病理
脊髓裂可見於隱性或顯性脊柱裂病例,同屬於胚胎期發生障礙所致的畸形,最多發生在腰椎和胸椎,而頸椎和骶椎少見。常有(90%以上)一來自椎體背面的縱行隔障或骨梁插向椎管背側,將脊髓或馬尾分成長度不等、左右對稱或不對稱、完全或不完全的兩半,少數可有兩個隔障。有的隔障則可為軟骨或纖維組織。每個半脊髓均具有各自的硬脊膜
檢查
1.有骨梁存在,在X線片上可發現椎體背面有相應的骨質改變。
2.脊髓造影或碘水脊髓造影。
3.CT掃描及MRI。
分類
先天性脊柱裂根據病變的程度不同,大體上將有椎管內容物膨出者稱顯性脊柱裂,反之則稱隱性脊柱裂[1~3]。
顯性脊柱裂
根據病理形態又可分為:
(1) 脊髓脊膜膨出(myelomening-ocele):指脊膜膨出通過較大的椎管缺損,向後突出。膨出脊膜囊內含神經組織、軟脊膜、蛛網膜和腦脊液。該神經組織包括脊髓、馬尾神經及畸形神經分支。膨出脊膜囊處的脊髓很象原始的神經板,有時分裂成兩根,一根在膨出脊膜囊底部的椎管腔內,一根向背側疝入到膨出脊膜囊內。該發育不良的脊髓又稱基板(placode)。脊髓低位,被牽拉栓系。
此型外觀上有一背部腫塊,腫塊表面為一菲薄囊壁,無皮膚復蓋。有的腫塊表面有不正常皮膚,該皮膚色青,無皮下組織,真皮層呈瘢痕樣變性,直接與囊壁相粘連。若囊腫不高出皮面,表面呈現一紫紅色的肉芽面,又稱脊髓外翻(myelocele)[5,6]。如果合併有脊髓縱裂Ⅱ型,分裂的一根或兩根脊髓都可以發生脊髓脊膜膨出,此時稱半脊髓脊膜膨出(hemimyelomeningocele)。
此型好發於腰、腰骶段,神經損害症狀最嚴重,往往同時伴有雙下肢功能障礙、足畸形、膀胱肛門括約肌功能障礙、脊柱畸形等,Chiari Ⅱ畸形及腦積水發生率很高(99%),其次為脊髓積水(40%~80%)、脊髓縱裂(30%~40%)及蛛網膜囊腫(20%)等[5,6]。椎體畸形以及神經肌肉發育不平衡造成的脊柱彎曲也很多見。
此型發病率很高,北美統計1 000個新生兒中約有2名患有此病。由於該病易於診斷,為了預防感染,國外主張應在患兒出生24~48小時內進行手術。
(2) 脂肪脊髓脊膜膨出(lipomye-lomeningocele):此型表現形式多樣,因此,又可將其分為2種亞型[2~4]。
Ⅰ型:為椎管腔局部膨大,通過椎管缺損向背側突出,形成一高出皮面的腫塊。腫塊表麵皮膚完整,內含腦脊液,脊髓(又稱基板)、馬尾神經及畸形神經分支也可突出到囊腫內,與囊壁發生粘連,脊髓因此被牽拉、栓系。此型特徵為腫塊表面含有皮下脂肪或脂肪瘤,但可以不進入囊腫內。
Ⅱ型:此型外觀與Ⅰ型相象,但背側局部膨出硬脊膜被皮下脂肪瘤完全侵蝕。失去正常結構,大量脂肪通過椎管缺損湧入椎管腔內,與脊髓粘連、混合生長,該脊髓發育畸形,失去正常圓椎結構,變得細長,位於椎管腔內,其末端位於腰骶部甚至骶尾部,並且背側裂開,脂肪瘤或脂肪組織長入到裂開的脊髓內。由於長入脊髓內的脂肪與皮下脂肪相互連線,脊髓因而受到牽拉。
上述兩型脂肪脊髓脊膜膨出外觀上均為背部一腫塊,表面復蓋著正常皮膚,有的最初體積較小,以後隨著年齡增大或在短期內迅速增大。其體積小者通常呈圓形,較大者多不規則,有的有一細頸樣蒂,有的基底寬闊。膨出物的表面,有的皮膚上有疏密不一的長毛或/和異常色素沉著,有的表現為毛細血管瘤,有的在膨出物上或其附近有深淺不一的皮膚凹陷。脂肪脊髓脊膜膨出可發生在脊柱任何節段,多見於腰骶、腰部或胸腰段。臨床上可有不同程度的下肢癱瘓、足畸形、步態異常及膀胱肛門括約肌功能障礙。有的合併Chiari Ⅰ畸形(10%)、脊髓積水(10%)、椎體畸形等。
(3) 脊髓囊狀突出(myelocystocele):指脊髓囊性擴大,通過椎管缺損向背側膨出。膨出囊腫實質上為囊性擴大的中央管,並且由硬脊膜、腦脊液以及發育不良的脊髓組成,脊髓因此被牽拉。脊髓囊狀突出好發於腰骶部,若表面無皮膚復蓋,稱脊髓囊狀突出(myelocystocele),若有皮膚及脂肪復蓋,稱脂肪脊髓囊狀突出(lipomyelocyst ocele)。該脂肪組織僅位於皮下,不進入囊腫內,與囊腫壁有一明顯分界。臨床表現有下肢感覺運動障礙,括約肌功能障礙,可同時合併有消化道系統、泌尿生殖系統、脊柱椎體畸形及Chiari Ⅱ畸形。
(4) 脊膜膨出(meningocele):特點是脊膜自骨缺損處向外膨出,囊內含腦脊液,無脊髓及馬尾神經。根據脊膜膨出方向不同,又可分為以下5種類型,其中除背部單純脊膜膨出外,其餘4型均可歸結到隱性脊柱裂裡面[2,3,8]。
① 背部單純脊膜膨出(simple posterior meningocele):膨出脊膜向背部突出,表面有皮膚復蓋。多位於腰骶部,有時也會發生在頸部或胸部。
② 骶內脊膜膨出(intrasacral meningocele):骶管內硬脊膜和蛛網膜向硬脊膜外突出,形成一個小的憩室,該憩室通過頸口與硬膜下腔相通。有時囊內壓力高,可壓迫神經根,產生症狀。
③ 骶前脊膜膨出(anterior sacral meningocele):膨出的硬脊膜和蛛網膜通過骶骨腹側缺損,向骶前膨出,稱骶前脊膜膨出。囊內一般無神經組織,有時神經根也會疝入到囊腔內,產生臨床症狀。
④ 脊柱旁脊膜膨出(lateral spinal meningocele):為硬脊膜和蛛網膜通過神經孔突出,在脊柱旁形成一囊性軟組織腫塊。病變在脊柱一側或兩側都可發生,可單發也可多發。85%病變發生在胸部,可並發多發性神經纖維瘤。
⑤ 末端骶骨脊膜膨出(terminal sacral meningocele): 指膨出脊膜囊位於尾骨區域。這種類型很少見,有時很容易與囊性畸胎瘤相混淆。
隱性脊柱裂
脊柱裂常累及第5腰椎和第1骶椎。病變區域皮膚可正常,也可有色素沉著、毛細血管瘤、皮膚凹陷、局部多毛等現象。在嬰幼兒多不出現明顯症狀。如果椎管腔內合併有先天性畸形,多在兒童期逐漸成長過程中,脊髓受到異常牽拉才產生出脊髓栓系綜合徵表現。有報導,很多患兒可以到成年期才出現症狀。隱性脊柱裂,根據病理類型可分為:
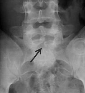
(1) 脊髓縱裂(diastematomyelia),又可分為兩種類型[3,4,6]:
Ⅰ:雙硬脊膜囊雙脊髓,即脊髓在縱裂處一分為二,有各自的硬脊膜和蛛網膜,兩者之間有纖維、軟骨或骨嵴分開,脊髓因此受牽拉。產生臨床症狀。此型約占50%。
Ⅱ型:脊髓在縱裂處一分為二,但共享一個硬脊膜及蛛網膜,脊髓內無異物牽拉,不產生臨床症狀。
好發部位在胸、腰段,可同時伴有脊髓積水、終絲牽拉征、硬脊膜內脂肪瘤等。
(2) 終絲牽拉征(tight filum terminale syndrome)。正常終絲由室管膜、膠質細胞組成。從脊髓末端發出,向下行走,穿過硬脊膜囊底部。固定在骶骨上,通常我們將在硬脊膜內的終絲稱為內終絲。穿出硬脊膜的部分稱為外終絲。成人終絲直徑<2 mm。當終絲受到脂肪纖維組織浸潤而變性甚至增粗時(直徑可大於2 mm),將牽拉脊髓,引起神經症狀。此時脊髓可低位,也可在正常位置。
(3) 硬脊膜內脂肪瘤(intradural lipoma):硬脊膜下腔內局限性的脂肪堆積,與背部皮下脂肪組織不相連。脂肪瘤通常在脊髓表面生長,也可浸潤到脊髓內,對脊髓造成牽拉和壓迫。
(4) 背部皮下竇道(dorsal dermal sinus):可發生在腦脊髓軸背側,由枕部到骶尾部之間的任何部位,其中以骶尾多見。位於骶尾部竇道很少進入椎管腔內,若位於骶尾水平以上,竇道可穿過硬脊膜進入椎管腔內或沿脊髓表面行走。50%的竇道終端為一皮樣囊腫,可位 於椎管腔末端或脊髓表面,脊髓因此被牽拉或壓迫。
皮膚外觀竇道口周圍往往有異常的毛髮、色素沉著或毛細血管瘤樣改變。竇道所經處,在相應部位可有顱骨或椎管缺損。60%的患兒可繼發囊腫感染、腦脊膜炎等。
(5) 皮樣囊腫或表皮樣囊腫(dermoid or epidermoid tumors):好發於腰骶,約25%的囊腫伴有背部皮膚竇道。囊壁為鱗狀上皮,含許多皮脂腺和毛囊,囊內積聚油狀液體,為汗腺、皮脂腺和毛囊的分泌物或分解產物。40%的囊腫在髓內,其餘在髓外硬脊膜下。囊腫多在出生時即有,由於增長緩慢,一般到兒童期才有症狀表現出來。如果囊腫破裂,油狀液體可順著蛛網膜下腔擴散,導致化學性蛛網膜炎。
(6) 脊索裂隙綜合徵(split notochord syndrome):指胚胎期中腸與背部皮膚有一管道連線,此連線可以從食管、胃、小腸及大腸背側發生,向不同方向經過腹腔或胸腔、後縱隔,穿過脊髓到達背部皮膚。此管道可中斷於任何位置,形成囊腫、憩室、瘺管或纖維束帶。根據病變所在部位而有相應名稱,如腹腔腸源性囊腫、腸憩室及縱隔腸源性囊腫等,若囊腫在椎管腔內,則稱椎管內腸源性囊腫。該病變多發生在上胸段或頸段,可位於椎體後、椎體旁或椎管腔內。囊壁一般具有無肌層的單層或假復層上皮,囊腫的形態、囊壁的厚度和囊液的粘稠度及顏色很不一致。
(7) 脊髓積水(hydromyelia):脊髓積水為脊髓中央管擴大,可局限性地單獨存在,也可多發,或與脊髓脊膜膨出、脊髓縱裂以及Chiari畸形相伴發生[5,6]。
(8) 尾部退化綜合徵(caudal regression syndrome):指脊柱末端發育障礙,可同時伴有神經性膀胱、腎發育不良、外生殖器畸形、肛腸畸形、無足並肢畸形及足畸形等。末端骨缺損一般在胸9段以下。根據缺損節段的高低不同可以有不同程度的臨床症狀,缺損節段越低臨床症狀越輕,末端尾骨缺損可無臨床症狀。另外,本病還可同時合併脊髓脊膜膨出、脊髓縱裂、終絲牽拉征、潛毛竇道
先天性脊柱裂
及硬脊膜內脂肪瘤等[6,14]。
病因
主要是在胚胎期發育發生障礙所致,關鍵在於椎管閉合不全。
支撐人體的脊柱是由26塊脊椎骨連線組成的,脊柱中央的管腔稱為椎管。該管內包有脊膜、神經及脊髓等組織,如椎管先天性發有異常,則可椎管閉合不全,稱為脊柱裂。此症多見於腰骶部,偶見於胸段,裂開處多在脊柱後面,少數可位於前方,正常人有20~25%有脊拄裂,有的病人腰背部皮膚上有一撮長毛、血管痣或酒窩樣凹陷,並可在該處摸到凹陷。脊柱裂病人大多無臨床症狀,偶在體檢時才發現,此型稱為“隱性脊柱裂”。
症狀
囊性脊柱裂的病兒於出生後即見在脊椎後縱軸線上有囊性包塊突起,呈圓形或橢圓形,大小不等,有的有細頸或蒂,有的基底部較大無頸。包塊常隨年齡增大,表麵皮膚或正常,或菲薄易破,有的菲薄呈半透明膜狀,如囊內為腦脊液,用手電筒照之透光,如囊內有脊髓、神經組織等,用手電照之不透光或可見到囊內組織陰影。患兒啼哭時包塊張力增高、較硬,安靜時背部包塊軟且張力不高,於包塊根部能觸摸到骨缺損的邊緣,說明囊腫與椎管內溝通。如患兒安靜狀態時,包塊張力高,前囟隆起,可能同時伴發腦積水征。
脊髓脊膜膨出均有不同程度神經系統症狀和體徵,仔細檢查可發現患兒下肢無力或足畸形,用針刺患兒下肢或足,無反應或反應微弱,患兒稍大些即可發現大小便失禁,重者雙下肢呈完全弛緩性癱瘓。
脊髓外露生後即可看到,局部無包塊,有腦脊液漏出,常並有嚴重神經功能障礙,不能存活。
隱裂在背部雖沒有包塊,但病區皮膚上常有片狀多毛區或細軟毫毛,或有片狀血管痣等。有的病區皮膚顏色甚濃,或棕色,或黑色,或紅色,有時在脊椎軸上可見潛毛孔,有的實為一竇道口,壓之有粘液或豆渣樣分泌物擠出來,椎管內多存在著皮樣或上皮樣腫瘤。隱裂可引起腰痛、遺尿、下肢無力或下肢神經痛,但是大多數無任何症狀。
治療
手術指征及手術時機的選擇
現在認為[15,16]先天性脊柱裂當脊髓受到異常牽拉,局部缺血、缺氧,可造成神經機能障礙而產生一系列臨床症狀,稱脊髓栓系綜合徵。臨床可有各種不同的表現,如下肢感覺運動障礙、步態異常、足畸形、大小便功能障礙及背部或下肢疼痛等。脊髓栓系綜合徵的病因可分為原發性及繼發性,原發性為脊髓胚胎髮育畸形造成對脊髓的牽拉壓迫,如脊髓縱裂、終絲牽拉、硬脊膜內脂肪瘤及脊髓脊膜膨出等;繼發性為脊柱手術後椎管腔瘢痕或束帶粘連、蛛網膜炎症後粘連等。
Reigel認為脊髓栓系綜合徵患者每天的站、坐、彎腰等各種運動都有加重脊髓損傷的潛在危險。Tani\,Schneider等學者通過動物實驗及手術探查,發現脊髓循環障礙是本病發病機理,手術行栓系松解後,遠端脊髓血流量顯著提高。因此,多數學者認為脊髓栓系綜合徵應該手術治療,並且手術越早越好[16,18,19]。Satar等認為此病是呈進行性發展。他通過兒童組與成人組手術效果的比較,得出兒童組比成人組手術效果好的結論。Vesna等認為對於無臨床症狀的脊髓栓系患者也應該手術,以阻止神經進一步變性。
然而,有些學者[20,21]通過臨床觀察,發現許多未手術患者長期隨訪,症狀並無加重,而手術的患者,有的術後症狀有改善,有的無變化,而有的症狀反而加重。因此,他們認為手術指征的掌握應嚴格,脊髓栓系不能視為手術唯一指征。只有對神經症狀進行性加重的患者考慮手術才較為妥當。對無症狀的患者更不宜手術。
手術方法
脊髓栓系的手術方法因病因不同而不同,原則上是切除病灶,解除脊髓的牽拉,栓系。如終絲牽拉征手術時只需將變性的終絲切斷1 cm即可解除脊髓的牽拉。脊髓縱裂的手術方法是切除異物,松解異物對脊髓的牽拉。脊髓積水手術仍採取分流術,尚未看到新的治療方法。有關脊髓脊膜膨出,目前流行的做法仍是將 粘連牽拉的脊髓從膨出的硬脊膜囊上分離下來,放入椎管腔內,徹底游離脊髓,解除牽拉,修剪多餘硬脊膜,用硬脊膜或補片擴大縫合硬脊膜囊。Ois等提出脊髓脊膜膨出治療時還應考慮以下幾點:缺損的範圍和平面、有否嚴重的腦積水、有否感染以及是否伴有其他臟器畸形。
囊性脊柱裂幾乎均須手術治療。如囊壁極薄或已破,須緊急或提前手術,其他病例以生後1~3個月內手術較好,以防止囊壁破裂,病變加重。如果囊壁厚,為減少手術死亡率,患兒也可年長後(1歲半後)手術。手術目的是切除膨出囊壁,松解脊髓和神經根粘連,將膨出神經組織回納入椎管,修補軟組織缺損,避免神經組織遭到持性牽扯而加重症狀。對脊膜開口不能直接縫合時,則應翻轉背筋膜進行修補。包紮力求嚴密,並在術後及拆除縫線後2~3日內採用俯臥或側臥位,以防大小便浸濕,污染切口。
對於長期排尿失常或夜間遺尿或持續神經系統症狀加重的隱性脊柱裂,仔細檢查後,應予以相應的手術治療。手術的目的是切除壓迫神經根的纖維和脂肪組織。
對於出生時雙下肢已完全癱瘓及大小便失禁,或尚伴有明顯腦積水的脊髓脊膜膨出,手術後通常難以恢復正常。甚至加重症狀或發生其他併發症。
早期認識此病和早期治療是治癒該病的關鍵。脊柱裂合併脊髓拴系的患兒,小兒時一般沒有症狀,但是隨著身體的發育,拴系的脊髓受到牽拉,從而出現相應的症狀。研究表明,一旦出現運動功能的障礙,如肢體的無力和麻木等,只有約45%的患者恢復正常;一旦發生尿失禁,只有12%的患者恢復正常。因此一旦發現脊髓拴系,無論有無症狀都要手術治療。我們正在加大普及和宣傳相關方面的臨床知識,使患者家屬在患兒剛剛出生時就認識到後背部的包塊、血管痣、皮膚凹陷和多毛等並不是現象表面,可能存在椎管內的脊柱和脊髓先天畸形。應該早作檢查,近早手術,切勿在出現明顯症狀後再匆忙手術,可能會後悔終生。隨著現代麻醉和神經重症監護的重大進步,目前患者年齡並不是制約手術的問題。
理療
骨脊康理療原理
1、消炎、鎮痛、活血化淤、促進血液循環
安裝在骨脊康理脊床掛板下側的,是中科院專門研發生產的遠紅外線發生器,對應著人身體的骶、胸部位,發出的遠紅外線的穿透力可達皮下3厘米以上,能增加皮膚溫度,激發細胞免疫功能,改善細胞膜的穩定性,從而達到消炎、鎮痛、活血化淤、促進血液循環的目的。這種遠紅外線發生器,經國家遠紅外線檢測中心檢測驗證,無任何副作用,不會使患者產生過敏反應。
2、有利於頸、腰曲度復位
骨脊康理脊床的頸曲復位枕和腰曲復位枕是公司在反覆研究實踐的基礎上,按照人體的正常生理曲度設計,選用遠紅外線發生器製成的。在溫熱、牽引、運動條件下墊用,對頸椎病、腰椎病患者來說,有利於頸、腰曲度復位,緩解或消除疾病症狀;對脊柱健康的人來說有利於保持正常生理曲度,保持體形優美、挺拔。
3、糾正小關節紊亂,解除脊柱周圍軟組織攣縮
骨脊康理脊床將人的雙腳固定在腳托上,通過搖擺系統做扇形左右擺動,其鏇轉擺動的力,通過脊柱下面的懸掛床板,由骶骨經過腰椎、胸椎、頸椎依次傳遞到頭部,使每一對椎體間都做一個半鏇轉式的搖動。這種身體倒置狀態下的扇形擺動是骨脊康的專利,是目前所有醫療器械和健身器材所沒有的。通過這種鏇脊扇形擺動,對椎間盤和椎間孔的神經根有一種揉搓性按摩的作用,有利於椎間盤還納歸位、解除神經根粘連,並且確保神經傳導通暢。
骨脊康特點
1、遠紅外線熱療:脊柱理療床掛板下側,對應的骶、胸部位,固定有中科院研發生產的遠紅外線發生器。這種遠紅外線發生器利用陶土和矽粉壓制而成,發出的遠紅外線的穿透力可達皮下 3 厘米 以上,經常使用,可消炎、鎮痛、活血化淤、促進血液循環,提高人體的免疫力。特別是對傷寒、背部酸痛的患者,緩解效果尤為明顯。這種遠紅外線發生器,經國家遠紅外線檢測中心檢測驗證,無任何副作用。
2、復位生理曲度:脊柱的四個生理曲度,決定著人的姿勢,曲度的變化會累及身體的健康。脊柱側彎等脊柱性疾病一般都與頸曲、腰曲有關,或在頸曲、腰曲上有所反映。在溫熱、牽引、運動條件下墊用,對脊源性疾病患者來說,有利於頸、腰曲度復位,緩解或消除疾病症狀;對脊柱健康的人來說有利於保持正常生理曲度,保持體形優美、挺拔。
3、懸垂動態牽引: 在全身肌肉、韌帶自然放鬆的情況下,利用自身重量對脊柱進行牽引。拉大椎間盤和椎間關節間隙,減少椎體間和關節間應力,使椎體間和關節間處於負壓狀態,使髓核、關節囊及關節間容納物得到放鬆,方便組織液滲溢、血液循環和神經傳導。經常進行懸垂自重牽引,可減少髓核水分丟失,減緩椎間盤萎縮,減緩脊柱退行性變化。
4、扇形鏇脊搖擺:脊柱理療床將人的雙腳固定在腳托上,通過搖擺系統做扇形左右擺動,其鏇轉擺動的力,通過脊柱下面的懸掛床板,由骶骨經過腰椎、胸椎、頸椎依次傳遞到頭部,使每一對椎體間都做一個半鏇轉式的搖動。特別是對於糾正小關節紊亂,解除脊柱周圍軟組織攣縮;對於歸位脊柱正常縱嵴列線,具有非常好的效果。
5、換位循環倒置:脊柱梳理床設定了換位循環倒置的功能,每間隔 8-10 分鐘循環倒置一次,相對於一次梳理來說,能夠產生功能倍增效應。這種循環倒置功能會使人體的毛細血管先收縮後擴張,倒置時,上體、頭腦部血液充盈,下肢部毛細血管、細胞處於飢餓狀態;回復體位時,血液回流,上體、頭腦部血管收縮,下肢部毛細血管、細胞血液充盈。是一種強身健體的好方法。
6、有氧被動運動:眾所周知,生命在於運動,可有很多人因某種疾病行動不便或因工作繁忙沒有時間,戶外鍛鍊更換衣服麻煩等因素不能實現運動鍛鍊。每做一次相當於慢跑 3000 -5000 米 的運動量。 其不同點是,這種被動運動的功能,更多的是側重於鍛鍊脊柱周圍的深層軟組織和胸、腹、盆腔內的筋膜肌肉,有利於增強其彈性及張力,有利於內臟各器官的固位,有利於保持脊柱的穩定性。另外這種有氧被動運動是在熱療、放鬆、體位倒置、自重牽引狀態下完成的,是一種對全身的深層保健按摩放鬆。相對於單一的康復保健方法,具有功能疊加的效應。
畸形兒發生的原因
十月懷胎一朝分娩。父母的喜悅是可以想像的。如果生下一個畸形兒,不但家長受到很大的刺激,而且孩子本身的痛苦更是難以名狀。那么,畸形兒是怎樣產生的呢?
通常是在胚胎髮育階段受到各種有害因素的影響使細胞染色體發生畸變,或有害物質抑制細胞的有絲分裂,妨礙了胎兒器官的正常分化與發育而產生畸形。因為胚胎細胞的生物合成很活躍,細胞分化、生長發育均先於這種快速分化增殖的細胞本身,所以就比較脆弱,再加以胚胎對毒物的分解代謝和排泄很不完善,極易受到有害因素的損害以致引起畸形。
常見的致畸因素包括微生物(如病毒)、藥物和某些化學製劑、某些金屬和放射性物質等。有資料表明,在致命因素中,藥物約占1.5%,物理化學物質占1%;病毒及妊期疾病占1—3%,原因迄今末查明者占65%。值得注意的是,約20的致畸因素來源於父母的遺傳性疾病而不是外環境的致畸因素。
畸形的類型取決於致畸因素的種類及其作用時期。例如風疹病毒主要導致白內障、耳聾和心臟畸形,而先天性巨細胞病毒主要損害中摳神經系統產生小頭畸形或腦積水。至於致畸因素的作用時期在往在懷孕早期(頭三個月),因為此時器官分化發育迅速,對外界致畸因素最敏感。當然不同的器官系統還有相應的致畸敏感期,例如神經系統為受精後15"77天,腦為受精後20"40天,眼為受精後24"39天,四肢為受精後24"46天,外生殖器為受精後36"98天等。受精後8周胚胎完成了除神經系統和生殖器官以外的器官的分化進入胎兒期,對外界致畸因素的敏感性相對降低。到孕後12周,外界致畸因素的影響就更小一些。
研究發現,有六類女性易生畸形兒!
第1類女性、孕早期發生高熱的婦女 懷孕早期有過高熱的婦女,孩子即便不出現明顯外觀畸形,但腦組織發育有可能受到不良影響,表現為智力低下,學習和反應能力較差。這種智力低下是由於高熱造成胎兒腦神經細胞死亡,使腦神經細胞數減少所致,這種智力低下是不能恢復的。當然,高熱造成胎兒畸形還與孕婦對高熱的敏感性和其他因素有關。
第2類女性、孕婦接近貓狗 很少人知道帶菌的貓也是一種對導致胎兒畸形威脅很大的傳染病源,而貓的糞便則是這種惡性傳染病傳播的主要途徑。據有關資料顯示,在英國,由於孕婦親近貓給嬰兒造成不良後果的,約占染病孕婦的40%,每年約有500名嬰兒被貓所害。
第3類女性、每天濃妝艷抹的女性 據美國的一項調查表明,每天濃妝艷抹者胎兒畸形的發生率是不塗濃妝者的1.25倍。對胎兒畸形發育所產生不良影響的主要是化妝品中含的砷、鉛、汞等有毒物質,這些物質被孕婦的皮膚和黏膜吸收後,可透過血胎屏障,進入胎血循環,影響胎兒的正常發育。其次是化妝品中的一些成分經陽光中的紫外線照射後產生有致畸作用的芳香胺類化合物質。
第4類女性、孕期精神緊張的女性 人的情緒受中樞神經和內分泌系統的控制,內分泌之一的腎上腺皮質激素與人的情緒變化有密切關係。如果發生在妊娠期間的前3個月,就可能會造成胎兒唇裂或齶裂等畸形。
第5類女性、飲酒的女性 孕婦飲酒,酒精可通過胎盤進入發育胚胎,對胎兒進行嚴重的損害。妊娠期每天飲2杯酒以上,可對胎兒有影響以至危險;每天飲酒2-4杯,則有畸形發育的危險。
第6類女性、吃了黴菌素食物的女性 有關專家指出,孕婦若食入被黴菌素污染了的食品(霉變食物),黴菌毒素可通過胎盤禍及胎兒,引起胎兒體內細胞染色體斷裂。
淘寶愛心診所周大夫教你避免生育畸形兒要避免生育畸形兒,就要從畸形兒產生根源的內因與外因著手:
外因主要來自環境影響。孕早期過量接受放射性物質有可能導致畸形兒的產生,因此孕早期儘可能不做腹部X線透視
或攝片,否則有引起先天性心臟缺陷、小頭畸形、死胎等危險。同時,孕早期套用雌激素、雄激素及孕激素,可引起胎兒性別的變化及其他畸形。孕婦連續用鏈黴素可致新生兒耳聾。此外,四環素、激素類的藥物都有致畸的報導,所以妊娠期用藥應在醫生指導下合理使用。不僅如此,準父母長期大量飲酒、吸菸,都有可能產生死胎、低體重兒、智力低下等情況。同時,孕婦病毒感染也是導致畸形兒的原因之一,常見的是孕早期母親患流感、風疹、巨細胞病毒、單純皰疹病毒等病毒感染,可使胎兒患小頭畸形及腦積水、腦鈣化等組織或器官畸形。
畸形兒產生的內因主要來自遺傳因素,這是由來自父母親的遺傳物質的異常而造成的。人體內的遺傳物質存在於細胞核內的染色體上。通常染色體是穩定的,但在日常生活中一些不良因素的影響下(如放射線、藥物、疾病,被污染的水、空氣等),染色體的數目、結構可發生異常,而染色體上的一個或多個基因(決定遺傳性狀的功能單位)發生了突變,則可造成畸胎。
近親結婚也易致畸。某些遺傳性疾病,致病基因是隱性的,只有當夫婦雙方都攜帶這種隱性基因且結合時,後代才明顯發玻非近親婚配時,兩個相同致病基因互相遇合而引起發病的可能性較低,而近親結婚的夫婦,由於他們的基因來自同一祖先,雙方攜帶有相同致病基因的可能性明顯大於一般群體,子女中某些遺傳性疾病的發病率就遠遠高於非近親結婚者所生的孩子,因此近親之間應禁止通婚。
要做好產前檢查和遺傳諮詢;凡具有下列情況之一的孕婦,在懷孕4~6個月時,都應進行產前檢查和遺傳諮詢,並進行相關的產前診斷。
●年齡在35歲以上的孕婦。因卵子老化,染色體容易發生突變,產生胎兒先天性畸形或先天愚型兒的危險性較大。
●曾生過無腦兒、脊柱裂或其他畸形胎兒的婦女。再次懷孕後,應進行產前檢查和遺傳諮詢。因為她們再次生育同類異常孩子的危險性較一般孕婦高得多。
●有習慣性流產、多次胎死宮內的婦女。再次懷孕後,要進行相關項目檢查。因為這種情況有可能是由夫婦一方或雙方染色體異常引起的,再次懷孕,仍可出現畸胎。
●家族中有先天性代謝性疾病的患者,或孕婦本人曾生育過代謝性疾病患兒。孕期應做產前檢查和遺傳諮詢。
●夫婦雙方均為同一種地中海貧血患者。
●懷孕早期,曾患過風疹、巨細胞病毒、單純皰疹等病毒感染的孕婦。因易感染給胎兒發生畸形,皆應作相關的檢查。
●孕前及孕期飼養寵物並經常接觸寵物的孕婦。寵物尤其是貓,是弓形體病的傳染源。孕婦感染後生下的嬰兒可能患有腦積水、腦鈣化、先天性失明等畸形。
●孕早期曾服用可能致胎兒畸形的藥物,或接受過放射線診斷或治療的孕婦。都要進行產前檢查和遺傳諮詢,並進行相關產前診斷。
最後,為了預防胎兒畸形的發生,田主任建議,所有的孕婦應適量地補充葉酸,以減少胎兒出現先天脊柱裂的危險。
葉酸是B族維生素之一,廣泛存在於葉綠素中,綠色蔬菜、柑橘、核桃、肝、腎、酵母等食品中的含量也較高。研究顯示,葉酸同胺基酸和核酸的代謝有關,在脫氧核糖核酸的合成過程中起著非常重要的作用。脊柱裂是一種先天性畸形,嚴重的話可導致人殘疾。目前的研究證明,除遺傳因素外,孕婦身體中缺乏葉酸也是導致胎兒發生脊柱裂的主要原因之一。因為人體不能自然生成葉酸,而一個人每天靠正常飲食攝入的葉酸量大約僅為300毫克,遠遠不能滿足胎兒生長的需要。因此,有計畫地為孕婦補充足夠的葉酸是非常必要的。
做為女性她有致畸因素,準爸爸肯定也拖不了干係:
晚婚男子易導致畸形兒嗎
最近有關男性精液質量在全球範圍下降的問題引起世人的關注。在日前曙光醫院組織的名醫俱樂部交流會上,上海中西醫結合學會男科專業委員會主任委員、國際和平婦幼保健院男科程懷瑾教授指出,拋開工業化進程所造成的污染因素不說,一些男性飲酒抽菸的不良生活方式也是導致精液質量下降、生殖健康不佳的主要原因之一,而一旦酒醉,三個月後才能恢復,以保證正常生育。
男子精液質量每年下降1%
國家人口計生委科學技術研究所對1981年-1996年間公開發表的,來源於北京、上海、天津等39個市縣、256份文獻共11726人的共11726人的精子分析數據進行研究後發現,我國男性的精液質量正以每年1%的速度下降,精子數量降幅達40%以上。上海人類精子庫統計的數據也表明,2004年上海志願捐精者合格率不超過21%。
在臨床門診中,程教授就發現如今男子不育比例日益增多,而不育的原因之一就是精子質量的下降。很多就診的男性卻對飲酒和吸菸的問題不以為然,認為在準備生育前適當控制就可以了,忽略了這種不健康生活方式對身體的階段性影響。
醉酒一次三個月才能恢復
程教授告訴記者,酒精對人體肝臟和男性睪丸的直接影響人所共知。研究發現,慢性酒精中毒的患者會出現睪丸萎縮,導致精液質量下降。因此,醉酒一次讓男士精子受到的傷害並非一兩天就能恢復,如果要恢復到喝酒前的精子質量,至少需要三個月。專家認為,有生育計畫的男子,起碼要在醉酒以後三個月才可讓妻子受孕,以保證胎兒的健康。
吸菸過多會導致精子畸形
同樣,長期吸菸者正常精子的數量也有所減少,平均減少10%左右。每天吸菸21-30支者,畸形精子發生率顯著增高;吸30支以上者,畸形精子發生率更高。吸菸時間越長,畸形精子越多,而且隨著正常精子數目的不斷減少,精子活動力也會減弱。
有人曾對5000多名孕婦進行分析,發現其
丈夫每天吸菸10支以上者,胎兒產前死亡率大大增加;吸菸越多,死亡率也越高。丈夫吸菸的婦女,生出缺陷兒的比例比丈夫不吸菸的要高2.5倍左右。
相關:父親用錯藥母親就流產
養育一個健康的孩子,不應只從女性方面考慮,還有許多原因是男性用藥不慎造成的。在正常情況下,睪丸組織與流經睪丸的血液之間有一個防護層,醫學上稱為血睪屏障。這一屏障可阻止血液中某些物質進入睪丸。但是很多藥物卻能通過血睪屏障,並通過兩種方式影響精卵健康結合。
一是干擾精子的形成。如常見的一些免疫調節劑 ,像環磷醯胺、氮芥、長春新鹼、順鉑等藥物,其毒性作用強,可直接擾亂精子DNA的合成,包括使遺傳物質成分改變、染色體異常和精子畸形。還有嗎啡、氯丙嗪、紅黴素、利福平、解熱止痛藥、環丙沙星、酮康唑等。這些藥物,通過干擾雄激素的合成而影響精子受精能力,像男性不孕症、婦女習慣性流產,其中部分原因就是男性精子受損的結果。
第二種方式是這些藥物通過血睪屏障進入睪丸,隨睪丸產生的的精液通過性生活排入陰道,經陰道黏膜吸收後進入血液循環,使低體重兒和畸形胎的發生率增高 ,而且也會增加圍產期胎兒的死亡率。
另外,還有一些藥物也能進入精液,如滅滴靈、氨苄青黴素、苯丙胺、二苯基海因等,它們對精子、受精卵以及胎兒有何影響,還不十分清楚。
因此,在懷孕前的二到三個月和懷孕期,丈夫用藥一定要小心,可能的話,最好停用一切藥物。
搞清了致病內外因素,降低先天性脊柱裂發生率。以防為主,手術修複次之。

