概述
椎管內腸源性囊腫又稱神經管和原腸囊腫,是胚胎髮育時由來源於前腸的胚胎殘餘組織異位,在椎管內破壞中胚層的產生而成的先天性疾病。臨床上比較少見。據Fortund報告占脊髓囊腫性疾患的12%。近年來隨著影像學的不斷發展,國內有關本病的報告已陸續增多.並得到有效的治療。
症狀
本病好發於兒童和青少年,最小年齡為生後11天,年長的很少超過40歲。一般男性多於女性,男女的比例達(2-3):1。
首現症狀多為囊腫所在部位的脊神經根性疼痛,以雙側頸痛者多,頸部活動受到限制和頸部抵抗等。約一半病人症狀呈反覆發作,即有中間緩解期和加重期,並伴發低熱。這種緩解與復發可能是囊腫的周期性破裂,或囊液的外滲使症狀得以緩解,隨後又因囊壁上皮細胞分泌的增多,使囊腫又逐漸增大,再次壓迫脊髓而復現症狀。部分病人呈急性起病,病情發展較快,常在短期內出現肢體感覺、運動障礙和括約肌功能障礙。尤其是運動障礙為多、呈現截癱或四肢癱。
本病常並發其他先天性畸形,以脊椎相應部位的畸形居多,如顱骨凹陷、寰枕畸形、椎體融合、脊椎裂、半椎體、脊膜膨出、脊柱側彎等:另外還伴有消化道、呼吸道畸形,如腸臂異位、食管或氣道憩室、支氣管和縱隔囊腫、縱隔或枕骨鱗部缺損等。此外在高頸段者還可伴發小腦扁桃體下疝畸形,參見本節典型病例。
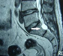
腰椎腸源性囊腫診斷與鑑別診斷
本病的診斷可根據病人為男性兒童或青少年;以根性疼痛起病,計較快地出現脊髓壓迫症;病程中有間隔數月或數年的反覆發作,如發現有其他先天性畸形,即應考慮有腸源性囊腫,應及時做椎管造影或MRI檢查明確診斷。 在鑑別診斷上需注意與以下椎管內囊性疾病區分: 蛛網膜囊腫 多見於青年人,女性多於男性,好發於胸段脊髓的背側,臨床表現以胸背部疼痛為主,並逐漸出現雙下肢感覺。運動障礙。在坐位或立位時症狀明顯或加重,臥位時症狀緩解。病變部位棘突有壓痛和叩擊痛。腦脊液壓力不高,椎管腔有不全性或完全性梗阻,細胞數正常,蛋白含量輕度增高。脊椎x線平片多無改變,脊髓造影可呈囊狀充盈缺損,俯臥位造影為陰性,仰臥位造影為陽性,仰臥位或立位時才顯示囊腫陰影。MRI檢查顯示脊髓背側梭形囊狀占位,在T1加權像上為一塊狀軟組織強度的信號影.加權像上為高強度信號,增強掃描多無強化。 脊髓蛛網膜炎 起病緩慢,症狀時輕時重.多在外傷或感冒發熱後起病。感覺障礙比較明顯,感覺改變區域的分布常不規律,無明顯的感覺障礙平面。一般運動障礙和括約肌障礙較輕或不明顯。病程多有被動,並有較長的緩解期,呈多灶性體徵。脊髓造影呈散在點狀、片狀或燭淚狀和囊腫充盈缺損。 皮樣囊腫或表皮樣囊腫 多見於小兒,好發於下胸椎以下的圓錐、馬尾部。多位於脊髓外硬骨膜內,常並發脊椎裂。囊腫所在部位有竇道、多毛、血管痣等各種皮膚異常。腦脊液蛋白含量明顯增高。x線檢查可顯示椎管擴大、椎弓根變扁、椎體後緣有向內的壓跡。MRI檢查皮樣囊腫中含有蛋白,故在T1加權像上信號略高於腦脊液,在T2加權像上呈高信號,與腦脊液相似。而表皮樣囊腫在T1與T2加權像上的信號均與腦脊液相似,但囊腫邊界光滑,呈圓形或卵圓形,可見壓迫脊髓和馬尾的表現。
治療
對囊腫手術切除是本病惟一的有效治療方法,因此一旦確診後,即應及時手術。術式宜用顯微外科技術,仔細分離粘連,並保護好脊神經和脊髓。如將囊腫完全切除,手術前後輔以神經營養冶療,常可取得滿意的療效。 對本病的手術治療比較安全,徹底摘除後很少復發,多數能完全治癒,預後良好。

