描述
膽囊管綜合徵橫切面流行病學
多數膽囊管綜合徵患者為生育過的婦女,從出現症狀到確定診斷的時間長短不一,短者數周,長者可達10餘年。
病因及生理
膽囊管綜合徵病理圖症狀體徵
該綜合徵的突出症狀為疼痛,可位於膽囊部位或上腹部,偶爾可放射到背部。脂肪餐後可誘發明顯疼痛,因此有些患者食量銳減,體重減輕。有時嚴重疼痛呈陣發性發作,與膽絞痛無法區分。有些患者睡眠中可痛醒,疼痛持續數小時。硝酸甘油或抗膽鹼能藥物有可能緩解疼痛,但效果不能完全肯定,且顯效時間也很短。有時可有膽囊區壓痛,但很少能觸及到擴大的膽囊。
病理生理
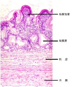
膽囊管綜合徵者開腹手術中常可見到膽囊增大,並有一定程度擴張,手指按壓膽囊後膽汁不能排空。其膽囊本身可無異常,膽囊管組織病理檢查常常見到輕度到中度的炎性改變,管壁增厚或有較典型的增生性改變。
診斷檢查
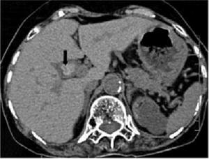
膽囊管綜合徵CT成像實驗室檢查:膽囊管綜合徵患者的血常規白細胞計數、分類及肝功能實驗基本正常。
其他輔助檢查:檢查手段包括各種膽汁引流方法、連續膽囊造影、縮膽囊素膽囊造影等,如能證實膽囊為克服阻力而進行有力而無效的收縮,則對診斷有幫助。其中以縮膽囊素膽囊造影可靠性較好。
1.膽囊造影口服膽囊造影劑後膽囊充盈良好,但排空延遲,36h後膽囊仍顯影,同時顯示膽囊管狹窄、扭曲、細長等改變,膽總管影淡或不顯影。縮膽囊素膽囊造影前的準備同口服膽囊造影,緩慢(3min內)靜脈注入75U的CCK。由於正常人較快速注射時可出現膽囊頸收縮,因此緩慢注射既是出於安全上的考慮,也是為了避免膽囊頸收縮。正常人在注射後膽囊體積較注射前減少50%~80%,而膽囊管綜合徵患者則只有5%~45%,不超過45%,且大多數患者膽囊變得更圓。此外,大多數患者造影時可見膽囊管狹窄或造影劑中斷。診斷膽囊管綜合徵不可缺少的一點就是在注射CCK的同時,患者膽囊區會感到疼痛。正常人緩慢注射CCK後腹部可有輕度的瀰漫性疼痛或痙攣性疼痛,這是由於刺激了腸蠕動所致,而無膽囊區局限性疼痛。
2.膽汁引流檢查十二指腸膽汁引流,膽汁出現延遲。用縮膽囊素刺激後,膽汁到6~20min後才流出,且量少、持續時間長;在CCK刺激下進行膽汁引流,如發現深色膽汁(B膽汁)開始出現的時間推遲則最具有診斷價值。注射CCK後該類患者20min內無B膽汁出現,而正常人平均約6min即見到B膽汁。此外,該綜合徵患者B膽汁量亦減少,流出時間延長,後期呈間斷噴射狀流出。在注射CCK的情況下進行膽汁引流對診斷該綜合徵有一定幫助,但對已進行縮膽囊素膽囊造影者則不必進行膽汁引流檢查。
3.核素膽系掃描99mTc-HIDA核素膽系掃描,膽囊排空延遲4h以上。膽囊管綜合徵的診斷可以依據以下幾點來進行:
(1)有餐後膽絞痛或右上腹不適,但無寒戰高熱、黃疸和白細胞升高。
(2)口服膽囊造影劑或放射性核素膽系掃描可見膽囊充盈良好,但有排空延遲及膽囊管改變。
(3)B型超聲、CT、MRI、X線膽囊造影等檢查未發現膽囊結石和占位性病變。當上述方法如仍不能作出診斷時,尚可採用以下方法協助診斷:①膽道放射測壓術加上膽道造影。②手術中將造影劑注入膽囊,並在放射線下追蹤造影劑到十二指腸的過程。通過此方法,容易確定阻塞的存在及其部位。
鑑別診斷
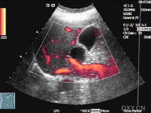
膽囊管綜合徵彩超圖片1.膽石症膽囊管內有小膽石的患者多方面的表現可酷似膽囊管綜合徵,包括臨床症狀、CCK刺激下的膽汁引流和膽囊造影。位於膽囊管中的小結石可在膽囊摘除術中或術後解剖被發現。
2.慢性膽囊炎和膽囊增生症非結石性慢性膽囊炎患者常可見膽囊不充盈或充盈受阻。膽囊增生症尤其是腺肌增生症患者注射CCK後可出現膽囊區疼痛,這類疾病患者膽囊排空延遲或加快不盡相同,且造影中易於發現相應的膽囊形態改變。膽囊管綜合徵與非結石性慢性膽囊炎及膽囊增生症在病理生理、病理解剖及症狀方面可有重疊。膽囊管綜合徵常見到膽囊有輕到中度的慢性炎症、壁增厚;膽囊增生症和慢性膽囊炎患者也大多有症狀,這主要是由於膽囊排空受阻以及膽囊頸或膽囊管狹窄所致。可見,在膽囊管出現狹窄或部分梗阻後,膽囊壁肌肉可發生代償性的增生、肥厚。
3.膽囊張力低下膽囊張力低下的患者,由於縮膽囊素拮抗劑的存在,膽囊造影可充盈良好,但膽囊收縮不佳或不能收縮,注射CCK的同時或以後,通常不出現疼痛的症狀。括約肌運動功能障礙中的高張力型引起膽囊管綜合徵者較機械性梗阻所致者少得多,但在CCK膽囊造影時也可出現疼痛,膽囊充盈良好,膽道收縮差,膽囊管常可明顯顯影,直徑常在8mm以上,造影劑很少或完全不進入十二指腸,而膽囊管綜合徵者膽囊管不顯影或顯影模糊。此外,括約肌運動障礙患者對硝酸甘油和抗膽鹼能藥物反應較好。
4.胰腺十二指腸疾病胰腺十二指腸部位的器質性疾病,包括十二指腸、壺腹及胰腺腫瘤、胰腺炎,都有其放射學和實驗室檢查特點而不易與膽囊管綜合徵相混淆。必要時可進行ERCP檢查和膽囊造影加以鑑別。
治療方案
膽囊管綜合徵併發症
少數患者可有輕度黃疸,其原因可能由於並發Oddi括約肌狹窄膽管內壓力增高所致。
預後及預防
預後:隨著手術的開展,該綜合徵發生死亡的危險性日漸減少,故預後愈來愈好。
預防:引起膽囊管綜合徵的病因較多(如:膽囊管的炎性粘連、膽囊管過長所致扭曲、膽囊管纖維化等),因此治療後天性因素的原發病是預防的關鍵。
