概述
腦萎腦萎指因五臟虧虛,氣血不足,使腦髓空虛所引起的。以進行性健忘,智慧型減退,人格障礙,痴呆,震顫等為主要表現的勞病類疾病。腦萎又名腦髓消。
本病相當於西醫學所說的瀰漫性大腦萎縮症、腦葉萎縮症。
病因
本病因五臟虧虛,氣血不足,使腦髓空虛所致。
症狀
1.本病多起病於50歲以後,女性多於男性。起病緩慢,常無明顯的發病期,病程較長。
2.初期表現為記憶力減退,主要是近事遺忘,注意力易渙散,動作遲緩,精神倦怠,頭暈,睡眠障礙,情緒易激動等。以後出現思考能力、判斷能力障礙,性格改變,嚴重者出現人格改變。亦可出現步態不穩,面部不自主動作,強迫反射,模仿動作,甚至偏癱等。
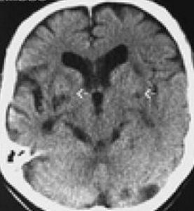
3.腦電圖有瀰漫性g波和8波。CT掃描顯示側腦室、第三腦室擴大和腦溝增寬。核素腦血流圖測定可有腦血流量減少。
併發症
步態不穩,面部不自主動作,強迫反射,模仿動作,甚至偏癱等。
鑑別
1.痴呆:以呆傻愚笨為主要表現,無癱瘓、震顫等表現。但腦萎可發展為痴呆。
2.腦絡痹:以頭痛,頭暈,情緒和性格改變為主要表現。人格障礙、痴呆、震顫等症不明顯。腦絡痹可發展為腦萎。
3.癲病:以精神失常為主,症見精神抑鬱,表情淡漠,語無倫次,靜而少動等,非記憶、思維等能力減退,無步態不穩等症。
治療
辨證論治
1.腎虛髓虧證:頭暈健忘,耳鳴或耳聾,神情呆滯,腰膝酸軟,行動遲緩,言語不利,頭髮枯乾,舌淡苔少,脈細弱。補腎益髓。
2.心脾氣血兩虛證:頭痛綿綿,頭暈健忘,神疲乏力,心悸,耳鳴,或見手足麻木,食少便溏,面色淡白或萎黃.,舌質淡嫩,脈弱。補益心脾(氣血)。
3.心腎不交證:頭腦空痛,眩暈耳鳴,失眠健忘,心悸心煩,智力下降,精神不振,腰膝酸軟,形體消瘦,溲赤咽乾,舌紅少苔,脈細數。
4.瘀阻腦絡證:頭部刺痛,部位固定,健忘,語言謇澀,手足麻木或不知痛癢,舌淡暗或有斑點,脈弦細或沉澀。化瘀通腦。
5.痰迷心神證:身體肥胖,時吐痰涎,嗜睡,頭腦昏沉,記憶減退,反應遲鈍,舌胖有齒痕,苔白膩,脈滑。滌痰開竅。
6.腎虛血瘀證:健忘耳鳴,手足麻木,腰膝酸軟,或見頭部刺痛,舌暗有瘀點,脈細澀。補益腎氣、活血化瘀。
7.脾虛動風證;頭暈健忘,神疲乏力,食少便溏,肌膚晌動,或見四肢震顫,舌淡胖,邊有齒痕,苔薄,脈虛。補脾益氣、養血熄風.
其他治療
1.環境要安靜,應由專人照顧病人的生活和安全。
2.注意預防合併症,給予易消化食物。
3.呆滯病人需鼓勵其適當活動;抑鬱病人要嚴防自殺;興奮強動者要預防發生意外。
4.針灸療法:(1)體針療法:取風府、人中、風池、合谷、神門、足三里、三陰交、腎俞、太沖等穴,平補平瀉法。(2)耳針療法:取心、腎、皮質下、神門等穴。
5.單方驗方:(1)中成藥:白金丸,3~6g,吞服,2次/日。(2)菊花500g,白芷100g,細辛15g,辛夷15g,做成藥枕,代枕頭用。(3)常咀服核桃仁。
6.西醫西藥:(1)改善腦循環,促進腦代謝藥,如煙酸、γ—氨酪酸、腦復新、ATP等。(2)對證處理:如失眠可用安定、硝基安定、眠爾通等;嚴重精神運動性興奮、易激惹者可用奮乃靜、泰爾登、氟哌酸醇等抗精神病藥。

