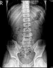
蝴蝶椎是一種脊柱椎體畸形,是椎體的兩個軟骨中心聯合異常,椎體成為左右對稱的兩個三角形骨塊,稱為矢狀椎體裂,在正位X光片上形似蝴蝶的雙翼,故稱蝴蝶椎。如果一側的軟骨中心不發育,則成為半椎體。
蝴蝶椎蝴蝶椎是一種疾病,主要分布於脊柱椎體的兩個軟骨中。
蝴蝶椎是一種脊柱椎體畸形,是椎體的兩個軟骨中心聯合異常,椎體成為左右對稱的兩個三角形骨塊,稱為矢狀椎體裂,在正位X光片上形似蝴蝶的雙翼,故稱蝴蝶椎。如果一側的軟骨中心不發育,則成為半椎體。
蝴蝶椎先天性阻滯椎------------klipple-feil綜合症:短頸畸形,又稱先天性骨性斜頸。
發病症狀 特點《莊子·齊物論》成語故事戰國時期,著名的哲學家莊周常在《莊子》中講寓言故事,藉以說明自己的哲學觀點。 其中《莊生夢蝶》寓言就描繪他自己夢見變成一隻蝴蝶,...
成語資料 成語出處 成語故事 成語示例蝴蝶龍(hudiesaurus)屬名從中國“蝴蝶”拼音而來,分布於中國新疆維吾爾自治區吐魯番盆地,生活於侏羅紀晚期,屬於蜥臀目。其成年個體體長超過30米...
基本信息 物種學史 形態特徵 分布範圍《莊子·齊物論》成語故事戰國時期,著名的哲學家莊周常在《莊子》中講寓言故事,藉以說明自己的哲學觀點。 其中《莊生夢蝶》寓言就描繪他自己夢見變成一隻蝴蝶,...
成語資料 成語出處 成語故事 成語示例渡部椎名,是漫畫《蒼界之伊芙》的女主角。
人物信息 簡介一個整體系統,每一個椎體之間和骨盆都有著密切的聯繫和制約關係,個別椎體的錯位不是獨立的,而是脊柱骨盆整體系統出現了問題,椎體的錯位是表,骨盆的錯位才是根,就像是地基和表層建築的關係;只有把脊柱骨盆這個系統整體調正,椎體...
簡介 基本信息 企業文化 門診環境 院長介紹簡介講授《納米材料性能與製備》、《納米材料和納米結構》等碩士生課程。自1995年先後完成了省部級項目7項,獲省、市科技進步三等、...
人物簡介 萬裡脊柱療法(中醫脊柱整體復位法)解析 獲得榮譽 媒體報導視為一個整體系統,每一個椎體之間和骨盆都有著密切的聯繫和制約關係,個別椎體的錯位不是獨立的,而是脊柱骨盆整體系統出現了問題,椎體的錯位是表,骨盆...,椎體的錯位才會根治;治療方案萬裡脊柱療法(中醫脊柱整體復位法)採用...
人物簡介 萬裡脊柱療法(中醫脊柱整體復位法)解析 獲得榮譽 媒體報導視為一個整體系統,每一個椎體之間和骨盆都有著密切的聯繫和制約關係,個別椎體的錯位不是獨立的,而是脊柱骨盆整體系統出現了問題,椎體的錯位是表,骨盆...,椎體的錯位才會根治;治療方案萬裡脊柱療法(中醫脊柱整體復位法)採用...
人物簡介 萬裡脊柱療法(中醫脊柱整體復位法)解析 獲得榮譽 媒體報導