疾病簡介
腺淋巴瘤(adenolymphoma)又稱乳頭狀淋巴囊腺瘤(papillarycystadenomalymphomatosum)或Warthin瘤,腺淋巴瘤的組織發生自殘存於鄰近淋巴結內的異位涎腺組織,經觀察在胚胎的腮腺區淋巴結內和典型的腺淋巴瘤附近的淋巴結內,均曾查見類似的腺管。免疫學研究證明本瘤組織中的淋巴組織,主要由T淋巴細胞及少數B淋巴細胞組成。超微結構觀察提示這些淋巴組織是細胞介導免疫反應的結果,本病瘤組織內的淋巴樣成分來源於腮腺區正常或反應性淋巴結組織,不參與腫瘤的形成和生長。
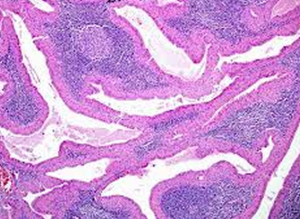
病理改變
腺淋巴瘤1、大體形態:腺淋巴瘤體積一般不大,直徑一般在3~4厘米。腫瘤表面光滑,常呈輕度分葉,有完整纖薄的包膜,呈圓形或卵圓形,較軟,可壓扁,有時呈囊性感。切面大部分呈實性,可見似乾酪樣,灰白色,質地均勻。部分呈囊性,常見棕色較清的粘液樣、膠東樣或乳汁樣物質由囊內流出。
2、鏡檢:腫瘤由上皮和淋巴樣組織組成。上皮成分形成不規則的大腺管或囊腔,並有乳頭突入管腔,腺腔內含紅染色無定物質。有時見有膽固醇結晶裂隙或少量炎性細胞。上皮細胞排列成雙層,內層為高柱狀細胞,具有顆粒狀、嗜伊紅的胞漿;外層細胞呈立方、多角或圓形,核空泡狀,淡染,可見核仁。腺管上皮細胞無異型性。有時可見上皮細胞呈鱗狀化生,偶見粘液細胞、皮脂腺細胞和纖毛柱狀上皮細胞。上皮細胞也可排成實性團塊。間質中除有一些纖維結締組織外,尚有許多淋巴細胞密集排列成大小不等的團塊,或形成具有生髮中心的淋巴濾泡。
3、生物學特點:腺淋巴瘤生長緩慢,瘤體一般不大,極少有直徑超過10厘米。
症狀
腺淋巴瘤腺淋巴瘤絕大多數發生在腮腺,這是腺淋巴瘤所特有的。發生在腮腺內的,常見部位是腮腺的後份表面及其下極。腺淋巴瘤的發生率占涎腺腫瘤的6%,為大涎腺腫瘤的8.4%~20.7%,占腮腺良性腫瘤的17%~33%。腺淋巴瘤可發生於任何年齡,但以40~70歲為好發年齡,兒童極少見。主要罹患於男性,占85%~90%。
大多數患者以生長緩慢的無痛性腫塊為主訴。腫塊呈圓形、橢圓形,表面光滑。多數病例腫瘤質地軟,有柔性,少數為囊性。邊界清楚,可活動,與皮膚無粘連,一般瘤體不超過6厘米。手術中可見本瘤包膜菲薄,質脆,雖易剝離,但易穿破而溢出黃色或棕色液體。少數病例腫塊有波動感或壓痛。一般無功能障礙。
併發症,並發頜面部感染呼吸道梗阻等疾病。臨床表現
1、好發於腮腺後份表面及下極。
2、生長緩慢,無症狀,一般較小(直徑4厘米以內),圓或卵圓形,界限清楚,質地較軟,活動,與周圍組織無粘連,可有雙側發病。
3、涎腺造影示涎腺內良性占位性病變。
4、B超顯示為境界光滑的反射圖像,內部回聲波分布光點均勻。
5、病變區放射性同位素掃描顯示瘤體內同位素99鑄濃聚。
檢查
1、可為雙側性,或在同側腮腺內及附近頸部呈多個腫瘤結節。
2、多為3~4厘米直徑大小,呈圓形或長圓形腫塊、表面光滑或略是分葉狀,質軟,可有波動感,腫瘤與周圍腺體組織邊界欠清。
3、腫瘤鄰近部位的上頸部可模及腫大淋巴結。
4、99Tc核素掃描為熱結節。
治療
腺淋巴瘤唯一的治療方法是手術切除。

