簡介
疾病別名:蛤蟆腫
人體部位:頭面部
就診科室:口腔科
相關係統:骨肌系統
相關藥品:麻醉藥抗生素
疾病概述
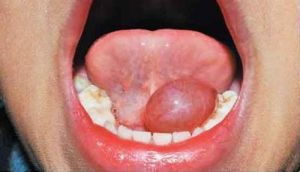
主要是由於舌下腺或頜下腺的導管被阻塞,或者在導管破裂後分泌物外滲形成的囊腫。原因有損傷,涎腺結石、口底部的炎症刺激等。囊腫位於口底,顏色淡藍,常見為1cm直徑的囊腫,但也有腫大明顯的囊腫。舌下囊腫治療可選用CO2雷射及Nd:YAG雷射。治療的關鍵在於徹底處理囊壁,如與涎腺相關一併摘除。手術的複雜性視囊腫大小各異,1cm直徑以下,在局部麻醉後,用雷射刀切開最薄弱處囊壁,排盡腔內物後再用雷射照射內壁。如腔徑較大,直接縫合1~2針。注意,在排出腔內物照射囊壁時要徹底、均勻,但無黑色炭化組織。照射以內壁組織凝固而無再分泌功能即止。
較大的囊腫直徑>2cm2以上影響患者伸舌運動及攪拌食物等功能,必須在切除囊腫的同時做好口底整形,即恢復舌的正常位置功能。
由於舌下囊腫常見不同程度的炎症細胞浸潤可見伴有炎性反應存在。因而在雷射手術後不論囊腫大小都應給予抗生素治療2周。
症狀體徵
1.位於舌系帶兩側,長大時可超越中線,呈半透明淺藍色膨大。
2.囊腫發展過程,反覆發作或自行破裂流出蛋清狀液體。
臨床表現
舌下結腫如包,漸漸增大,外表光滑,色淡黃,按之柔軟,有波動感,一般不痛,如果腫脹較甚,則有脹痛感,並因舌體運動受影響,而妨礙說話和飲食。如因邪熱侵襲,則呈淡紅色,腫脹較硬。結腫偶可自行破裂,或用刀尖將其挑破,則流出黃白色之粘液如雞蛋清樣,結腫可暫縮小或消失,但不久又復腫如故。全身症狀,表現可分:
(1)肝氣鬱結,氣滯血瘀:多見口苦咽乾,頭暈目眩,胸悶不舒,噯氣,脘腹脹痛,脅痛,耳鳴,舌紅,舌邊或有瘀點,苔黃,脈弦數或細數。
(2)肺經受熱,痰濕凝滯:多見頭痛,疲乏,胸脅滿悶,氣短,或有咽癢咳嗽,咯痰,苔白或微黃而膩,脈緩或弦滑。
(3)脾失健運,濕濁流註:多見頭重,四肢怠倦,咳嗽,痰稀白,量多,胃納差,脘腹脹滿,舌體胖,苔白膩,若兼熱邪,則舌質紅,苔黃膩,小便黃等。
病因
舌下囊腫(2)肺經受熱,肺陰耗傷,氣機不利,失去肅降功能,以致水液內停,痰濁內生,營衛氣血運行受阻,痰濁久滯經絡,逐漸積累成瘤。
(3)飲食勞倦傷脾,脾失健運,運化水濕功能障礙,久聚成痰,痰濁阻滯,兼遇外感邪熱或火熱內生,火挾痰濕循經流注,凝結而成包塊。
診斷檢查
診斷:
1.位於舌系帶兩側,長大時可超越中線,呈半透明淺藍色膨大。
2.了解囊腫發展過程,有無反覆發作或自行破裂流出蛋清狀液體。
3.診斷性穿刺,穿刺液如系濃血性,則應試其是否凝固,測其所含血紅蛋白及紅細胞數,以與周圍的血紅蛋白、紅細胞對比,藉以區別囊腫或血管瘤。
4.檢查頜下腺腫大否,管口阻塞否,以與頜下腺來源的囊腫相區別。
治療方案
【治療】
在局部麻醉下完全摘除囊腫及舌下腺。
【術中注意點】
1.手術時應有良好的照明,勿損傷頜下腺導管、舌深動脈分支及舌神經。
2.為減少術中出血及術後復發率,術中特別注意使用低濃度含腎上腺素的麻醉藥作局部浸潤,目的是:使組織易於分離;減少術中出血使視野清楚。同時注意分離時以“小花生米”推子做順囊膜外縱形逐漸推開,而少用血管鉗作與囊壁相垂直的橫形分離。
【術後處理】
1.注射抗生素。
2.保持引流。
診斷說明
(1)瘤體局限性增大,速度緩慢,境界清楚,推之可動。(2)少有潰爛及疼痛症狀,一般不會向遠處轉移。
(3)痰包淡黃質軟。
(4)宜作活組織檢查,以作確診。
疾病原因
原因有損傷,涎腺結石、口底部的炎症刺激等。
病理生理變化
舌下腺腺體或導管的破損、粘液外漏入組織間隙所引起外滲性囊腫。
治療說明
(1)內治:肝氣鬱結,氣滯血瘀:宜疏肝解郁,養血瀉火,可用丹梔逍遙散加香附、烏藥。方中以當歸、白芍、白朮、甘草養血健脾,香附、烏藥、柴胡、薄荷、生薑疏肝解郁,丹皮、梔子清肝火。亦可選用活血祛瘀養血藥物,如丹皮、川芎、桃仁、澤蘭,劉寄奴、五靈脂、熟地、首烏、枸杞子、黃精、桑椹子、穿山甲、水蛭等,但宜配合行氣藥同用,如青皮、香附、鬱金、木香。若氣血痰濁互結,宜加入法半夏、制南星、陳皮、瓜蔞實等。肺經受熱,痰濕凝滯:宜清熱潤燥,疏肺散結,可選用益氣清金湯。方中以貝母、陳皮、桔梗宣肺祛痰散結,薄荷、紫蘇、牛蒡子疏解風邪,梔子、黃芩清肺燥,人參、茯苓、甘草補益肺氣。若兼脾虛,可選用消瘤丸。若痰涎增多,加法半夏、瓜蔞仁、葶藶子等。
脾失健運,濕濁流註:宜健脾燥濕,化痰散結,兼以清熱,可選用加味二陳湯加黨參。方中黨參、茯苓、甘草健脾化濕,法半夏、陳皮行氣化痰,消除凝聚之濕濁,薄荷清散,黃連、黃芩清熱解毒。全方具有清熱化痰、散結、消除腫瘤的作用。若胃納差,宜配神曲、麥芽、谷芽等;如火熱偏盛,痰色呈淡紅,宜加龍膽草、梔子、車前子、木通等以清利火熱濕邪。
(2)外治:
①可用麝香散或碧玉散塗,或吹於腫瘤上,以促進腫瘤的消散。
②刺破排出粘液,再用冰硼散搽之。
預防說明
(1)注意口腔衛生,避免舌或牙齦經常受到損傷或刺激。(2)注意飲食調節,避免過食辛辣炙煿之品,節制菸酒,忌食發霉食品。
(3)改善生產工藝,避免有害物質外溢,加強個人防護。
(4)開展腫瘤普查,爭取早期診治。

