病因
腎旋轉異常是由什麼原因引起的?
(一)發病原因
一般認為腎臟的旋轉異常發生於腎遷移過程中在第6周腎移出骨盆腎臟開始旋轉一直到第9周旋轉約90°有人認為腎旋轉異常是由於輸尿管樹分支不對稱其一向腹側其二向背側Weyranch等也認為腎的旋轉向腹側較向背側的組織分化更快從而在此過程中引起旋轉的失誤
(二)發病機制
Weymuch按腎盂的位置把旋轉異常分4型:
1.腹側位由於腎上升時未發生旋轉故腎盂仍指向腹側腎盞指向背側這是最常見的類型非常罕見的是360°的過度旋轉
2.腹中線位系旋轉不全引起腎盂指向內前方腎盞指向後外方
3.背側位腎旋轉180°腎盂面向背側這種類型最少見
4.側位腎旋轉大於180°但少於360°或逆轉180°腎盂指向外側腎盞指向中線
病狀體徵
腎旋轉異常有哪些表現及如何診斷?
腎旋轉異常本身不產生特異症狀但過多的纖維組織包繞腎盂腎盂輸尿管連線部和上段輸尿管以及附加的血管壓迫可引起梗阻而出現腎積水的症狀或間歇性腎絞痛也可出現血尿感染和結石常與異位腎同時出現可以造成腎血管或輸尿管受壓而出現相應臨床表現
通過腎臟超聲分泌性尿路造影等檢查均可發現腎盂腎盞的方位異常
編輯本段檢查化驗
腎旋轉異常應該做哪些檢查?
尿常規檢查與鏡下血尿劇烈活動可誘發或加重
1.X線檢查排泄性尿路造影顯示腎盂腎盞方向異常腎盂扁平且伸長腎長軸與中線交角變小(正常約16°)或與中線平行上1/3輸尿管向外移位有時可見腎盂輸尿管交界處狹窄扭曲或異位血管壓迫徵象
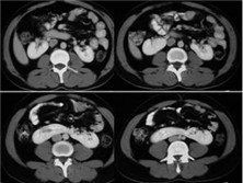
2.CT檢查可清楚顯示腎盂方向異常並根據腎盂朝向可明確此腎臟異常旋轉是前位前中位後位還是側位
鑑別診斷
腎旋轉異常可以並發哪些疾病?
通常一側旋轉異常合併有另一側腎臟的異常如異位合併融合蹄鐵腎等
腎旋轉異常可以並發哪些疾病?
通常一側旋轉異常合併有另一側腎臟的異常如異位合併融合蹄鐵腎等
預防保健
腎旋轉異常應該如何預防?
目前暫無相關資料
治療用藥
腎旋轉異常應該如何治療?
(一)治療
若無症狀及腎積水勿用治療若並發梗阻或膀胱輸尿管反流則需治療其合併畸形
(二)預後
腎臟並不會因為旋轉異常而影響其功能只有可能會導致結石和積水

