高密度影,病變可跨越髖關節.但關節腔及關節面保持正常,髖關節周圍軟組織口見異位骨化。表現為骨內有斑點狀或條紋狀緻密影,不易引起輪廓改變,關節多不受影響,即使關節兩端骨質發生明顯新骨堆積,關節面仍保持光滑,附近軟組織中常有骨質沉積。
圖a為右髂骨X光平片、髖臼上緣及股骨近端斑塊狀骨質增生硬化,境界清楚。
圖b為右髂骨CT平掃,除清楚顯示股骨近端表面骨質增生外.髖關節周圍軟組織內亦見團塊狀異位骨化,關節腔正常,關節面依然保持光滑。
治療措施
由於蠟油樣骨病原因尚未明確,治療蠟油樣骨病採用對症治療的方法,或斟酌選用選用關節松解及矯形手術。鑑別診斷
需與之鑑別的疾病有骨斑點症、石骨症、硬化性骨髓炎等。1)骨斑點症:為海綿骨的多發斑點狀骨質硬化,並無骨質的燭淚狀新骨形成。
2)石骨症:全身骨質普遍硬化,皮質增厚,髓腔變窄,骨輪廓無波浪狀變形,骨脆易折。
3)硬化性骨髓炎:多發生於一骨,皮質增厚局部呈梭形隆起,髓腔增生硬化,局部可見骨質破壞及骨膜新生。

