概述
色素失調症(incontinentia pigmenti)又稱Bloch-sulzberger病或Blcoh-si-ments病綜合徵。為一種遺傳性疾病。在發生紅斑、水皰、疣狀或炎症改變後,出現色素性皮損,可伴有眼、骨和中樞神經系統缺陷。
病理病因
本病是一種遺傳性疾病,主要見於女性,是一種X連鎖顯性遺傳性疾病,現證實為定位於X染色體長臂的Xq11(IP1)和Xq28(IP2)突變引起。核因子NF-kB基因調節體(NEMO)基因突變在抑制腫瘤壞死因子誘導的細胞凋亡中起作用,顯示其是發生本病的原因。
一、發病原因
色素失禁症是一種性聯X連鎖的顯性遺傳病,女性多於男性。
二、發病機制
性聯X連鎖顯性遺傳的女性的異常基因,只位於2個X染色體之一,致病基因可被另一個正常X基因保護,因而病變不嚴重,存活率高。男性只有1個X基因,如是致病基因,病變較重,常死於宮內。常有近親結婚及家族遺傳史。
臨床表現
本病是一種罕見的系統性疾病,女性發病傾向明顯。因異常基因位於X性染色體上,女性因存在於另一條X染色體上的正常基因將其掩蓋,故病情不嚴重,而男性異常基因位於僅有的一個X染色體上,因而病情嚴重,常在胎兒期即死亡,因此,臨床上多見於女性患者。
患者於出生後2周左右,於軀幹兩側出現蕁麻疹樣、水皰樣、疣狀皮炎改變。繼發色素性斑疹,常好發於軀幹、上臂和大腿。色素沉著如辣椒粉樣或噴泉樣,損害不沿皮紋或神經分布。色素可持續數年,消退後不留痕跡,或留有淡的色素脫失斑。
本病徵皮膚損害臨床可分3期,第Ⅰ期:紅斑和大皰,排列成行,出生時即有或出生後2周內顯著,常波及四肢和軀幹,不累及面部;第Ⅱ期:角化過度的疣狀皮疹和斑塊組成的損害,見於2/3的患者,是繼水皰後在相同的部位出現的皮疹。疣狀損害類似線狀表皮痣,這些損害通常在1周歲消失,少數持續數年。有廣泛播散、不規則分布或漩渦狀的色素沉著。第Ⅲ期:為奇特的網狀色素沉著,以軀幹部損害最顯著。典型者乳頭處色素沉著過度,腹股溝和腋部色素沉著最有特徵性。
其他的皮膚改變包括假性禿髮、慢性萎縮性肢端皮炎樣的皮膚萎縮、甲萎縮、甲營養不良、甲下腫瘤伴其下的溶骨性損害及掌跖多汗。70%~80%的患者有皮膚外表現,多累及牙齒、中樞神經系統、眼睛和骨骼。
檢查鑑別
一、檢查
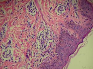
組織病理:小皰位於表皮內,伴海綿形成,有多數嗜酸性粒細胞,水皰間表皮常含有小團的表皮細胞,呈渦輪狀排列及散在的大的嗜酸性透明胞漿的角化不良細胞,真皮浸潤如表皮。疣狀增生處表現棘層肥厚不規則的乳頭瘤樣增生及角化過度,色素沉著處真皮上層噬黑素細胞增多,內含大量黑素顆粒,基底層黑素顆粒減少,有空泡變性。
二、鑑別
1、Franceschetti-Jadassohn綜合徵 有人認為該病為色素失禁症的異型,色沉呈網狀,無水滴狀,早期無水皰,疣狀損害。亦無齒和眼部損害。
2、脫色性色素失禁症 多見女孩,無色沉斑,只有減色斑,前期無水皰、無炎症,無家族遺傳史。
3、色素性蕁麻疹又稱肥大細胞增多症,該病色素斑不呈水滴狀,刺激色素斑可出現風團,皮膚劃痕征陽性,組織病理顯示,真皮內可見大量肥大細胞。
診斷
女嬰有大皰或線狀結節,或大皰和疣狀皮損合併存在,有特徵性的色素沉著斑點出現,比較容易診斷。
鑑別診斷
本病需要與大皰性表皮鬆解症、兒童期大皰性類天皰瘡、脫色性色素失禁症、Franceschetti-Jadasson綜合徵鑑別診斷。
治療
本病無特殊治療。通常在2歲以後逐漸消退,到成年期除一些原有的併發症外,無其他不適。在水皰期應注意防止繼發感染,可外用含腎上腺皮質激素類的抗生素軟膏。
1、治療
色素斑可自退,一般無需治療。對早期水皰炎症期可套用皮質類固醇激素。
2、預後
色沉斑持續數年後可漸消退,直至20~30歲才覺察到,有的伴有萎縮和硬化。
飲食保健
1、色素失調症吃哪些食物對身體好:
補充營養素,多吃新鮮的水果和蔬菜。
2、色素失調症最好不要吃哪些食物:
忌食辛辣及油炸食物,忌吃易引起過敏的食物,如酒、海鮮等。

