虎斑心
虎斑心石蠟切片常發部位
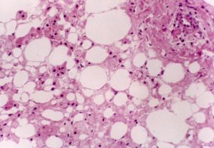
虎斑心
虎斑心是由於機體嚴重貧血等原因,心肌細胞發生脂肪變性,肌纖維彈性降低,心室擴展,肥大,呈局灶性或瀰漫性黃褐色,切面渾濁,結構不清。在左心室內膜下和乳頭肌周圍,在紅褐色(心肌纖維)的背景上出現灰黃色(心肌脂肪變性)條紋或斑塊,狀似虎斑,稱虎斑心。
虎斑心石蠟切片
虎斑心虎斑木,俗稱南美黃花梨。虎斑木為龍舌蘭科常綠灌木狀,株高可達2米,莖直立,葉長卵形,全緣,葉面有銀灰色橫斜斑紋,狀似虎斑而得名,原產於巴西。是一種珍貴稀...
形態特徵 生長習性 物種分布 栽培方法 主要價值虎斑楝,大喬木,高15~29m,直徑1.0m左右。本屬11種,分布於熱帶非洲。該種常從加彭、剛果、喀麥隆赤道幾內亞進口,成批量。適用於刨切薄木、裝飾單板...
木材簡介 樹木及分布 構造特徵 木材材性 木材用途虎鼬(學名Vormelaperegusn'),是一種鼬科的小型哺乳動物,是虎鼬屬唯一一種。虎鼬主要分布在東南歐到中國西部的廣大幹燥地區。由於身體有類似虎...
外形特徵 生活習性 繁殖 生長環境 分布中文名: 科名: 屬名:
小斑葉蘭,拉丁名: Goodyera repens (L.) R.Br ,科名:蘭科Orochidaceae中文藥材名:斑葉蘭。屬蘭科植物,生長於海拔1...
基本簡介 形態特徵 藥材簡介 分布特點 本科簡介農曆9月10月11月出生的需要在結印冊添加“竹雀結印,石疊結印,千葉藤結印”。 農曆12月1月2月出生的需要在結印冊添加“竹雀結印,刳舟剡楫結印,贔屓結...
簡介立定之虎是古代民俗中風水裡面的名詞,是指甲寅年出生的人。出自三命匯通論,是算命的一種。
簡介 民俗中的立定之虎的一些說法農曆9月10月11月出生的需要在結印冊添加“竹雀結印,石疊結印,千葉藤結印”。 農曆12月1月2月出生的需要在結印冊添加“竹雀結印,刳舟剡楫結印,贔屓結...
簡介 民俗中的出山之虎的一些說法