發病原因
不明確。一般認為與蛋白質代謝紊亂有關。
多發性骨髓瘤、長期的結核病、風濕性關節炎、嚴重貧血、腎病等可以產生抗原刺激澱粉樣物質形成。
臨床表現
舌部出現臨床症狀較早,舌體逐漸腫大,廣泛有對稱性,開始舌體較軟,運動自如,隨著澱粉樣物質的沉積,逐漸變硬,失去彈性,活動有限,疼痛明顯,影響進食、說話。舌部可有結節狀突起、丘疹、紫癜、出血、溝紋等多種損害。除了舌部的損害以外,還出現全身的表現,如乏力、體重減輕、知覺異常、肝脾腫大、心力衰竭等等。
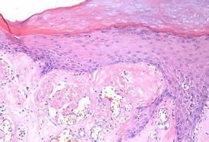
疾病診斷
根據臨床表現,結合病理、免疫組化等檢查,能夠確診。注意與溝紋舌、梅-羅綜合徵等進行鑑別。
疾病治療
目前缺乏特效的治療方法。可以套用潑尼松、地塞米松、秋水仙鹼等藥物進行治療。

