概述
腦橋中央髓鞘溶解症(centralpontinemyelinolysis,CPM)是以腦橋基底部對稱性脫髓鞘為病理特徵的可致死性疾病。本病是一種少見的急性髓鞘溶解性病變。本病為散發,任何年齡均可發生,兒童病例也不少見。Adams等(1959)首次報告。Adams等在1950年的首例,觀察的是一年輕的慢性酒精中毒者,因酒精戒除症狀住院,在數天內發展成為四肢癱瘓與假性延髓性麻痹,並很快死亡。病理檢查的主要發現是腦橋基底部大面積對稱性脫髓鞘病變。疾病病因
中樞神經系統病理生理
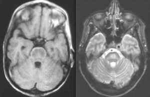
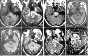
腦橋中央髓鞘溶解症影像圖流行病學
目前尚未查到權威性的較全面的流行病學發病率統計資料。我國也無相關的發病率資料。臨床症狀
腦橋中央髓鞘溶解症患者診斷檢查
診斷:慢性酒精中毒、嚴重全身性疾病和低鈉血症糾正過快的患者,臨床上在數天之內突然發展為四肢癱瘓,假性延髓性麻痹和閉鎖綜合徵,就應考慮腦橋中央髓鞘溶解症的診斷。MRI有助於確診。實驗室檢查
腦橋中央髓鞘溶解症(CPM)的圖像鑑別診斷
本病應與腦橋基底部梗死、腫瘤和多發性硬化等鑑別。MRI顯示CPM無顯著占位效應,病灶對稱,不符合血管分布特徵,隨病情好轉可恢復正常。治療
1.目前CPM仍以支持及對症治療為主,積極處理原發病。糾正低鈉血症應緩慢,不用高滲鹽水。限制液體入量,急性期可用甘露醇、呋塞米(速尿)等治療腦水腫。2.早期用大劑量激素衝擊療法有可能抑制本病進展,可試用高壓氧和血漿置換。併發症
隨病情發展,出現的症狀體徵可以是原發病表現,也可以看作本病併發症。另外,應注意繼發的肺部感染、尿路感染、褥瘡等。預後及預防
預後
腦橋中央髓鞘溶解症的預後極差,病死率極高,可於數天或數周內死亡,但許多患者實際上可能是死於引發本病其他嚴重系統性疾病。少數存活者遺留痙攣性四肢癱等嚴重神經功能障礙,偶有完全康復的患者。預防
尚無有效的預防方法,防治原發病及併發症是臨床醫療護理的重要內容。特別提示
1、本病為散發性,男女及任何年齡均可發生。2、目前本病仍以積極治療原發病,預防同時予以支持及對症治療等為主。
3、糾正低鈉血症時,靜脈輸液應慢速,不使用高滲鹽水,並限制液體入量等有助於預防本病的發生。腦橋中央髓鞘溶解症發生之後,目前並沒有任何可靠的根治方法,只可予以支持。
4、本病常伴發於嚴重的疾病(如肝功能衰竭、癌症晚期等)。多在原發病的基礎上突然發生四肢弛緩性癱瘓;咀嚼、吞咽及言語障礙;眼震、眼球協同運動障礙;可呈緘默、完全或不完全性閉鎖綜合徵。
5、多數患者的腦橋病變小於2~3毫米,可完全無症狀和體徵;有些患者的臨床表現被原發病的昏迷掩蓋,僅少數患者可生前診斷。
6、初腦橋病變的大小,與疾病急性期的臨床所見的嚴重程度無平行關係。多數患者預後極差,死亡率極高,可於數日或數周內死亡,少數存活患者遺留痙攣性四肢癱等嚴重神經功能障礙,偶有完全康復的患者。
參考連結
http://www.huoguan.com/disease/d1_d5/41185/prevent.html

