病因及常見疾病
腎皮質內形成數個小膿腫,也可侵入腎髓質,小膿腫逐漸融合為較大腎膿腫。約50%腎膿腫的感染蔓延至腎被膜並侵入腎周間隙,而形成腎周膿腫。臨床上,表現為突然起病,發熱、腎區叩痛和肌緊張,尿中白細胞增多,尿培養可有致病菌生長。
鑑別診斷
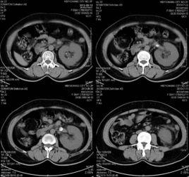
CT表現:腎膿腫表現因病期不同而有所差異。在早期炎症期,膿腫尚未局限化,表現為腎實質內略低密度腫塊,增強檢查可有輕度不規則強化;在膿腫成熟期,表現為類圓形均一低密度灶,邊緣清晰或模糊,周邊有厚度不一的略高密度環圍繞,增強檢查呈明顯環狀強化,代表膿腫壁,而中心低密度區無強化,為膿腔,部分膿腔內還可見低密度氣體影。腎膿腫感染蔓延至腎周間隙時可見腎周脂肪密度增高。當合併有腎周和腎旁膿腫時,表現腎周和腎旁脂肪間隙消失,代之以混雜密度腫塊,內可有小氣泡影,增強檢查呈規則或不規則單發或多發環狀強化。
檢查
腎膿腫結合臨床和實驗室資料,診斷多無困難。CT檢查可清楚顯示腎輪廊、腎周圍間隙及與其鄰近結構的關係,可指導臨床治療。CT對臨床表現不典型以及早期膿腫診斷困難,不易與腎細胞癌鑑別,需結合臨床、短期隨訪甚至細針抽吸活檢來明確診斷。總的說來,不論膿腫的位置及範圍如何,均會導致病側腎臟不同程度的功能障礙,表現為CT強化程度弱於正常腎。這是腎臟炎性病變的一個重要特徵。MRI在腎膿腫檢查中有一定意義,但並非常規檢查。
治療原則
超聲引導下穿刺治療腎膿腫,因其損傷小、費用低、併發症少,能清晰顯示膿腔在腎內的位置,可以確定皮膚穿刺進針點、進針角度及進針深度,從而大大提高了穿刺的成功率,同時還可以避免手術創傷給患者帶來的痛苦,縮短病程,故得到廣泛套用。
在超聲引導穿刺治療腎膿腫時,穿刺成功的關鍵是超聲定位要準確,超聲引導因其特有的聲束厚度偽差,容易將緊貼膿腫外的穿刺針顯示為進入膿腫內,因此穿刺路徑的選擇是很重要的。首先,術前應根據膿腔在腎內的位置和距表皮的距離選擇好適應的體位和穿刺部位,包括穿刺點、進針角度及深度。其次,要避開腎內大血管和肝、脾、肺、腸等。在抽吸過程中要儘量沖洗、抽洗完膿液,再注入藥物。術前向患者講訴穿刺步驟,消除患者緊張情緒,並囑患者屏氣呼吸,以防穿刺時因呼吸造成偏離。
腎膿腫如在早期未液化形成膿腫或膿腫內壞死物多時,膿液黏稠,聲像圖上出現強光團極似腎內實質性占位,易誤診為腎癌或腎結核,動態觀察和穿刺有助於鑑別診斷,能提高對膿腫的診斷能力。據有關資料報導,超聲經皮引導穿刺治療對腎膿腫的確診率可達100%,穿刺獲得的膿液可做常規和細胞學、生化、細菌學及藥敏試驗等檢查,有助於膿腫的病因診斷,對臨床用藥治療有很大幫助。

