流行病學
該病多見於老年女性平均發病年齡為66歲。
病因
腹直肌鞘內血腫發病原因尚不明確,以下因素可能是造成腹直肌鞘內血腫的原因或誘因。
1.解剖因素 腹直肌鞘內動脈曲折,腹直肌下部由堅強的肌胞膜包繞,而動脈分支進入肌肉以前又有較長一段距離,腹直肌後鞘下方海氏三角區為薄弱之點,對腹壁血管的保護支持作用均較差,當肌肉強烈收縮時,此處血管易被撕裂,成為發病的局部解剖因素。
2.直接或間接的局部創傷。
3.肌肉變性或肌炎。
4.患有動脈硬化導致局部血管變性。
5.肥胖者腹直肌張力低下。
6.妊娠婦女雌激素的影響,加之分娩時腹肌過度收縮。
7.長期服用抗代謝藥、抗高血壓藥和抗凝血藥之影響。
發病機制
腹直肌處血管因某種因素髮生破裂時,由於腹直肌腱索與前鞘黏合從而阻止血液向縱軸發展,在局部形成血腫。
臨床表現
當咳嗽、嘔吐或腹肌強力收縮後出現下腹疼痛,伴有噁心、嘔吐,繼而出現腹部包塊,包塊通常局限於一側腹直肌肉,不越過中線,血液滲入肌肉內使肌肉變硬,成臘腸樣腫塊可觸到不能移動的觸痛性腫塊,腹肌收縮時仍可捫及。若血腫向下延伸超過Douglas半環線積血可沿腹膜外組織擴散而引起下腹部腹膜刺激征。
診斷
1.病史
詳細詢問有無外傷史;有否降壓藥、抗凝藥、抗代謝藥物的套用史;有無血管粥樣硬化性疾病;有無刺激下腹肌肉收縮的因素及發病過程等。
2.臨床特點
老年人多見平均發病年齡為66歲,女性多於男性;噁心、嘔吐伴發一側腹部包塊,包塊觸痛、固定形似臘腸樣,腹肌收縮時仍可捫及。
3.輔助檢查
提示局部有血腫的可能。
鑑別診斷
需與其他急腹症相鑑別如闌尾穿孔、潰瘍病穿孔、腸系膜血管栓塞和腹內損傷等。
檢查
實驗室檢查:
血象檢查,白細胞總數正常或稍高,中性白細胞一般無變化。
其它輔助檢查:
1.影像學檢查
(1)腹部X線:側位片可顯示出腹直肌增寬的影像。
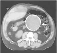
(2)B超或CT掃描:可發現腫塊位於腹壁腹直肌內,密度偏低,界線清晰,與腹腔不相。
2.腹壁穿刺 不能排除腹腔臟器損傷時,可行腹壁穿刺,局部吸出血樣液體為本病最重要的診斷手段。
治療
發病24h內,如能排除腹內臟器傷,可行保守療法,局部可用冷敷及加壓包紮、同時治療原發病。如對該病診斷準確,處理及時,可免除不必要的剖腹探查手術。若不能排除,可做腹腔穿刺或灌洗幫助鑑別,但如血腫不斷擴大,仍應考慮手術治療。手術的目的是切開血腫,清除血塊,結紮出血之血管;遇有滲血者,可放置引流條,24~48h後拔除。術後注意腹壁的保護並注意對原發疾病的治療。若證實並非腹壁血腫則進腹進一步探查。
預後
該病預後良好,術後應注意腹壁的保護。

